Der akute Thoraxschmerz
                  Präklinisches Vorgehen




Hubert Wallner                     St. Gilgen, 26. Jänner 2013
Der akute Thoraxschmerz
                  Präklinisches Vorgehen




Hubert Wallner                     St. Gilgen, 26. Jänner 2013
Ecksteine der Diagnostik

 Anamnese
 Klinik
 EKG
 Laborparameter
Tools
Tools
Seltene, aber lebensbedrohliche Ursache
   Seltene, aber lebensbedrohliche Ursache
  eines akuten Thoraxschmerzes
   eines akuten Thoraxschmerzes


                                         Thoraxschmerz in der Notaufnahme
                                          Thoraxschmerz in der Notaufnahme
Der extrakardiale Thoraxschmerz
 Der extrakardiale Thoraxschmerz         Vom Reflux bis zum Infarkt.
                                          Vom Reflux bis zum Infarkt.
                                         Was gilt es zu beachten?
                                          Was gilt es zu beachten?


                        Das diagnostische Dilemma des akuten
                         Das diagnostische Dilemma des akuten
                        Thoraxschmerzes
                         Thoraxschmerzes


Differenzialdiagnose des akuten Thoraxschmerzes
Differenzialdiagnose des akuten Thoraxschmerzes


                         Akuter Thoraxschmerz ––Herzinfarkt oder Aorta?
                          Akuter Thoraxschmerz Herzinfarkt oder Aorta?
Akuter Thoraxschmerz
„Als akuter Thoraxschmerz wird ein plötzlich aufgetretener Brustschmerz
bezeichnet, der sowohl kardiale und gefäßbedingte als auch extrakardiale und
zum großen Teil auch funktionelle Ursachen haben kann.“

„Bei Patienten, die interdisziplinäre Notaufnahmen aufsuchen oder
Rettungsdienste alarmieren, hat der Thoraxschmerz mit etwa 20% einen hohen
Stellenwert.“

„In Notaufnahmen beträgt die kardiale Genese der vorgestellten Fälle etwa
45 - 50%, beim Notarzt sogar bis zu 69%.“
Differenzialdiagnose des akuten Thoraxschmerzes
Lebensbedrohliche Erkrankung Differenzialdiagnosen (Auswahl)
Akutes Koronarsyndrom        Kardiovaskulär
Akute Aortendissektion        (Tachykarde) Rhythmusstörungen
Akute Lungenarterienembolie   Perikarditis
Spannungspneumothorax         Myokarditis
Spontane Ösophagusruptur     Pulmonal
                               Pneumothorax (ohne Spannungssymptomatik)
                               Pleuritis
                               Pleuropneumonie
                              Skelettoneuromuskulär
                               Rippenfraktur/-prellung
                               HWS-/BWS-Syndrom
                               Tietze-Syndrom
                              Gastrointestinal
                               Ösophagitis
                               Ulkus (Perforation)
                               Pankreatitis
Differenzialdiagnose des akuten Thoraxschmerzes
 Anamnestische Differenzierung: Kardial - Extrakardial
                  Kardial                          Extrakardial
                  Thorakales Engegefühl            Hell, Messerstich, einschießend
 Qualität
                  Dumpfer Druck, Beklemmung


                  Besserung auf Nitroglycerin



 Lokalisation
                  Retrosternal, links/rechtsthorakal Abhängig von betroffenem Organ


                  Ausstrahlung in Schulter, Arm,   Oft präzise lokalisierbar
                  Kiefer, Oberbauch
                                                   Wandernd (Aortendissektion)


                  Körperliche Belastung            Berührung, Palpation, Trauma
 Auslöser
                  Kälte                            Lage-/bewegungsabhängig


                  Postprandial                     Tiefe Inspiration, Schlucken



 Dauer
                  Minuten, selten >20 min          Sehr variabel, Sekunden bis
                                                   Stunden
The Big Five
  lebensbedrohliche Erkrankungen mit Thoraxschmerz

• Akutes Koronarsyndrom
• Akute Aortendissektion
• Akute Lungenarterienembolie
• Spannungspneumothorax
• Akute Ösophagusruptur
R-A-P-I-D
R uptur des Ösophagus
A rterienembolie (pulmonal)
P neumothorax mit Spannungssymptomatik
I nfarkt, akutes Koronarsyndrom
D issektion der Aorta
R-A-P-I-D
Erkrankungen der Lunge und der Pleura

Pneumothorax                    selten (etwa 7/100.000 Einwohner, bei Frauen 6-mal niedriger)
                                Nikotinkonsum, Lungenemphysem, COPD („chronic obstructive
                                pulmonary disease“), Mukoviszidose, Marfan-Syndrom oder nach
                                Trauma. Schmerzen nicht obligat scharf, stechend und
                                typischerweise atemabhängig, Reizhusten verbunden sein.

Spannungspneumothorax (3 -5%)   Tachykardie
                                Dyspnoe
                                Hypoxie
                                Kreislaufschocks


Auskultation/Perkussion         aufgehobenes Atemgeräusch
                                hypersonorer Klopfschall.



Pleuritis/Pneumonie
Lungentumor                     apikal lokalisiertes Bronchialkarzinom (Pancoast-Tumor) mit
                                Affektion des Plexus brachialis und Horner-Syndrom
Spannungspneumothorax
93.0    Spontaner Spannungspneumothorax
J93.1   Sonstiger Spontanpneumothorax
J93.2   Iatrogener Pneumothorax
J93.8   Sonstiger Pneumothorax
J94.2   Hämatopneumothorax
S27.0   Pneumothorax, traumatisch
S27.2   Hämatopneumothorax, traumatisch
Spannungspneumothorax
 „Klinisch präsentiert sich ein Pneumothorax in 90% der Fälle durch
 Thoraxschmerzen und durch Dyspnoe in 80% der Fälle. Tritt durch einen
 Ventilmechanismus ein Spannungspneumothorax auf, kommen Zeichen der
 hämodynamischen Beeinträchtigung und der respiratorischen Insuffizienz hinzu.“

 „Die rasche Entlastung des Spannungspneumothorax und Drainage der Luft aus
 dem Pleuraraum haben höchste Priorität.“




Meyer FJ, Jöckel J, Borst MM (2000) Management von Pneumothorax und Hämatothorax auf der internistischen Intensivsta tion.
Intensivmed 37:334–340
R-A-P-I-D
Akute Pulmonalarterienembolie
„Die pulmonale Komponente der Beschwerden und das plötzliche Auftreten
verbunden mit der Risikoanamnese für eine Thrombose (Immobilität,
Trauma bzw. Zustand nach orthopädischen und urologischen Eingriffen,
Tumorerkrankung, Gerinnungsstörungen) machen eine PAE wahrscheinlich.“
Akute Pulmonalarterienembolie
               klinische Bedeutung

•   Notfall mit hoher Morbidität
•   Akute Letalitätsrate (7 – 11%)
•   In AUT ca. 4.000 Todesfälle
•   Folgeerkrankung:
    – postthrombotisches Syndrom
    – pulmonale Hypertonie
Akute Pulmonalarterienembolie
                                                             Diagnose

•     Klinische Symptome
•     Score-Systeme
•     EKG
•     Labor
•     Röntgen
•     Echokardiografie
•     FKDS
•     CTA der Pulmonalarterien
    Stein PD, Henry JW (1997) Clinical characteristics of patients with acute pulmonary embolism stratified according to their
    presenting syndromes. Chest 112:974–979
MSU
MSU
Akute Pulmonalarterienembolie
                               Plötzliches Auftreten der Symptome

•     Thoraxschmerz (26 – 57%)
•     Dyspnoe (59 – 92%)
•     Tachypnoe (46 – 74%)
•     Tachykardie (40%)
•     Husten (65%)
•     Synkopen (10 – 14%)
•     Hämoptysen (7 – 25%)
•     Halsvenenstauung im Sitzen
    Stein PD, Henry JW (1997) Clinical characteristics of patients with acute pulmonary embolism stratified according to their
    presenting syndromes. Chest 112:974–979
Akute Pulmonalarterienembolie
            Klinische Risikostratifizierung


                 Verdacht auf Lungenembolie
                 Verdacht auf Lungenembolie



         Schock oder persistierende Hypotonie
          Schock oder persistierende Hypotonie



                    Ja
                     Ja                                   Nein
                                                          Nein



           Hohes Risiko
           Hohes Risiko                         Niedriges Risiko
                                                Niedriges Risiko


    Diagnostik und Therapie bei akuter Lungenembolie Anaesthesist 2009; 58: 1048-54
Wells - Score




     LAE Lungenarterienembolie, TVT tiefe Venenthrombose, Beinvenenthrombose
mod. nach Wells PS, Anderson DR, Rodger M et al (2000) Derivation of a simple clinical model to categorize patients probability of pulmonary
embolism: increasing the models utility with the SimpliRED D-dimer. Thromb Haemost 83:416–420
Akute Pulmonalarterienembolie
                                  EKG-Veränderungen (50 – 75%)


• Zeichen der Rechtsherzbelastung
     •     P-Pulmonale (5%)
     •     Rechtsrotation (6 – 12%)
     •     Rechtsschenkelblock (komplett 3%)
     •     SIQIII (Mc Ginn-White, 40%)
• Sinustachykardie (70 – 90%)
• ST-Strecken, T-Wellen Veränderungen (40%)
• Vorhofflimmern



Ferrari E, Imbert A, Chevalier T et al. (1997) The ECG in pulmonary embolism. Predictive value of negative T waves in precordial leads – 80
case reports. Chest 111:537–543
Akute Pulmonalarterienembolie
           EKG-Beispiel
Akute Pulmonalarterienembolie
                               Therapie

„Man kann aus Studien ableiten, dass vor allem bei Patienten
im Schock, bei denen eine rasche Besserung der Hämodynamik
lebensrettend sein kann, eine Thrombolyse mit einer fibrinspezifischen
Substanz unter Anwendung eines Kurzzeitlyseregimes
prognoseverbessernd sein könnte.“
Akute Pulmonalarterienembolie
         Allgemeine Therapie – Hochrisiko PAE

● Sauerstoffgabe
● Heparin
      UFH 5.000 IE
Akute Pulmonalarterienembolie
    Spezifische Therapie – Hochrisiko PAE
Akute Pulmonalarterienembolie
               Spezifische Therapie – Hochrisiko PAE

 ●   Alteplase (rtPA)
          10 mg i.v.-Bolus über 1 bis 2 Minuten gefolgt von 90
          mg über 2 Stunden
 ●   Urokinase
          3 Millionen IE über 2 Stunden
 ●   Streptokinase
          1,5 Millionen IE über 2 Stunden

      Reteplase und Tenecteplase sind bei akuter LE nicht zugelassen
Die Gabe eines Thrombolytikums wird bei vermuteter Lungenembolie auch während
der Reanimation empfohlen
Akute Pulmonalarterienembolie
          Supportive Therapie – Hochrisiko PAE


●   Norepinephrin
       Katecholamin erster Wahl bei Hypotension
●   Epinephrin
       Kardiogener Schock und Hypotension
●   Dobutamin
       Niedriges HZV, Normotension
R-A-P-I-D
Die akute Aortendissektion
     Diagnose und Management in der Prähospitalphase

„Die akute Aortendissektion ist aufgrund der hohen
Frühmortalität eine bedrohliche Notfallsituation.
Notärzte müssen typische Indizien kennen und zielgerichtet
überprüfen.“
Die akute Aortendissektion
              Einteilung




DeBakey I    DeBakey II    DeBakey III
Stanford A   Stanford A    Stanford B
Die akute Aortendissektion
                         Genese



Traumatisch                 Nicht-traumatisch
 Dezelerationstrauma
 Iatrogen
   Katheter
   IABP
   Kardiovaskuläre OP
Die akute Aortendissektion
        Prädisponiernende Faktoren

 Hypertonie
 Aortendissektionen in der Familie
 Ehlers-Danlos-Syndrom
 Kokain-/Amphetamin-Missbrauch
 Marfan-Syndrom
 Schwangerschaft
 Medianekrose (versch. Ätiol.)
 Aortenkoarktation
 Bikuspide Aortenklappe
Die akute Aortendissektion
Diagnose und Management in der Prähospitalphase



          Frühzeitiges Erkennen
          Medikamentöse Frühversorgung
          Nach Möglichkeit keine Intubation
          Bahnung der zielführenden Diagnostik
          Rasche operative Versorgung
Die akute Aortendissektion
                Verlauf, Prognose

• Typ B – 30-Tage-Letalität von 20%
• Typ A – 48-Stunden-Letalität von 50 – 60%
• Letalität von 1 – 2% in der Frühphase
Die akute Aortendissektion
                       Schmerzlokalisation


 Brustschmerzen 72,7%
   anterior 60,9%
   posterior 35,9%
 Rückenschmerzen 53,2%
 Bauchschmerzen 29,6%




       The International Registry of Acute Aortic Dissection (IRAD). JAMA 283:897–903
Die akute Aortendissektion
             Neurologische Manifestationen


 Zerebrales Ischämiesyndrom
 Peripheres Ischämiesyndrom
 Querschnittssyndrom



     Blanco M, Díez-Tejedor E, Larrea JL, Ramírez U (1999) Neurologic complications of type I aortic
     dissection Acta Neurol Scand 99:232–235
Die akute Aortendissektion
               Diagnose in der Prähospitalphase

Hauptrisikofaktor                       Arterielle Hypertonie
Leitsymptom                             Plötzlich eintretende, massivste
                                        Thoraxschmerzen (85%)
                                        Schmerzmigration (22%)
Kompression abgehender                  Synkope (ca. 13%)
Arterienäste                            Fehlende Pulse
                                        „Schwirren“ in der Leistenarterien
                                        Bewusstseinsstörungen
                                        Neurologische Ausfälle
Letale Komplikationen                   Aortenruptur
                                        Perikardtamponade

                        R. S. Hoke Intensivmed 39:254–264 (2002)
Notfall & Rettungsmedizin 2001 · 4:320–326 die akute Aortendissektion
Die akute Aortendissektion
                                                     EKG


 nur 30% der EKG´s normal
 25% einer Linksherzhypertrophie
 40% akute EKG-Abnormitäten
 hauptsächlich unspezifischen ERST
 Herzrhythmusstörungen selten


    Sullivan PR, Wolfson AB, Leckey RD, Burke JL (2000) Diagnosis of acute thoracic aortic dissection in the
    emergency department. Am J Emerg Med 18:46–50
Die akute Aortendissektion
                                             Thrombolyse

„Von 17 von Kodolitsch et al. analysierten Kasuistiken über eine
Lysetherapie bei AAD präsentierten sich nur 5 Fälle mit akuten ST-
Hebungen“




  Kodolitsch Y, Kühnel P, Kreymann G, Nienaber CA (1998) Lysetherapie bei Aortendissektionen: Durch hypertrophe
  Kardiomyopathie vorgetäuschter Myokardinfarkt. Z Kardiol 87:94–99
Die akute Aortendissektion
                   Therapie


Zerreißungsschmerz mit Sympathikusaktivierung
Basismaßnahmen
RR-Senkung (Ziel 100 – 120 mm HG) Esmolol
                                  Urapidil

Schmerzsenkung                     Morphin
Die akute Aortendissektion
         Transportziel




     Anmeldung so früh als möglich
     Kliniken die Operationen mit HLM

     gewährleisten
Mackler-Trias
Mackler-Trias


 akuter Thoraxschmerz

 starkes Erbrechen

 subkutanem Emphysem
Forciertes Erbrechen   Männer 80%
Heimlich-Manöver       4. – 6. Lebensdekade
                       Plötzlicher Druckanstieg im Ösophagus
Epileptischer Anfall
Heben schwerer
Lasten
Asthmaanfall
Hustenanfall
Geburt
Reanimation
Abdominaltrauma
Boerhaave - Syndrom
Forciertes Erbrechen   Hermann Boerhaave 1724
Heimlich-Manöver       Männer 80%
                       4. – 6. Lebensdekade
Epileptischer Anfall
                       Plötzlicher Druckanstieg im Ösophagus
Heben schwerer
Lasten
Asthmaanfall
Hustenanfall
Geburt
Reanimation
Abdominaltrauma
Boerhaave-Syndrom
R-A-P-I-D
TIMI – Score




Antman EM, Cohen M, Bernink PJ et al (2000) The TIMI risk score for unstable angina/non-ST elevation MI: a method for
prognostication and therapeutic decision making. JAMA 284:835–842
3.4.4 General practitioners
In some countries, general practitioners play a major role in the      Logistik
early care of acute myocardial infarction and are often the first
to be contacted by patients. If general practitioners respond          FMC
quickly they can be very effective, since they usually know the
patient and can perform and interpret the ECG. Their first task        ECG
after the ECG diagnosis should be to alert the EMS. But they are       EMS
also able to administer opioids and antithrombotic drugs (including
fibrinolytics if that is the management strategy), and can undertake
                                                                       Pain relief
defibrillation if needed. In most settings, however, consultation      Anti-
with a general practitioner - instead of a direct call to the
                                                                       thrombotics
EMS - increases pre-hospital delay. Therefore, in general, the
public should be educated to call the EMS, rather than                 Defibrillation
the primary care physician, for symptoms suggestive of myocardial
infarction.
Reperfusionsstrategien beim ACS
    1. Clinical                 2. Diagnosis/Risk
                                                                               3. Coronary angiography
    Evaluation                  Assessment

                             STEMI            reperfusion                                       urgent
                                                                                                < 120 min
Validation                                                 Evaluation
Response to antianginal                  Quality of chest pain                                  early
treatment                                Symptom-orientated
Biochemistry/troponin          NSTEMI-ACSphysical examination                                   < 24 h
ECG                            possible  Short history for the
Echocardiogram                           likelihood of CAD
Calculated risk score (GRACE)            Electrocardiogram                                      < 72 h
Risk criteria                            (ST deviation?)
Optional CT, MRI, scintigraphy




                                                                                                no/elective
                  Decision making algorithm in ACS European Heart Journal (2011) 32:2999-3054
NSTEMI - ACS
56 Jahre, weiblich

Seit 3 Tagen Herzschmerzen, zuletzt auch in Ruhe

Cholesterin
Familiäre Belastung
Übergewicht


Troponin T hs 67 pg/ml [0 -14]

EKG



   Kardinal Schwarzenberg´sches Krankenhaus, Innere Medizin, Freitag 29. Juni 2012
EKG -
Extremitätenableitungen




    Kardinal Schwarzenberg´sches Krankenhaus, Innere Medizin, Freitag 29. Juni 2012
EKG - Brustwandableitungen
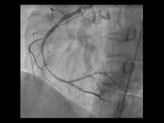
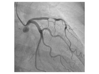
DAS AKUTE KORONARSYNDROM



Initiale Diagnose                                                                      Zeiten - Delays
EKG (atypisch)
Blutproben
Echo


          Erstbehandlung                                                  Reperfusion
          Opioide                                                         Primäre PCI
          Sauerstoff                                                      < 120 Minuten
                                                                          > 12 Stunden
          Tranquillizer
                                  Herzstillstand    Logistik              Fibrinolyse
          Gerinnungsinhibitoren                                           Keine KIND
          Plättcheninhibitoren    Defibrilliation   EKG-Telemetrie
                                  Monitoring        Regionale Netzwerke
                                  Hypothermie       PCI-Zentrum (24/7)
EKG - Herzinfarktdefinition
• Vorderwand:
  – ST-Hebung von mindestens 2 mm
• Hinterwand:
  – ST-Hebung von mindestens 1 mm
• Posterior:
  – ST-Hebung von mindestens 0,5 mm
• Hinterwand mit RV-Beteiligung:
  – ST-Hebung von mindestens 0,1 mm

In benachbarten Ableitungen!
Normales EKG



„Erstickungs-T“

R-Wellen-Verlust
ST-Hebung                Monophasisches
Hohe, breite T-Welle     ST-T-Segment
Kleine Q-Zacke

ST-Hebung – rückläufig
Größere Q-Zacke


Große Q-Zacke
Negative T-Wellen
Sogenannter   Hinterwandinfarkt
                     • Verschluss der RCA
                     • Infarktzeichen II, III, aVF
                       (evtl. V5, V6)
                     • Evtl. indirekte Infarktzeichen
                       V1 – V4
                     • Evtl. AV-Block,
                       Sinusbradykardie
Akuter Vorderwandinfarkt
                 • Verschluss des RIVA (LAD)
                 • Infarktzeichen I, aVL, V2 –
                   V6
                    –   Anteroseptal: V2, V3
                    –   Apikal: V3, V4
                    –   Anterolateral: V5, V6
                    –   Anteroseptal-lateral: V2 – V6
                 • Evtl. Sinustachykardie
Direkte - indirekte Infarktzeichen




Strictly posterior
Kardiogener Schock


• RR syst. < 90 mmHG > 30 min
• PC > 15 mmHG
• Herzindex < 2,2 l/min/m²
Kardiogener Schock - ACS


• Transmuraler Infarkt
• Anteriorer Infarkt
• Reinfarkt


                      PPCI
Erstbehandlung
Opioide
Sauerstoff
Tranquillizer
Gerinnungsinhibitoren
Plättcheninhibitoren



          Vendal               5 mg i.v.
          Sauerstoff (Maske,   4 – 6 l/min
          Nasensonde)
          Valium               5 mg i.v.
Erstbehandlung
  Opioide
  Sauerstoff
  Tranquillizer
  Gerinnungsinhibitoren
  Plättcheninhibitoren

                      STEMI
Primäre PCI       Fibrinolyse            Keine Reperfusion

UFH 5000 U i.v. UFH 4000 U i.v.          wie Fibrinolyse

oder              oder < 75 Jahre        wie Fibrinolyse
Enoxaparin i.v.   Enoxaparin i.v. (30
(0,5 mg/kg        mg) und Enoxaparin
Bolus)            s.c. (1 mg/kg) alle 12
                  h
                  bzw. > 75 Jahre kein
                  Bolus, Enoxaparin s.c.
                  0,75 mg/kg alle 24 h
Erstbehandlung
Opioide
Sauerstoff
Tranquillizer
Gerinnungsinhibitoren
Plättcheninhibitoren

             NSTEMI-ACS
                 UFH 5000 U i.v.


                 oder Enoxaparin
                 s.c. (1 mg/kg)
Erstbehandlung
Opioide
Sauerstoff
Tranquillizer
Gerinnungsinhibitoren
Plättcheninhibitoren
Erstbehandlung
  Opioide
  Sauerstoff
  Tranquillizer
  Gerinnungsinhibitoren
  Plättcheninhibitoren STEMI/NSTEMI-ACS
                                      wie PPCI
Primäre PCI            Fibrinolyse      Keine Reperfusion
250-500 mg Aspirin     250-500 mg       250-500 mg
i.v.                   Aspirin i.v.     Aspirin i.v.
Clopidogrel 600 mg     Clopidogrel 300 Clopidogrel 75 mg
p.o. LD einmalig (8    mg p.o. LD       p.o. 1 x 1
Tbl. a´ 75 mg) und     einmalig (4 Tbl.
75 mg p.o. ED          a´ 75 mg) und
oder Prasugrel 60 mg   75 mg p.o. ED
p.o. LD (6 Tbl. a´10
mg) und 10 mg p.o.
ED
oder Ticagrelor 180
mg LD (2 Tbl. a´ 90
mg) und 2 x 90 mg
ED
Fibrinolyse - Kontraindikationen

Thoraxschmerz

  • 1.
    Der akute Thoraxschmerz Präklinisches Vorgehen Hubert Wallner St. Gilgen, 26. Jänner 2013
  • 2.
    Der akute Thoraxschmerz Präklinisches Vorgehen Hubert Wallner St. Gilgen, 26. Jänner 2013
  • 3.
    Ecksteine der Diagnostik Anamnese  Klinik  EKG  Laborparameter
  • 4.
  • 5.
  • 6.
    Seltene, aber lebensbedrohlicheUrsache Seltene, aber lebensbedrohliche Ursache eines akuten Thoraxschmerzes eines akuten Thoraxschmerzes Thoraxschmerz in der Notaufnahme Thoraxschmerz in der Notaufnahme Der extrakardiale Thoraxschmerz Der extrakardiale Thoraxschmerz Vom Reflux bis zum Infarkt. Vom Reflux bis zum Infarkt. Was gilt es zu beachten? Was gilt es zu beachten? Das diagnostische Dilemma des akuten Das diagnostische Dilemma des akuten Thoraxschmerzes Thoraxschmerzes Differenzialdiagnose des akuten Thoraxschmerzes Differenzialdiagnose des akuten Thoraxschmerzes Akuter Thoraxschmerz ––Herzinfarkt oder Aorta? Akuter Thoraxschmerz Herzinfarkt oder Aorta?
  • 7.
    Akuter Thoraxschmerz „Als akuterThoraxschmerz wird ein plötzlich aufgetretener Brustschmerz bezeichnet, der sowohl kardiale und gefäßbedingte als auch extrakardiale und zum großen Teil auch funktionelle Ursachen haben kann.“ „Bei Patienten, die interdisziplinäre Notaufnahmen aufsuchen oder Rettungsdienste alarmieren, hat der Thoraxschmerz mit etwa 20% einen hohen Stellenwert.“ „In Notaufnahmen beträgt die kardiale Genese der vorgestellten Fälle etwa 45 - 50%, beim Notarzt sogar bis zu 69%.“
  • 8.
    Differenzialdiagnose des akutenThoraxschmerzes Lebensbedrohliche Erkrankung Differenzialdiagnosen (Auswahl) Akutes Koronarsyndrom Kardiovaskulär Akute Aortendissektion (Tachykarde) Rhythmusstörungen Akute Lungenarterienembolie Perikarditis Spannungspneumothorax Myokarditis Spontane Ösophagusruptur Pulmonal Pneumothorax (ohne Spannungssymptomatik) Pleuritis Pleuropneumonie Skelettoneuromuskulär Rippenfraktur/-prellung HWS-/BWS-Syndrom Tietze-Syndrom Gastrointestinal Ösophagitis Ulkus (Perforation) Pankreatitis
  • 9.
    Differenzialdiagnose des akutenThoraxschmerzes Anamnestische Differenzierung: Kardial - Extrakardial Kardial Extrakardial Thorakales Engegefühl Hell, Messerstich, einschießend Qualität Dumpfer Druck, Beklemmung Besserung auf Nitroglycerin Lokalisation Retrosternal, links/rechtsthorakal Abhängig von betroffenem Organ Ausstrahlung in Schulter, Arm, Oft präzise lokalisierbar Kiefer, Oberbauch Wandernd (Aortendissektion) Körperliche Belastung Berührung, Palpation, Trauma Auslöser Kälte Lage-/bewegungsabhängig Postprandial Tiefe Inspiration, Schlucken Dauer Minuten, selten >20 min Sehr variabel, Sekunden bis Stunden
  • 12.
    The Big Five lebensbedrohliche Erkrankungen mit Thoraxschmerz • Akutes Koronarsyndrom • Akute Aortendissektion • Akute Lungenarterienembolie • Spannungspneumothorax • Akute Ösophagusruptur
  • 13.
    R-A-P-I-D R uptur desÖsophagus A rterienembolie (pulmonal) P neumothorax mit Spannungssymptomatik I nfarkt, akutes Koronarsyndrom D issektion der Aorta
  • 14.
  • 15.
    Erkrankungen der Lungeund der Pleura Pneumothorax selten (etwa 7/100.000 Einwohner, bei Frauen 6-mal niedriger) Nikotinkonsum, Lungenemphysem, COPD („chronic obstructive pulmonary disease“), Mukoviszidose, Marfan-Syndrom oder nach Trauma. Schmerzen nicht obligat scharf, stechend und typischerweise atemabhängig, Reizhusten verbunden sein. Spannungspneumothorax (3 -5%) Tachykardie Dyspnoe Hypoxie Kreislaufschocks Auskultation/Perkussion aufgehobenes Atemgeräusch hypersonorer Klopfschall. Pleuritis/Pneumonie Lungentumor apikal lokalisiertes Bronchialkarzinom (Pancoast-Tumor) mit Affektion des Plexus brachialis und Horner-Syndrom
  • 17.
    Spannungspneumothorax 93.0 Spontaner Spannungspneumothorax J93.1 Sonstiger Spontanpneumothorax J93.2 Iatrogener Pneumothorax J93.8 Sonstiger Pneumothorax J94.2 Hämatopneumothorax S27.0 Pneumothorax, traumatisch S27.2 Hämatopneumothorax, traumatisch
  • 18.
    Spannungspneumothorax „Klinisch präsentiertsich ein Pneumothorax in 90% der Fälle durch Thoraxschmerzen und durch Dyspnoe in 80% der Fälle. Tritt durch einen Ventilmechanismus ein Spannungspneumothorax auf, kommen Zeichen der hämodynamischen Beeinträchtigung und der respiratorischen Insuffizienz hinzu.“ „Die rasche Entlastung des Spannungspneumothorax und Drainage der Luft aus dem Pleuraraum haben höchste Priorität.“ Meyer FJ, Jöckel J, Borst MM (2000) Management von Pneumothorax und Hämatothorax auf der internistischen Intensivsta tion. Intensivmed 37:334–340
  • 20.
  • 21.
    Akute Pulmonalarterienembolie „Die pulmonaleKomponente der Beschwerden und das plötzliche Auftreten verbunden mit der Risikoanamnese für eine Thrombose (Immobilität, Trauma bzw. Zustand nach orthopädischen und urologischen Eingriffen, Tumorerkrankung, Gerinnungsstörungen) machen eine PAE wahrscheinlich.“
  • 22.
    Akute Pulmonalarterienembolie klinische Bedeutung • Notfall mit hoher Morbidität • Akute Letalitätsrate (7 – 11%) • In AUT ca. 4.000 Todesfälle • Folgeerkrankung: – postthrombotisches Syndrom – pulmonale Hypertonie
  • 23.
    Akute Pulmonalarterienembolie Diagnose • Klinische Symptome • Score-Systeme • EKG • Labor • Röntgen • Echokardiografie • FKDS • CTA der Pulmonalarterien Stein PD, Henry JW (1997) Clinical characteristics of patients with acute pulmonary embolism stratified according to their presenting syndromes. Chest 112:974–979
  • 26.
  • 27.
  • 28.
    Akute Pulmonalarterienembolie Plötzliches Auftreten der Symptome • Thoraxschmerz (26 – 57%) • Dyspnoe (59 – 92%) • Tachypnoe (46 – 74%) • Tachykardie (40%) • Husten (65%) • Synkopen (10 – 14%) • Hämoptysen (7 – 25%) • Halsvenenstauung im Sitzen Stein PD, Henry JW (1997) Clinical characteristics of patients with acute pulmonary embolism stratified according to their presenting syndromes. Chest 112:974–979
  • 29.
    Akute Pulmonalarterienembolie Klinische Risikostratifizierung Verdacht auf Lungenembolie Verdacht auf Lungenembolie Schock oder persistierende Hypotonie Schock oder persistierende Hypotonie Ja Ja Nein Nein Hohes Risiko Hohes Risiko Niedriges Risiko Niedriges Risiko Diagnostik und Therapie bei akuter Lungenembolie Anaesthesist 2009; 58: 1048-54
  • 30.
    Wells - Score LAE Lungenarterienembolie, TVT tiefe Venenthrombose, Beinvenenthrombose mod. nach Wells PS, Anderson DR, Rodger M et al (2000) Derivation of a simple clinical model to categorize patients probability of pulmonary embolism: increasing the models utility with the SimpliRED D-dimer. Thromb Haemost 83:416–420
  • 31.
    Akute Pulmonalarterienembolie EKG-Veränderungen (50 – 75%) • Zeichen der Rechtsherzbelastung • P-Pulmonale (5%) • Rechtsrotation (6 – 12%) • Rechtsschenkelblock (komplett 3%) • SIQIII (Mc Ginn-White, 40%) • Sinustachykardie (70 – 90%) • ST-Strecken, T-Wellen Veränderungen (40%) • Vorhofflimmern Ferrari E, Imbert A, Chevalier T et al. (1997) The ECG in pulmonary embolism. Predictive value of negative T waves in precordial leads – 80 case reports. Chest 111:537–543
  • 32.
  • 33.
    Akute Pulmonalarterienembolie Therapie „Man kann aus Studien ableiten, dass vor allem bei Patienten im Schock, bei denen eine rasche Besserung der Hämodynamik lebensrettend sein kann, eine Thrombolyse mit einer fibrinspezifischen Substanz unter Anwendung eines Kurzzeitlyseregimes prognoseverbessernd sein könnte.“
  • 34.
    Akute Pulmonalarterienembolie Allgemeine Therapie – Hochrisiko PAE ● Sauerstoffgabe ● Heparin UFH 5.000 IE
  • 35.
    Akute Pulmonalarterienembolie Spezifische Therapie – Hochrisiko PAE
  • 36.
    Akute Pulmonalarterienembolie Spezifische Therapie – Hochrisiko PAE ● Alteplase (rtPA) 10 mg i.v.-Bolus über 1 bis 2 Minuten gefolgt von 90 mg über 2 Stunden ● Urokinase 3 Millionen IE über 2 Stunden ● Streptokinase 1,5 Millionen IE über 2 Stunden Reteplase und Tenecteplase sind bei akuter LE nicht zugelassen Die Gabe eines Thrombolytikums wird bei vermuteter Lungenembolie auch während der Reanimation empfohlen
  • 37.
    Akute Pulmonalarterienembolie Supportive Therapie – Hochrisiko PAE ● Norepinephrin Katecholamin erster Wahl bei Hypotension ● Epinephrin Kardiogener Schock und Hypotension ● Dobutamin Niedriges HZV, Normotension
  • 38.
  • 39.
    Die akute Aortendissektion Diagnose und Management in der Prähospitalphase „Die akute Aortendissektion ist aufgrund der hohen Frühmortalität eine bedrohliche Notfallsituation. Notärzte müssen typische Indizien kennen und zielgerichtet überprüfen.“
  • 42.
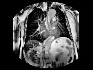
    Die akute Aortendissektion Einteilung DeBakey I DeBakey II DeBakey III Stanford A Stanford A Stanford B
  • 43.
    Die akute Aortendissektion Genese Traumatisch Nicht-traumatisch  Dezelerationstrauma  Iatrogen  Katheter  IABP  Kardiovaskuläre OP
  • 44.
    Die akute Aortendissektion Prädisponiernende Faktoren  Hypertonie  Aortendissektionen in der Familie  Ehlers-Danlos-Syndrom  Kokain-/Amphetamin-Missbrauch  Marfan-Syndrom  Schwangerschaft  Medianekrose (versch. Ätiol.)  Aortenkoarktation  Bikuspide Aortenklappe
  • 45.
    Die akute Aortendissektion Diagnoseund Management in der Prähospitalphase  Frühzeitiges Erkennen  Medikamentöse Frühversorgung  Nach Möglichkeit keine Intubation  Bahnung der zielführenden Diagnostik  Rasche operative Versorgung
  • 47.
    Die akute Aortendissektion Verlauf, Prognose • Typ B – 30-Tage-Letalität von 20% • Typ A – 48-Stunden-Letalität von 50 – 60% • Letalität von 1 – 2% in der Frühphase
  • 48.
    Die akute Aortendissektion Schmerzlokalisation  Brustschmerzen 72,7%  anterior 60,9%  posterior 35,9%  Rückenschmerzen 53,2%  Bauchschmerzen 29,6% The International Registry of Acute Aortic Dissection (IRAD). JAMA 283:897–903
  • 49.
    Die akute Aortendissektion Neurologische Manifestationen  Zerebrales Ischämiesyndrom  Peripheres Ischämiesyndrom  Querschnittssyndrom Blanco M, Díez-Tejedor E, Larrea JL, Ramírez U (1999) Neurologic complications of type I aortic dissection Acta Neurol Scand 99:232–235
  • 50.
    Die akute Aortendissektion Diagnose in der Prähospitalphase Hauptrisikofaktor Arterielle Hypertonie Leitsymptom Plötzlich eintretende, massivste Thoraxschmerzen (85%) Schmerzmigration (22%) Kompression abgehender Synkope (ca. 13%) Arterienäste Fehlende Pulse „Schwirren“ in der Leistenarterien Bewusstseinsstörungen Neurologische Ausfälle Letale Komplikationen Aortenruptur Perikardtamponade R. S. Hoke Intensivmed 39:254–264 (2002)
  • 51.
    Notfall & Rettungsmedizin2001 · 4:320–326 die akute Aortendissektion
  • 52.
    Die akute Aortendissektion EKG  nur 30% der EKG´s normal  25% einer Linksherzhypertrophie  40% akute EKG-Abnormitäten  hauptsächlich unspezifischen ERST  Herzrhythmusstörungen selten Sullivan PR, Wolfson AB, Leckey RD, Burke JL (2000) Diagnosis of acute thoracic aortic dissection in the emergency department. Am J Emerg Med 18:46–50
  • 53.
    Die akute Aortendissektion Thrombolyse „Von 17 von Kodolitsch et al. analysierten Kasuistiken über eine Lysetherapie bei AAD präsentierten sich nur 5 Fälle mit akuten ST- Hebungen“ Kodolitsch Y, Kühnel P, Kreymann G, Nienaber CA (1998) Lysetherapie bei Aortendissektionen: Durch hypertrophe Kardiomyopathie vorgetäuschter Myokardinfarkt. Z Kardiol 87:94–99
  • 54.
    Die akute Aortendissektion Therapie Zerreißungsschmerz mit Sympathikusaktivierung Basismaßnahmen RR-Senkung (Ziel 100 – 120 mm HG) Esmolol Urapidil Schmerzsenkung Morphin
  • 55.
    Die akute Aortendissektion Transportziel  Anmeldung so früh als möglich  Kliniken die Operationen mit HLM gewährleisten
  • 56.
  • 57.
    Mackler-Trias  akuter Thoraxschmerz starkes Erbrechen  subkutanem Emphysem
  • 58.
    Forciertes Erbrechen Männer 80% Heimlich-Manöver 4. – 6. Lebensdekade Plötzlicher Druckanstieg im Ösophagus Epileptischer Anfall Heben schwerer Lasten Asthmaanfall Hustenanfall Geburt Reanimation Abdominaltrauma
  • 59.
    Boerhaave - Syndrom ForciertesErbrechen Hermann Boerhaave 1724 Heimlich-Manöver Männer 80% 4. – 6. Lebensdekade Epileptischer Anfall Plötzlicher Druckanstieg im Ösophagus Heben schwerer Lasten Asthmaanfall Hustenanfall Geburt Reanimation Abdominaltrauma
  • 61.
  • 63.
  • 64.
    TIMI – Score AntmanEM, Cohen M, Bernink PJ et al (2000) The TIMI risk score for unstable angina/non-ST elevation MI: a method for prognostication and therapeutic decision making. JAMA 284:835–842
  • 65.
    3.4.4 General practitioners Insome countries, general practitioners play a major role in the Logistik early care of acute myocardial infarction and are often the first to be contacted by patients. If general practitioners respond FMC quickly they can be very effective, since they usually know the patient and can perform and interpret the ECG. Their first task ECG after the ECG diagnosis should be to alert the EMS. But they are EMS also able to administer opioids and antithrombotic drugs (including fibrinolytics if that is the management strategy), and can undertake Pain relief defibrillation if needed. In most settings, however, consultation Anti- with a general practitioner - instead of a direct call to the thrombotics EMS - increases pre-hospital delay. Therefore, in general, the public should be educated to call the EMS, rather than Defibrillation the primary care physician, for symptoms suggestive of myocardial infarction.
  • 66.
    Reperfusionsstrategien beim ACS 1. Clinical 2. Diagnosis/Risk 3. Coronary angiography Evaluation Assessment STEMI reperfusion urgent < 120 min Validation Evaluation Response to antianginal Quality of chest pain early treatment Symptom-orientated Biochemistry/troponin NSTEMI-ACSphysical examination < 24 h ECG possible Short history for the Echocardiogram likelihood of CAD Calculated risk score (GRACE) Electrocardiogram < 72 h Risk criteria (ST deviation?) Optional CT, MRI, scintigraphy no/elective Decision making algorithm in ACS European Heart Journal (2011) 32:2999-3054
  • 67.
    NSTEMI - ACS 56Jahre, weiblich Seit 3 Tagen Herzschmerzen, zuletzt auch in Ruhe Cholesterin Familiäre Belastung Übergewicht Troponin T hs 67 pg/ml [0 -14] EKG Kardinal Schwarzenberg´sches Krankenhaus, Innere Medizin, Freitag 29. Juni 2012
  • 68.
    EKG - Extremitätenableitungen Kardinal Schwarzenberg´sches Krankenhaus, Innere Medizin, Freitag 29. Juni 2012
  • 69.
  • 72.
    DAS AKUTE KORONARSYNDROM InitialeDiagnose Zeiten - Delays EKG (atypisch) Blutproben Echo Erstbehandlung Reperfusion Opioide Primäre PCI Sauerstoff < 120 Minuten > 12 Stunden Tranquillizer Herzstillstand Logistik Fibrinolyse Gerinnungsinhibitoren Keine KIND Plättcheninhibitoren Defibrilliation EKG-Telemetrie Monitoring Regionale Netzwerke Hypothermie PCI-Zentrum (24/7)
  • 73.
    EKG - Herzinfarktdefinition •Vorderwand: – ST-Hebung von mindestens 2 mm • Hinterwand: – ST-Hebung von mindestens 1 mm • Posterior: – ST-Hebung von mindestens 0,5 mm • Hinterwand mit RV-Beteiligung: – ST-Hebung von mindestens 0,1 mm In benachbarten Ableitungen!
  • 74.
    Normales EKG „Erstickungs-T“ R-Wellen-Verlust ST-Hebung Monophasisches Hohe, breite T-Welle ST-T-Segment Kleine Q-Zacke ST-Hebung – rückläufig Größere Q-Zacke Große Q-Zacke Negative T-Wellen
  • 77.
    Sogenannter Hinterwandinfarkt • Verschluss der RCA • Infarktzeichen II, III, aVF (evtl. V5, V6) • Evtl. indirekte Infarktzeichen V1 – V4 • Evtl. AV-Block, Sinusbradykardie
  • 79.
    Akuter Vorderwandinfarkt • Verschluss des RIVA (LAD) • Infarktzeichen I, aVL, V2 – V6 – Anteroseptal: V2, V3 – Apikal: V3, V4 – Anterolateral: V5, V6 – Anteroseptal-lateral: V2 – V6 • Evtl. Sinustachykardie
  • 81.
    Direkte - indirekteInfarktzeichen Strictly posterior
  • 82.
    Kardiogener Schock • RRsyst. < 90 mmHG > 30 min • PC > 15 mmHG • Herzindex < 2,2 l/min/m²
  • 83.
    Kardiogener Schock -ACS • Transmuraler Infarkt • Anteriorer Infarkt • Reinfarkt PPCI
  • 84.
    Erstbehandlung Opioide Sauerstoff Tranquillizer Gerinnungsinhibitoren Plättcheninhibitoren Vendal 5 mg i.v. Sauerstoff (Maske, 4 – 6 l/min Nasensonde) Valium 5 mg i.v.
  • 85.
    Erstbehandlung Opioide Sauerstoff Tranquillizer Gerinnungsinhibitoren Plättcheninhibitoren STEMI Primäre PCI Fibrinolyse Keine Reperfusion UFH 5000 U i.v. UFH 4000 U i.v. wie Fibrinolyse oder oder < 75 Jahre wie Fibrinolyse Enoxaparin i.v. Enoxaparin i.v. (30 (0,5 mg/kg mg) und Enoxaparin Bolus) s.c. (1 mg/kg) alle 12 h bzw. > 75 Jahre kein Bolus, Enoxaparin s.c. 0,75 mg/kg alle 24 h
  • 86.
  • 87.
  • 88.
    Erstbehandlung Opioide Sauerstoff Tranquillizer Gerinnungsinhibitoren Plättcheninhibitoren STEMI/NSTEMI-ACS wie PPCI Primäre PCI Fibrinolyse Keine Reperfusion 250-500 mg Aspirin 250-500 mg 250-500 mg i.v. Aspirin i.v. Aspirin i.v. Clopidogrel 600 mg Clopidogrel 300 Clopidogrel 75 mg p.o. LD einmalig (8 mg p.o. LD p.o. 1 x 1 Tbl. a´ 75 mg) und einmalig (4 Tbl. 75 mg p.o. ED a´ 75 mg) und oder Prasugrel 60 mg 75 mg p.o. ED p.o. LD (6 Tbl. a´10 mg) und 10 mg p.o. ED oder Ticagrelor 180 mg LD (2 Tbl. a´ 90 mg) und 2 x 90 mg ED
  • 91.

Hinweis der Redaktion

  • #5 EKG-Stethoskop-Einheit Pulsovet 3000 DS
  • #6 EKG-Stethoskop-Einheit Pulsovet 3000 DS
  • #7 Thoraxschmerzen sind ein häufiger Grund, eine Notaufnahme aufzusuchen bzw. die Rettungsdienste zu alarmieren. Ein großer Anteil dieser Beschwerden ist kardial bedingt. Aufgrund der erheblichen Konsequenzen einer falschen Einschätzung, v. a. des akuten Koronarsyndroms (ACS), kommt der initialen Beurteilung eine hohe Bedeutung zu. Wesentlich dabei sind Anamnese, klinische Untersuchung, EKG (Elektrokardiogramm) und die Bestimmung von Biomarkern. Bereits in der Initialphase müssen aber auch nichtkardiale Ursachen wie Lungenarterienembolie (LAE), Aortendissektion oder gastrointestinale Ursachen bedacht werden. Bedeutung gewinnen die zur Risikostratifizierung bei ACS oder LAE eingesetzten Risikoscores. Insbesondere der GRACE(„global registry of acute coronary events“)- und der TIMI(„thrombolysis in myocardial infarction“)-Score sind mittlerweile für das ACS gut validiert, sie wurden in die Leitlinien aufgenommen. Für die Beurteilung einer LAE hat sich der Wells-Score etabliert. Letzterer sowie der GRACE- und der TIMI-Score sollten daher in Notaufnahmen vermehrt eingesetzt werden.
  • #16 Wichtig Auskultation der apikalen Lungenbereiche
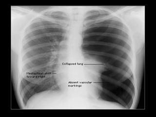
  • #17 Der Spannungspneumothorax ist eine besondere und lebensgefährliche Form des Pneumothorax. Er entsteht durch einen Ventilmechanismus, bei dem bei der Inspiration Luft entweder von außen (z. B. Einstich) oder von innen in die Brusthöhle eindringt. Mit Zunahme des Luftvolumens steigt der intrathorakale Druck auf der verletzten Seite an und verdrängt das Mittelfell zur Gegenseite. Auf diese Weise werden die gesunde Lunge und die Hohlvenen komprimiert. Die Venenkompression drosselt den venösen Rückstrom zum Herzen, wodurch das Schlagvolumen bedrohlich abnimmt 
  • #30   Initiale  klinische  Risikostratifizierung  bei  Verdacht  auf  Lungenembolie ( LE ), *systolischer  Blutdruck  &lt;90 mmHg  oder  Blutdruckabfall  &gt;40 mmHg  über  mehr  als  15 min,  wobei  eine  neu  aufgetretene  Arrhythmie,  Hypovolämie  oder  Sepsis  als  Ursache  ausgeschlossen  sein  müssen; **Risiko  der  frühen  LE-bedingten  Mortalität  (Krankenhaus-  oder  30-Tage-Mortalität)
  • #32 EKG-Veran derun gen sind bei ge sicherter Lun gen em bo lie nur in etwa 50–75% der Fal le nach weisbar. Die haufigste EKG Ab nor mali tat sind Veran derun gen der STT Stre cke und der T-Wel le im EKG [8, 31, 32], Zeichen der Rechtsherzbe lastung einschlieslich eines inkom plet ten oder komplet ten Rechtss chen kelblocks oder ein SIQIII- Typ (Mc Ginn und Whi te). Haufig lasst sich entwe der eine Sinu stachy kar die oder ein neu auf ge tre te nes Vor hoff limmern nach wei sen [11]. Die se EKG-Ver anderun gen bei der Lun genem bo lie sind unspezifisch und zur Dif fe renzierung von einem aku ten Ko ro nar syndrom meist unzureichend.
  • #34 1970–1992: Thrombolysestudien mit Lungen - perfusion und Pulmonalisdrücken als Zielgrößen Eingeschlossen wurden Patienten mit submassiver bis massiver LE. Erfasst wurden die Perfusionsausfälle und die Höhe der pulmonalarteriellen Drücke [3, 20, 22, 30, 31]. Überwiegend wurden hierbei als Endpunkte Surrogatparameter festgelegt, wie in der Lungenperfusionsszintigraphie oder in der Pulmonalisangiographie erfasste Veränderungen der Durchblutung und/oder Veränderungen der Pulmonalisdrücke [3, 20, 31]. Lediglich die UPET-Studie [31] analysierte auch die Sterblichkeit nach 1 Jahr. In den genannten Studien zeigten sich unter thrombolytischer Therapie eine schnellere Verbesserung der Lungenperfusion sowie ein rascherer Rückgang der pulmonalarteriellen Drücke, im Verlauf jedoch eine Angleichung der Messgrößen und keine Unterschiedlichkeit der Letalität.
  • #35 Therapeutische Strategie bei Hochrisiko-LE Hämodynamisch instabile Patienten mit gesicherter LE benötigen – abgesehen von allgemeinen kreislaufunterstützenden Maßnahmen und therapeutischer Antikoagulation – eine sofortige Thrombolyse zur Entlastung des rechten Ventrikels (Evidenzgrad A) (3). Folgende in Deutschland zugelassenen Wirkstoffe und Dosierungsschemata werden in der Literatur empfohlen (5, 12): ● Alteplase (rtPA): 10 mg i.v.-Bolus über 1 bis 2 Minuten gefolgt von 90 mg über 2 Stunden (bei Gewicht &lt; 65 kg maximal 1,5 mg/kg) ● Urokinase: 3 Millionen IE über 2 Stunden ● Streptokinase: 1,5 Millionen IE über 2 Stunden Reteplase und Tenecteplase sind bei akuter LE nicht zugelassen. Die Gabe eines Thrombolytikums wird in den internationalen Leitlinien zur kardiopulmonalen Reanimation bei vermuteter Lungenembolie auch während der Reanimation empfohlen (e10, 23). Die Reanimation sollte dann – wenn keine Stabilisierung eintritt – für 60 bis 90 Minuten weitergeführt werden. Bei absoluter Kontraindikation gegen die Thrombolyse (e11) oder
  • #37 Therapeutische Strategie bei Hochrisiko-LE Hämodynamisch instabile Patienten mit gesicherter LE benötigen – abgesehen von allgemeinen kreislaufunterstützenden Maßnahmen und therapeutischer Antikoagulation – eine sofortige Thrombolyse zur Entlastung des rechten Ventrikels (Evidenzgrad A) (3). Folgende in Deutschland zugelassenen Wirkstoffe und Dosierungsschemata werden in der Literatur empfohlen (5, 12): ● Alteplase (rtPA): 10 mg i.v.-Bolus über 1 bis 2 Minuten gefolgt von 90 mg über 2 Stunden (bei Gewicht &lt; 65 kg maximal 1,5 mg/kg) ● Urokinase: 3 Millionen IE über 2 Stunden ● Streptokinase: 1,5 Millionen IE über 2 Stunden Reteplase und Tenecteplase sind bei akuter LE nicht zugelassen. Die Gabe eines Thrombolytikums wird in den internationalen Leitlinien zur kardiopulmonalen Reanimation bei vermuteter Lungenembolie auch während der Reanimation empfohlen (e10, 23). Die Reanimation sollte dann – wenn keine Stabilisierung eintritt – für 60 bis 90 Minuten weitergeführt werden. Bei absoluter Kontraindikation gegen die Thrombolyse (e11) oder
  • #38 In Ergänzung zur spezifischen Therapie haben supportive Maßnahmen eine zentrale Bedeutung bei der Behandlung von LE-Patienten mit hämodynamischer Instabilität, da das akute Rechtsherzversagen die Haupttodesursache darstellt. Bei Hypotension kommt als Katecholamin der ersten Wahl Noradrenalin zum Einsatz. Bei normotensiven Patienten mit niedrigem Herzzeitvolumen kann Dobutamin, bei hypotensiven Patienten im kardiogenen Schock Epinephrin verwendet werden (3). Die selektive Senkung des pulmonalarteriellen Druckes mittels inhalativem Stickstoffmonoxid oder Prostacyclinaerosol führte in kleineren klinischen Studien zur Verbesserung des Ventilations-Perfusions- Verhältnisses mit Verbesserung der Oxygenierung, zum Abfall des pulmonalarteriellen Druckes und zum Anstieg des Herzzeitvolumens (6).
  • #43 Ihr liegt ein Intimaeinriss mit einer nachfolgenden „Wühlblutung“ in die Lamina media und Ausbildung eines falschen Gefäßlumens zugrunde. Häufig sind Patienten in der 6. Lebensdekade mit einem arteriellen Hypertonus und anderen prädisponierenden Grunderkrankungen und Risikofaktoren wie einer Hypercholesterinämie, einer iatrogenen Dissektion im Rahmen einer Katheterintervention, einem Trauma, einem Marfan-Syndrom und entzündlichen Aortenerkrankungen (Lues, Riesenzellarteriitis, Morbus Bechterew, Morbus Ormond) betroffen. Die gebräuchlichste Klassifikation ist die Einteilung nach Stanford (Typ A und B). Die Typ-B-Dissektion beschränkt sich auf die Aorta descendens, hat eine 30-Tage-Letalität von etwa 20% [13] und wird primär konservativ behandelt. Häufiger ist eine Typ-A-Dissektion mit bei etwa 2/3 der Fälle einer Beteiligung der Aorta ascendens bis zum Aortenbogen. Unbehandelt sterben etwa 50–60% der Patienten in den ersten 24–48 h [5], daher ist eine notfallmäßige Operation indiziert. Abhängig von der Lokalisation der Dissektion kann ein Thoraxschmerz mit einem akuten Schmerzbeginn und Vernichtungsschmerz und ggf. fortschreitender Schmerzausbreitung in den Rücken oder den Unterbauch auftreten. Bei Beteiligung der A. ascendens und des Aortenbogens können durch Beeinträchtigung der Hirn versorgenden Gefäße führend neurologische Symptome, eine akute Aortenklappeninsuffizienz, eine Perikardtamponade oder eine akute Koronarischämie bei Mitbeteiligung der Koronarostien die Folge sein. Aufgrund der ähnlichen Klinik wird häufig die alleinige Diagnose ACS gestellt und deshalb die bei der Aortendissektion kontraindizierte antithrombozytäre und antikoagulatorische Therapie begonnen. Zur Differenzierung fehlen außer bei der genannten seltenen Beteiligung der Koronarostien die begleitenden infarkttypischen EKG-Veränderungen.
  • #45 Medianekrose: Lues, Riesenzellarteriitis, Morbus Bechterew, Morbus Ormond
  • #46 Wichtig ist zu bedenken, dass die Dissektion einen dynamischen Prozess darstellt. Insbesondere in den ersten Stunden kommt es häufig noch zu einem Fortschreiten des Dissektionsprozesses mit entsprechender Fluktuation der Symptomatik und evtl. frühsekundär auftretenden zusätzlichen Durchblutungsstörungen.
  • #49 Der Thoraxschmerz bei einer akuten Aortendissektion ist anfangs von heftiger, messerstichariger Qualitat und lasst oft mit der Zeit nach („scheinbare Besse rung“). Der Schmerz ist haufig pulssynchron und kann in Dissektionsrichtung wandern oder ausstra len. Im Gegensatz zur Angina pectoris lasst sich der Schmerz nicht durch Nitroglycerin beeinflussen, sondern erst durch hohe Mengen von Opiaten unterdrucken.
  • #51 Eine Entlastung durch Perikardpunktion sollte vor Ort aber nach Möglichkeit vermieden werden, um nicht aus der gedeckten Ruptur eine freie werden zu lassen. Lediglich bei vitaler Indikation (mangelnde Auswurfleistung) können derartige Maßnahmen im Einzelfall indiziert sein.
  • #52 Behandlungsalgorithmus
  • #53 Durch Dissektion der Aortenwurzel auf Höhe der Koronarabgänge und durch reduzierten Koronarblut fluss kann es zu ischämietypischen EKG-Veränderungen und er höhtem Troponin kommen, was die Fehldiagnose eines akuten Myokardinfarkts mit fatalen Behandlungsfolgen begünstigt.
  • #57 Wegweisend für das Boerhaave-Syndrom ist das als Mackler-Trias beschriebene Bild aus starkem Erbrechen, akutem Thoraxschmerz und subkutanem Emphysem, das jedoch nur in weniger als 50% der Fälle vorhanden ist [ 1 ,  5 ,  10 ]. Der Umstand, dass zwischen dem auslösenden Ereignis und der Perforation auch mehrere Stunden liegen können [ 3 ,  5 ] und manche Patienten – so auch in unserem Fall – erst auf gezielte Nachfrage über Erbrechen berichten [ 10 ,  11 ], bereitet zusätzliche differenzialdiagnostische Schwierigkeiten.
  • #58 Wegweisend für das Boerhaave-Syndrom ist das als Mackler-Trias beschriebene Bild aus starkem Erbrechen, akutem Thoraxschmerz und subkutanem Emphysem, das jedoch nur in weniger als 50% der Fälle vorhanden ist [ 1 , 5, 10]. Der Umstand, dass zwischen dem auslösenden Ereignis und der Perforation auch mehrere Stunden liegen können [3, 5] und manche Patienten – so auch in unserem Fall – erst auf gezielte Nachfrage über Erbrechen berichten [10, 11], bereitet zusätzliche differenzialdiagnostische Schwierigkeiten.
  • #59 Die spontane Ösophagusruptur ist eine lebensbedrohliche Erkrankung, die seit ihrer Erstbeschreibung durch Boerhaave im Jahr 1724 bis heute häufig erst spät diagnostiziert wird [3]. Die Patienten sind zu über 80% Männer zwischen der 4. und 6. Lebensdekade [5]. Die Ursache ist ein plötzlicher Druckanstieg im Ösophagus, meist ausgelöst durch einen Brechreiz bei fehlender, gleichzeitiger Relaxation des M. cricopharyngeus [10]. Neben Erbrechen können auch ein Hustenanfall oder das Heben schwerer Lasten zur Ösophagusruptur führen 
  • #60 Die spontane Ösophagusruptur ist eine lebensbedrohliche Erkrankung, die seit ihrer Erstbeschreibung durch Boerhaave im Jahr 1724 bis heute häufig erst spät diagnostiziert wird [3]. Die Patienten sind zu über 80% Männer zwischen der 4. und 6. Lebensdekade [5]. Die Ursache ist ein plötzlicher Druckanstieg im Ösophagus, meist ausgelöst durch einen Brechreiz bei fehlender, gleichzeitiger Relaxation des M. cricopharyngeus [10]. Neben Erbrechen können auch ein Hustenanfall oder das Heben schwerer Lasten zur Ösophagusruptur führen 
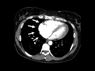
  • #62 Spiral-CT des Thorax nach intravenöser Kontrastmittelgabe. Pneumomediastinum (Pfeil) und linksseitiger Pleuraerguss (*)
  • #63 Ösophagus-Monokontrast mit wasserlöslichem Kontrastmittel (100 ml Peritrast®). Kontrastmittelaustritt im distalen Ösophagus links dorsolateral in die Pleurahöhle ( Pfeil )