Pneumologie und 
Beatmungsmedizin
UPDATE
INNERE MEDIZIN 
REUTLINGEN 2014
Atemwege
COPD
ASTHMA
ACOS
Thorakale Onkologie
Bronchialcarcinom
Pulmonalkreislauf und rechtes Herz
PAH‐Medikamente
CTEPH
Infektiologie
Stand Pneumokokken
Beatmungsmedizin
LVF und Schlaf‐Atemstörung
Schwere COPD NIV‐Beatmung
Der Kolibri 2014
Thematischer Überblick
Updated 2014
COPD+Asthma
© Global Initiative for Asthma
Asthma bronchiale Stufentherapie –
higher level care and/or add-on treatment
*For children 6-11 years, theophylline is not recommended, and preferred Step 3 is medium dose ICS
**For patients prescribed BDP/formoterol or BUD/formoterol maintenance and reliever therapy
GINA 2014, Box 3‐5, Step 5
Patient Charakteristik Spirometrie Exacerbationen 
pro Jahr
CAT mMRC
A
Geringes  Risiko
Kaum Symptome
GOLD 1‐2 ≤ 1 < 10 0‐1
B
Geringes Risiko
Mehr Symptome
GOLD 1‐2 ≤ 1 > 10 > 2
C
Hohes Risiko
Wenig Symptome
GOLD 3‐4 > 2 < 10 0‐1
D
Hohes Risiko
Viele Symptome
GOLD 3‐4 > 2 > 10
> 2
Einschätzung der
symptomatischen COPD
When assessing risk, choose the highest risk
according to GOLD grade or exacerbation
history. One or more hospitalizations for COPD
exacerbations should be considered high risk.)
COPD  O 
Klinischer Verlauf
‐ Depression
‐ Tabakrauchabhängigkeit
‐ Adipositas
‐ KHK
‐ Muskulatur
‐ Osteoporose
‐ Diabetes mellitus
‐ Lungenkrebs
ATEMWEGSINFEKTE Komorbiditäten
Komorbidom
Eine angepasste medikamentöse Therapie kann COPD
Symptome, Häufigkeit und Schwere von Exazerbationen
vermindern, den AZ und die Belastbarkeit bessern
Keine medikamentöse Therapie alleine kann den langfristigen
Abfall der Lungenfunktion verhindern
Influenza-, Pneumokokken und Pertussis-Impfung sollen
angeboten werden
Physio- und Trainingstherapie sind effektiv
und essentiell
Global Strategy for Diagnosis, Management and Prevention of COPD
Therapie der COPD - Hauptpunkte
COPD- Medikamentöse Therapie
Beta2‐agonists
Short‐acting beta2‐agonists
Long‐acting beta2‐agonists
Anticholinergics ( Anti‐Muskarin)
Short‐acting anticholinergics
Long‐acting anticholinergics
Combination short‐acting beta2‐agonists + anticholinergic in one inhaler 
Combination long-acting beta2-agonists + anticholinergic in one inhaler
Methylxanthines
Inhaled corticosteroids 
Combination long‐acting beta2‐agonists + corticosteroids in one inhaler
Systemic corticosteroids
Phosphodiesterase‐4 inhibitors
© 2014 Global Initiative for Chronic Obstructive Lung Disease
Inhalatoren‐Kosmos
Regelmäßige Behandlung mit ICS verbessert die
Symptome und Lungenfunktion sowie Lebensqualität
und Exazerbationshäufigkeit bei COPD mit
FEV1<60%
ICS Therapie geht mit einem erhöhten Pneumonie-
Risiko einher.
Absetzen der ICS kann in einzelnen Fällen die
Lungenfunktion verschlechtern (-80ml/52Wochen)
COPD und inhalierbare Steroide
Distribution of Estimated Annual Rates of Change in Forced Expiratory Volume in 1 Second (FEV1) over a 3‐
Year Period in Patients with Chronic Obstructive Pulmonary Disease.
Vestbo J et al. N Engl J Med 2011;365:1184‐1192.
COPD Exacerbations and Lung Function.
Magnussen H et al. N Engl J Med 2014;371:1285‐1294.
COPD und CAP
Update Innere Medizin 2012
Restrepo et al ERJ
Lange P et al. N Engl J Med 1998;339:1194‐1200
Changes with Age in the Height‐Adjusted Forced Expiratory Volume in One 
Second (FEV1) According to Sex, Smoking Status, and the Presence or Absence 
of Asthma.
.
Asthma
Kein 
Asthma
Asthma und COPD
Thorakale Onkologie
3 Säulen der medikamentösen Therapie
Chemotherapie
Molekulare Therapie
EGFR
ALK
ROS
„Immune checkpoint therapy“
CTL4
PD1 und PD1‐ligand‐Antikörper
Fallbeispiel Junger Grieche
Pembrolizumab (Keytruda®)
Vergleich primäre Chemotherapie versus MolekulareTherapie
bei EGFR mutiertem Adenocarcinom
Maemondo M et al. N Engl J Med 2010;362:2380‐2388.
Rash und Pneumonitis bei EGFR Tyrosine Kinase Inhibitor 
Cataldo VD et al. N Engl J Med 2011;364:947‐955.
Crizotinib in ROS1
Shaw AT et al. N Engl J Med 2014;371:1963‐1971.
Second line Tyrosin‐Kinase Inhibitor
Ceritinib
Second line Tyrosin‐Kinase Inhibitor
Response to Ceritinib in ALK‐Rearranged Non–Small‐Cell Lung Cancer (NSCLC).
Shaw AT et al. N Engl J Med 2014;370:1189‐1197.
Anti–Programmed Death 1 (PD‐1) Antibody in Patients with Treatment‐
Refractory Melanoma, Non–Small‐Cell Lung Cancer, or Renal‐Cell Cancer.
Topalian SL et al. N Engl J Med 2012;366:2443‐2454.
Lungenembolie
Lysetherapie bei hämodynamischer Instabilität
PEITHO ‐ Studie
CTEPH
Neue Medikamente 
ADEMPAS ® Riociguat
OPSUMIT ® Macitentan
Frau S. H. 18 Jahre
Rauchen und Pille
PH woher ?
Phasen der Erkrankung und der Behandlung
Art und Intensität der konventionellen Antikoagulanzientherapie
Langfristig
Mittelfristig
Akut
Initiale, parenterale, therapeu‐
tische Dosis zur Antikoagulation
Antikoagulation / 
Sekundärprävention
UFH, NMH, Fondaparinux
mindestens 5 Tage
VKA INR 2,0–3,0
(überlappend ab dem 1. bzw. 2. Tag)
3 Monate VKA INR 2,0–3,0
> 3 Monate-unbefristet*
Antikoagulation/ 
Sekundärprävention
* Mit periodischer Neubewertung
des individuellen Nutzen-Risiko-Profils
VTE: Venöse Thromboembolie; INR: International normalised ratio;
NMH: niedermolekulares Heparin; UFH: unfraktioniertes Heparin; VKA: Vitamin K-Antagonist
Ursachen der
pulmonalen Hypertonie (PH)
Vitium cordis
Hypoventilation
Schlafapnoe
Parenchym
COPD,
Fibrose
Kollagenose
Sklerodermie
IPAH
FPAH
CTEPH
Sonstige
z.B. HIV
Porto‐pulmonale
Hypertonie
PAH
Phase III Studien 2013/2014
Pneumonie
S3‐Leitlinien zu Epidemiologie, Diagnostik, 
antimikrobieller Therapie und Management 
von erwachsenen Patienten mit ambulant 
erworbenen tiefen Atemwegsinfektionen
Herausgegeben von
Paul‐Ehrlich‐Gesellschaft für Chemotherapie e.V. 
Deutsche Gesellschaft für Pneumologie e.V. 
Deutsche Gesellschaft für Infektiologie e.V. 
CAPNETZ STIFTUNG
2. Auflage
S3‐Leitlinien zu Epidemiologie, Diagnostik, 
antimikrobieller Therapie und Management 
von erwachsenen Patienten mit ambulant 
erworbenen tiefen Atemwegsinfektionen
Herausgegeben von
Paul‐Ehrlich‐Gesellschaft für Chemotherapie e.V. 
Deutsche Gesellschaft für Pneumologie e.V. 
Deutsche Gesellschaft für Infektiologie e.V. 
CAPNETZ STIFTUNG
2. Auflage
CURB 65 Risiko‐Schätzung
Kriterium Bereich Punktzahl Mortalitätsrisiko
C onfusion zB. MMT 0 Punkte  0.7%
U rea (Harnstoff) > 7 mmol/l (1‐4,5) 1 3,2%
R espiratory Rate > 30/min 2 13%
B lood Pressure < 90/60 mmHg 3 17%
65 Alter > 65.Lebensjahr 4 41,5%
5 57%
Jordi Rello: Demographics, guidelines, and clinical experience
in severe community‐acquired pneumonia.
In: Critical Care (London, England). 12 Suppl 6, 2008
Ergebnisse der TKK‐Krankenhausbewertung
für die Ermstalklinik Bad Urach
Qualitäts‐
indikator
Ergebnis Qualitätsziel Bundes‐
durchschnitt
Wertung
Sterblichkeit 
im 
Krankenhaus 
insgesamt
5,6% <14.4% 8,7% gut
Bei niedrigem 
Risiko
0% < 4,8% 1,8% gut
Bei mittlerem 
Risiko
6%  < 15,2% 9,2% gut
https://www.tk.de/tk/Bad_Urach/Ermstalklinik_Bad_Urach/Behandlu
ngsqualitaet/Lungenentzuendung/K1284N8B15/114732?resetApplicati
on=true&view=renderKlinikfuehrerDetailseite
Pneumokokkenvakzinierung
mit Polysaccharid‐Impfstoff
‐ Verhinderung der Pneumokokkensepsis belegt 
durch Studien (OR 0.48, 95% CI 0.37 to 0.61; )
‐ Vermutlich nicht so effektiv bei Polymorbiden wie 
bei Gesunden 
‐ Die vorhandenen Studien belegen nicht dass 
Polysaccharid‐Vakzine die Pneumonie‐Häufigkeit 
oder Mortalität vermindern
http://summaries.cochrane.org/CD000422/ARI_vaccination‐for‐
preventing‐pneumococcal‐infection‐in‐adults#sthash.hyrT441E.dpuf
Tuberkulose
Epidemiologie
Ca. 5000 Neuerkrankungen in D/Jahr
Fallfindungsrate: 2012 wurden geschätzte 66% aller vermuteten 
Neuerkrankungen detektiert, in Europa waren es 74%.
MDR und XDR‐TBC
3,6% aller neuen Tuberkulosefälle waren multiresistente (MDR)‐TB3
Fälle. Der Anteil der MDR‐TB bei vorbehandelten TB‐Fällen liegt 
deutlich höher (20 %)
Der Anteil der extensiv resistenten (XDR) Tuberkulosen4 an neuen 
MDR Fällen wird weltweit in auf 9,6% (8,1%‐11%) geschätzt
Tuberkulose Therapie
Neue Medikamente
Bedaquilin – SIRTURO ®
the proportion of patients defined as cured at 120 weeks was 57.6% in 
the SIRTURO® arm vs. 31.8% in the placebo arm (p=0.003).2
400 mg once daily for two weeks followed by 200 mg three times
weekly for 22 weeks in combination with an individualised background
regimen for MDR‐TB, followed by continued administration of the
background regimen for 12 to 18 months.
2. Eckpunkte der Entscheidung des GBA
Das Arzneimittel Sirturo mit dem Wirkstoff Bedaquilin ist am 15. Mai 2014 in einer Packungsgröße in Verkehr gebracht worden, 
. Das hat 
nach § 31 Abs.4 S.2 SGB V zur Folge, dass das Arzneimittel nicht Gegenstand der Versorgung der Versicherten nach § 31 Abs.1 S.1 SGB 
V ist und nicht zu Lasten der gesetzlichen Krankenversicherung abgegeben werden darf. Sirturo ist damit weder verordnungs‐ noch 
erstattungsfähig. Da § 35a Abs.1 S.1 SGB V für die Nutzenbewertung eines Arzneimittels mit einem neuen Wirkstoff voraussetzt, dass 
das Arzneimittel erstattungsfähig ist, Sirturo diese Voraussetzung aber nicht erfüllt, wird das Verfahren zur Nutzenbewertung von 
Bedaquilin eingestellt. Wird das Arzneimittel in einer erstattungsfähigen Packungsgröße in Verkehr gebracht, unterliegt es dem 
Geltungsbereich der Nutzenbewertung nach §35 a SGB V. 
Beatmungsmedizin
Überdruckbeatmung
Maskenbeatmung bei Links‐Herz‐Insuffizienz
32
8
24
17
19
Anteil SBAS bei HFrEF
Mittel‐Schwere
CSA/CSR
Leichte CSA/CSR
Keine SAS
Leichte OSA
Mittel‐schwere OSA
Herzinsuffizienz und Schlaf‐Atemstörung
32
8
24
17
19
Anteil SBAS bei HFrEF
Mittel‐Schwere
CSA/CSR
Leichte CSA/CSR
Keine SAS
Leichte OSA
Mittel‐schwere OSA
Serve HF Register 2014
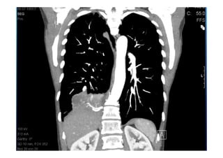
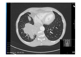
Der Kolibri 2014
52 jährige Patientin
Gewichtsverlust
Adynamie
Nachtschweiß
Immer wieder Fieber über 12 Monate
Raucherin > 30 packyears
Lungensequester mit
infradiaphragmaler arterieller
Blutversorgung
Herzlichen Dank für Ihr
Interesse und Ihre
Aufmerksamkeit !
Fragen ?

Update 2014: Pneumologie - J. Weber, Bad Urach