Lymphome
Intensivkurs Innere Medizin 2010
RBK
M. Vöhringer
LYMPHOME
1. Epidemiologie / Ätiologie
2. Pathogenese
3. Diagnostik
4. Stadieneinteilung / Prognose
5. Therapie
6. Zusammenfassung
LYMPHOME
1. Epidemiologie / Ätiologie
2. Pathogenese
3. Diagnostik
4. Stadieneinteilung / Prognose
5. Therapie
6. Zusammenfassung
Lymphome (Epidemiologie)
Krebsneuerkrankungen (in %)
Lymphome (Epidemiologie)
Krebsneuerkrankungen (in %)
Lokalisation Männer Frauen
Prostata 58.560
Mamma 57.230
Darm 37.250 36.000
Lunge 32.850 13.190
Harnblase 21.410 7.340
Magen 11.000 7.780
Uterus 11.700
Niere / Harnwege 10.750 6.500
NHL 6.780 6.070
Lymphome (Epidemiologie)
Neuerkrankungen in absoluten Zahlen für das Jahr 2004 (Quelle RKI:
www.rki.de)
LYMPHOME
Def.: primäre Neoplasien des lymphatischen Gewebes
=> Einteilung nach WHO (2001, Revision 2008), davor
nach der Kiel-Klassifikation
=> 3 große Gruppen: B-Zell-Neoplasie, T / NK-Zell-
Neoplasie und Hodgkin-Lymphom
=> die ersteren werden weiter unterschieden in peripher-
reifzellige und die Vorläuferneoplasien (entsprechend
den akuten Leukämien der Kiel-Klassifikation)
B-Zell-Reihe (ca. 80-85%) T-Zell-Reihe (ca. 15-20%)
Vorläufer-B-Zell-Neoplasie
(Vorläufer B-lymphoblastisches Lymphom / Leukämie)
Vorläufer T-Zell-Neoplasie
(Vorläufer T-lymphoblastisches Lymphom / Leukämie)
Reifzellige (periphere)B-Zell-Neoplasie Reifzellige (periphere) T-Zell-Neoplasie
B-CLL Prolymphozytenleukämie vom T-Zell-Typ
Kleinzelliges lymphozytisches Lymphom Großzellige granuläre Lymphozyten-Leukämie (LGL)
Prolymphozytenleukämie vom B-Zell-Typ Aggressive NK-Zell-Leukämie
Lymphoplasmozytisches Lymphom Adultes T-Zell-Lymphom (HTLV-1 pos)
Mantelzell-Lymphom Extranodales T / NK-Zell-Lymphom
Follikuläres Lymphom Intestinales T-Zell-Lymphom vom Enteropathie-Typ
Extranoduläres Marginalzonenlymphom (MALT) Mycosis fungoides
nodales Marginalzonenlymphom Sézary-Syndrom
Splenisches Marginalzonenlymphom Primär kutanes anaplastisch-großzelliges T-NHL
Haarzellleukämie Peripheres T-Zell-Lymphom, nicht subspezifiert
diffus großzelliges B-Zell-Lymphom Angioimmunoblastisches Lymphom (AILT)
primär großezelliges B-Zell-Lymphom des Mediastinums Anaplastisch-großzellliges T-Zell-Lymphom
Burkitt-Lymphom
Plasmozytom
Multiples Myelom
LYMPHOME
LYMPHOME
LYMPHOME (Ätiologie)
Hodgkin-Lymphom:
aufgrund von 3 unterschiedlichen Erkrankungsaltern,
unterschiedlichen histologischen Subtypen und
demographischen Faktoren werden unterschiedliche
Ätiologien vermutet:
=> Typ 1: 0-14 Jahre, mischzelliger Subtyp, v.a.
Entwicklungsländer, Assoziation zu EBV-Infektion
=> Typ 2: 15-34 Jahre, Industrieländer, nodulär-
sklerosierender Subtyp, meist EBV-neg.
=> Typ 3: > 50 Jahre, mischzelliger Subtyp, meist EBV-
pos.
- nach Mononukleose 3-fach erhöhtes Risiko für Hodgkin
(ebenfalls erhöht bei HIV und nach Allo-TX)
LYMPHOME (Ätiologie)
Non-Hodgkin-Lymphome:
- Ätiologie weitestgehend unklar (diskutiert werden
immunologische und infektiologische Ursachen, wie z.B.
Autoimmunerkrankungen, HIV, HCV)
- gesichert ist der Zusammenhang zw. EBV und dem
epidemischen Burkitt-Lymphom und der HTLV-1-
Infektion und dem adulten T-cell-leukemia Lymphom
- ebenfalls kausaler Zusammenhang zw. MALT-
Lmyphom des Magens und Helicobacter pylori-Infektion
- seit Jahrzehnten weltweit ansteigende Inzidenz der
Lymphomerkrankungen !
LYMPHOME
1. Epidemiologie / Ätiologie
2. Pathogenese
3. Diagnostik
4. Stadieneinteilung / Prognose
5. Therapie
6. Zusammenfassung
LYMPHOME (Entwicklung von B-Lymphozyten)
VDJ-Rekombination
Somatische Hypermutation
66.000 Möglichkeiten
unendliche Variabilitat
LYMPHOME
Um gegen möglichst alle Erreger Antikörper zu besitzen baut
sich jeder B-Lymphozyt einen einzigartigen Antikörper
LYMPHOME
LYMPHOME
Typische chromosomale Translokationen bei B-Zell-Lymphomen:
Häufigkeit
90 %
70 %
30 %
35 %
80 %
Lymphom
FL
MCL
MALT
DLBCL
Burkitt
(CML /ALL
Translok.
t(14;18)
t(11;14)
t(11;18)
der(3)(q27)
t(8;14)
t(9;22)
Protoonkogen
BCL-2
BCL-1, Zyklin D1
API-2/MALT-1
BCL-6
c-MYC
BCR-ABL)
FL
MCL
MALT
DLBCL
= follikuläres Lymphom
= Mantelzelllymphom
= Mucosa-associated lymphoid tissue
= diffus großzelliges B-Zell-Lymphom
LYMPHOME
B-Zell-Rezeptor(komplex):
besteht aus 2 identischen Leicht- und Schwerketten-
Immunglobulinen (die über eine Disulfidbrücke
verbunden sind)
Im KM werden Schwer- und Leichtketten-Gene
rearrangiert und mit einem Oberflächen-Ag-Rezeptor
ausgestattet => findet dieser Schritt nicht statt =>
Apoptose
ansonsten wird das KM als reife naive B-Zelle verlassen
=>können dort durch Ag-Bindung aktiviert werden und
bei Immunantwort mitwirken
=> durchlaufen dazu eine klonale Expansion
(somatische Hypermutation und Rekombination)
=> dadurch evt. Aktivierung eines Protoonkogens (z.B.
BCL-6, c-MYC, BCL-2)
Edwards et al. Nature Reviews Immunology 2006;6:394–403
LYMPHOME
LYMPHOME
1. Epidemiologie / Ätiologie
2. Pathogenese
3. Diagnostik
4. Stadieneinteilung / Prognose
5. Therapie
6. Zusammenfassung
LYMPHOME
Diagnostik:
• Anamnese (Leistungsknick, B-Symptomatik, Lk-
Schwellung, Alkoholschmerz)
• Körperliche Untersuchung (aller tastbaren Lk-Regionen)
• Labor: BB, Diff.-BB, BSG, CrP, Kreatinin, Harnsäure,
Leberwerte, LDH, E´lyte, ß2-MG, Immunglobuline
• Infektiologische Marker: HIV, Hep.B+C, CMV, EBV
• Apparative Diagnostik:
Sono-Abd. + Rö.-Thorax, bei gesicherter Diagnose:
CT-HWT, -Thorax, -Abdomen/Becken (ausser bei CLL!)
• KMP!: Zytologie, Histologie (=Stanze), FACS-Analyse,
Zytogenetik
LYMPHOME
• Falls noch keine gesicherte Diagnose: Lk-Exstirpation
(am besten kompletten Lk, evt. Diagnosenbestätigung
durch Referenz-Pathologen)
• Evt. gastrointestinale Diagnostik (ÖGD, Coloskopie,
Dünndarm)
=> v.a. MALT und Marginalzonen-Lymphom
• Evt. PET
• Evt. Echo (bei geplanter anthrazyklinhaltiger
Chemotherapie)
• Evt. Lungenfunktion
Lymphome
Durchflußzytometrie (flow cytometry, FACS)
FACS = fluorescence activated cell sorting
Ermöglicht die simultane Messung mehrerer physikalischer
Charakteristika der Zellen:
• Relative Zellgröße
• Granularität bzw. Interne Komplexität
• Relative Fluoreszenzintensität
FACS-Analyse
Ausnutzung von Eigenfluoreszenz (z.B. Eosinophile) und
Färbung mit fluorochrom markierten Antikörpern
FACS-Analyse
Ausnutzung von Eigenfluoreszenz (z.B. Eosinophile) und
Färbung mit fluorochrom markierten Antikörpern
FACS-Analyse
Ausnutzung von Eigenfluoreszenz (z.B. Eosinophile) und
Färbung mit fluorochrom markierten Antikörpern
FACS-Analyse
Hauptkomponenten des FACS:
1.
2.
3.
Flüssigkeitssystem zum Transport der Zellen
Optik: einer oder mehrere Laser, Linse, Spiegel und
Detektoren
Elektronisches System, das Signale (Photonen) in
elektronische Signale umwandelt.
FACS-Analyse
Die Zellen fliessen einzeln
am Laser vorbei und
werden nacheinander
durch den Laserstrahl
getroffen.
FACS-Analyse
Streulicht (Scatter) entsteht,
wenn Partikel einfallendes
Laserlicht beugen
Forward-scatter (FSC)ist
proportional der
Zelloberfläche bzw. Zellgröße
Side-scatter (SSC)entsteht an
Grenzfächen in der Zelle mit
einem geänderten
Brechungsindex
(Zellmembran, Zellkern,
granuläres Material in der
Zelle,.....)
FACS-Analyse
Prinzip:
- einzelne Zelle wir am Laser vorbeigeleitet
- Die Elektronen des Fluoreszenzfarbstoffes werden durch
monochromatischen Laserstrahl auf ein höheres
Energieniveau gehoben
- nach passieren des Lasers „fallen“ die Elektronen wieder
auf ihr ursprüngliches Ernergieniveau zurück und
geben dabei Energie in Form von Photonen ab
- Die Menge der detektierten Photonen verhält sich
proportional zur Menge der Antikörper / Zelle
FACS-Analyse
FACS-Analyse
Die Klassifizierung weiterer Untergruppen, wie z.B. die
Einteilung der Lymphozyten in B-Zellen und T-Zellen
erfolgt über die Analyse der Expression bestimmter
Oberflächenantigene, den sogenannten
CD-Antigenen (CD= cluster of differentiation)
Diese Sub-Klassifizierung erfolgt über die Bindung von
fluoreszenz markierten monoklonalen Antikörper an
spezifische CD-Antigene = Immunphänotypisierung
Antigen B-CLL LPL HCL SMZL MCL FL
CD19 + + + + + +
CD20 +w + + + + +
CD22 +w + + + + +
CD23 + - - -/+ -/w -/+
CD79b -/w + -
sIgM +w ++ + + + +
HLA-DR + + + + + +
CD10 - - - - - +
CD5 + - - - + -
CD11c -/+w -/+w ++ +/- - +
FMC7 -/w -/+ + + +
CD103 - - ++ -/+
CD25 -/+w ++
Typische CD-Konstellationen der peripheren B-Zell-Lymphome:
LPL: M. Waldenström, HCL: Haarzell-Leukämie, SMZL: splenisches
Marginalzonen-Lymphom, MCL: Mantelzell-Lymphom, FL: follikuläres L.
LYMPHOME
1. Epidemiologie / Ätiologie
2. Pathogenese
3. Diagnostik
4. Stadieneinteilung / Prognose
5. Therapie
6. Zusammenfassung
Stadium Nodales Stadium Extranodales Stad.
I Befall einer einzigen Lk-Region Befall 1 Region mit Übergriff auf
extralymph. Gewebe oder lokalisierter
Herd in extralymph. Organ (ausser
Leber: immer Stad.IV)
II Befall von 2 oder mehr
Regionen auf der gleichen Seite
des Zwerchfells
Lokalisierter Befall eines extralymph.
Gewebes + 1 oder mehre Lk-
Regionen auf gleichen Zwerchfellseite
III Befall von Lk-Regionen
beidseits des Zwerchfells
+- Milzbefall
Befall von Lk-Regionen beidseits des
Zwerchfells +- Milzbefall
zusätzlich zu lokal. Befall extralymph.
Gewebes
IV Nichtlokalisierter, diffuser oder
disseminierter Befall eines oder
mehrerer extralymph. Organe
oder Gewebe
Zusatz B bei vorliegen von B-Symptomatik, ansonsten A
Stadieneinteilung:
Nach Ann Arbor (1971) mod. Cotswold
LYMPHOME
LYMPHOME
• Lk-Regionen: dienen der Stadieneinteilung
• Lk-Areale: dienen der Bestimmung der Risikofaktoren
• B-Symptomatik:
Gewichtsverlust : >10% des Ausgangsgewichts in 6
Monaten
Fieber: persistierendes oder wiederholtes Fieber
unklarer Genese > 38°C
Nachtschweiß: (Frage müssen Sie Ihr Nachthemd
wechseln?)
NICHT als B-Symptomatik gelten Juckreiz und
Alkoholschmerz (der v.a. beim Hodgkin hochspezifisch
ist, z.B. in Rezidivdiagnostik nutzbar)
LYMPHOME (Prognose)
NHL (aggressiv): IPI (international prognostic index)
- Alter (>60 Jahre), LDH (erhöht), Stadium (III oder IV),
Extranodalbefall, ECOG ≥ 2 (siehe Anhang)
=> jeweils 1 Punkt
=> 4 Gruppen (Unterschied im 5-Jahres-OS)
0-1 = Niedrig => 73%
2 = Niedrig-interm.=> 50%
3 = Hoch-interm. => 43%
4-5 = Hoch => 26%
=> 2007 Revision: R-IPI (nur 3 Gruppen)
N Engl J Med. 1993;329:987-994
Sehn etal, Blood 2007;109:1857
LYMPHOME
Sehr gute Prognose: kein RF
Gute Prognose: 1-2 RF
Schlechte Prognose: 3-5 RF
A = PFS
B = OS
LYMPHOME
NHL (Follikuläres Lymphom): FLIPI
Alter >60 J, Stadium III/IV, Hb <12 g/dl, LDH erhöht,
>4 befallene Lk-Regionen
FLIPI
1 = low
2 = low interm.
3 = high
Score
0-1
2
≥ 3
5-yOS
90,6 %
77,6 %
52,5 %
10-yOS
70,7 %
50,9 %
32,5 %
“Revision” 2009:
In die Berechnung gehen ein: erhöhtes ß2-MG,
Durchmesser des größten Lymphoms > 6cm, Alter >60
Jahre, KM-Befall und Hb < 12 g/dl
Solal-Celegny etal, Blood 2004,104:1258
Federico etal, JCO 2009;27:4555
Punkte Alter
(Jahre)
ECOG LDH
(Norm)
Leukozyten
/ dl
0 < 50 0-1 < 0,67 < 6,7
1 50-59 0,67-0,99 6,7 – 9,9
2 60-69 2-4 1,0 – 1,49 10 – 14,9
3 ≥ 70 ≥1,5 ≥ 15
LYMPHOME
NHL (Mantelzell-Lmyphom): (s)-MIPI
3 Gruppen: low (0-3 Pnkt.), intermediate (4-5 Pnkt.), high (>5 Pnkt.)
besser bzgl. prognostischem Wert als IPI, da bessere Evaluation der
high-risk-Gruppe (5-JÜR 38%)
Hoster etal, Blood 2008;111:558
Geisler etal, Blood 2009 epub
LYMPHOME
1. Epidemiologie / Ätiologie
2. Pathogenese
3. Diagnostik
4. Stadieneinteilung / Prognose
5. Therapie
6. Zusammenfassung
LYMPHOME
Allgemeines:
CAVE:
Vor Einleitung einer Therapie muss bei jungen Patienten
die Optionen der Kryokonservierung von Spermien /
Eizellen besprochen werden und Zeit dafür eingeräumt
werden (ausser Notfälle, Leukämien)
FertiProtekt (www.fertiprotekt.de)
Vor Beginn einer Rituximab-Therapie sollten die Marker
für Hepatitis B + C bestimmt werden und evt. eine
Hep.B-Prophylaxe mit Lamivudine (bis 6 Monate nach
Rituximab-Therapie)
Antikörper: -monab
-ximab
-zumab
muriner AK
chimärischer AK
humanisierter AK
LYMPHOME
LYMPHOME
Rituximab (MabThera®)
- chimärer monoklonaler IgG1κ-Antikörper gegen CD 20
(CD20: essentiell für die Regulation des Zellzyklus und
der Zelldifferenzierung, auf mehr als 90% der normalen
und malignen B-Zellen vorhanden, fehlt auf nicht-
hämatologischen Zellen)
- “Standarddosierung”: 375 mg/m² alle 1-3 Wochen
- NW: Fieber, Schüttelfrost, allerg. Reaktion, Tumorlyse,
progressive multifokale Leukencephalopathie durch JCV
(sehr selten)
LYMPHOME
- wirkt über mehrer Mechanismen:
Komplement-vermittelte Toxizität
Antikörper-vermittelte Toxizität
Induktion von Apoptose
Blockade von Calcium-Kanälen der Zellmembran
LYMPHOME
LYMPHOME
Diffus großzelliges Lymphom (DLBCL):
- häufigste Entität der B-Zell-Lymphome (ca. 1/3)
- steigende Inzidenz (neben follikulärem Lymphom)
- Männer etwas häufiger als Frauen
- Translokation t(3;14), der(3)(q27))
- RF: Immundefekte (AIDS, Immunsuppression nach
Organ-TX), vorausgegangener M. Hodgkin,
Kanzerogene,
- gesicherter Zus.hang zw. EBV und post-TX-Lymphom
(sog. Posttransplantationslymphoproliferatives Syndrom)
- Prognoseeinschätzung nach IPI
- „Richter“-Syndrom: Transformation eines niedrig-
malignen NHL (z.B. foll.NHL) in ein DLBCL
LYMPHOME
LYMPHOME
- Klinik: Leitsymptom: rasch progrediente, meist
schmerzlose Lk-Vergrößerung
nur bei ca. 20% B-Symptomatik (i.G. zu Hodgkin)
- Ca. 1/3 bereits im Stadium IV, extranodaler Befall ca.
40%
- Therapieentscheidung nach Risikogruppe (IPI), Alter und
Begleiterscheinungen
- Chirurgie: kein Stellenwert, ausser zur Lk-Entnahme
Strahlentherapie : sehr empfindlich, trotzdem kein
sicherer Stellenwert
LYMPHOME
- Zusätzliche Diagnostik: Lumbalpunktion, falls Befall von
Hoden / Sinus paranasales / epidural / > 2 extranodale
Manifestationen, Augenhöhle, HIV
=> weitere RF: LDH ↑, Albumin ↓,< 60 J.,
retroperitoneale Lk, > 1 extranod. Befall (bei ≥4: i.th.)
=> evt. intrathekale Therapie mit MTX (12,5-15 mg)
- Therapie: „Standard“: 6-8 Zyklen R-CHOP-21
(Vincristin, Doxorubicin, Cyclophosphamid, Prednisolon)
± locoregionale Radiotherapie (30-40 Gy)
- R-CHOP-21 vs -14: bisher „Standard“ bei Pat. > 65 J: R-
CHOP-14 (mit G-CSF)
=> ASH 2009 (# 406): kein Unterschied bzgl. DFS,OS
nach 3 Jahren
Hollender etal, AnnOnc 2002;13:1099
Cheung etal, BJH 2005;131:193
NCCN-Guidelines 2010
Delarue etal, ASH 2009, #406
LYMPHOME
• Rezidiv / Progress: z.B.
R-DHAP (Rituximab, Cisplatin, Cytarabin, Dexameth.)
=> Response (CR + PR): 75%
R-ICE (Rituximab, Carboplatin, Etoposid, Ifosfamid)
=> Response: 71%
• Autologe TX, allogene TX
• Evt. „neue“ Medikamente: Lenalidomid
=> Response ca. 35%
Vellenga etal, Blood 2008;111:537
Vose etal, AnnOnc 2003;14:i17
Wiernek etal, JCO 2008;26:4952
LYMPHOME
Follikuläre Lymphome (FL):
- 5-7 / 100.000 Einwohner
- Medianes Erkrankungsalter 55-60 Jahre,
- beide Geschlechter ungefähr gleich häufig
- Charakteristisch: t(14;18)(q21;q21) => in 80-90%
=> Kopplung des BCL-2-Onkogens (Anti-Apoptose Gen)
auf Chr.18 an Immunglobulinpromotor auf Chr.14
=> Überexpression von BCL-2
- Ca. 20% transformieren im Verlauf in ein DLBCL
- Klinik: Lk-Schwellung, Zytopenien (durch KM-Infiltration)
und B-Symptomatik
- Prognoseabschätzung mit Hilfe des FLIPI
- Im Stadium (II)-IV nicht kurierbar
LYMPHOME
- Therapie:
Stadium I und II: Strahlentherapie (kurativer Ansatz)
Stadium III und IV: bei Therapieindikation (Zytopenie,
Bulk, Symptomen, Kompression, Progress)
=> Immunochemotherapie, evt. Radiatio
Rituximab ± CHOP, COP, CVP, Bendamustin,
Fludarabin
=> ASH 2009: Rummel etal: R-Benda besser als R-
CHOP
Rezidiv:
Therapieoptionen analog 1.line, autologe TX
Rituximab-Erhaltung! (besseres PFS und OS)
vanOers etal, Blood 2006;108:3295
Forstpointer, Blood 2006;108:4003
Robinson, JCO 2008;26:4473
Marcus etal, JCO 2008;26:4579
LYMPHOME
MALT-Lymphome des GI-Traktes:
- Ca. 50 % aller extranodal Lymphome sitzen im GI-Trakt,
davon ¾ im Magen
- In der Regel entstanden aus Mukosa assoziiertem
lymphatischen Gewebe (MALT)
- Sowohl niedrig als auch hochmaligne B- und T-NHL
möglich.
- Diagnostik sollte auch Untersuchung auf Helicobacter
pylori, HNO-Arzt, Koloskopie und evt. Dünndarm-
diagnostik beinhalten
- Stadieneinteilung nach modifiziertem Ann-Arbor nach
Musshoff (siehe Anhang)
LYMPHOME
Therapie:
- Sonderstellung: H.p. positive niedrig maligne MALT-
Lymphome im Stadium I => Eradikation (80% rezidivfrei)
aber: funktioniert nicht bei t(11;18), nicht H.p.-abhängig
- Chirurgie hat KEINEN Stellenwert ausser bei
Komplikationen (Blutungen, Perforationen etc.)
- Niedrig maligne Magenlymphome Stadium I und II ohne
H.p. Nachweis: Bestrahlung (extended field)
- Stadium III und IV: systemische Chemotherapie
- Hochmaligne Magenlymphome: Chemotherapie (R-
CHOP),
- Falls möglich: Teilnahme an Studie
LYMPHOME
Hodgkin:
Pathologische Einteilung:
• Klassisches Hodgkin Lymphom
–
–
–
–
Nodulär sklerosierendes HL
Mischtyp
Lymphozytenreiches klassisches HL
Lymphozytenarmes HL
• Noduläres Lymphozytenreiches HL
als Risikofaktoren sind definiert:
- großer Mediastinaltumor (>1/3 d. Thoraxdurchmesser)
- Extranodalbefall
- hohe BSG (>50 mm/h bei A-Sympt., >30 mm/h bei
B-Symptomatik)
- ≥ 3 Lk-Areale
LYMPHOME
•
•
•
•
•
•
•
•
Inzidenz 2-3 / 100.000 Einwohner
Ca. 30 % aller Lymphome
2 Erkrankungsgipfel: 3. Lebensjahrzehnt und > 50 Lj.
Unterschied zw. Industrie- (v.a. Erwachsene) und
Entwicklungsländer (v.a. Kinder)
Klinik: Lk-Schwellung, B-Symptomatik, Alkoholschmerz
Auch in fortgeschrittenen Stadien grundsätzlich heilbar
Heilungswahrscheinlichkeit in frühen Stadien > 90%, in
fortgeschrittenen Stadien ca. 70%
Meist Behandlung im Rahmen der Deutschen Hodgkin-
Studiengruppe Köln (www.ghsg.org)
=> aktuell: Testung der Rolle des PET-CT
Lymphome
„Standardtherapie“ bei Morbus Hodgkin in
Deutschland (Studiengruppe Köln)
• Stadium I/II mit günstiger Prognose:
ABVD 2-4x + IFRT 30 Gy
Einzelfälle: ABVD x 6
Mantelfeld RT
• Stadium I/II mit intermediärer Prognose
ABVD x 4 + IFRT 30 Gy
• Stadium III/IV
elderly
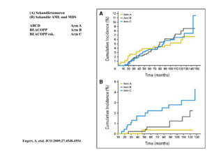
BEACOPP esk x 8
ABVD 6-8
„Best response“ + 2
Rezidive nach Morbus Hodgkin EBMT Studie
Schmitz et al, Lancet 2002;359:2065
Engert, A. etal. JCO 2009;27:4548-4554
(A) Sekundärtumoren
(B) Sekundär AML und MDS
ABCD
BEACOPP
BEACOPP esk.
Arm A
Arm B
Arm C
Lymphome
Haarzell-Leukämie
• Selten
• Klinik Hepatosplenomegalie
Knochenmarkinsuff.
• Pos. für CD11c, CD25,
CD103
• Normale Lebenserwartung
• Therapie mit
2-CdA (Cladribine)
Pantostatin
Rituximab
IFN alpha
LYMPHOME
1. Epidemiologie / Ätiologie
2. Pathogenese
3. Diagnostik
4. Stadieneinteilung / Prognose
5. Therapie
6. Zusammenfassung
LYMPHOME
• Lymphome stellen eine sehr heterogene
Krankheitsentität dar
• Diagnostik: wegweisend sind Lk-Histologie und FACS
• Prognosemodelle: stehen mit IPI, FLIPI und s-MIPI zur
Verfügung
• Therapie: Stadieneinteilung entscheidend
• Rituximab stellt wichtigen Meilenstein in der Therapie
der Lymphome dar (Hodgkin wird aktuell geprüft)
• Häufig Kombination aus Chemotherapie und
Strahlentherapie
• Im Rezidiv: Autologe TX , evt. allogen
LYMPHOME
Vielen Dank
LYMPHOME
ANHANG
Stadieneinteilung nach Musshoff (MALT-Lymphome)
Responskritereien
ECOG-Skala
Anhang (Stadieneinteilung der Magenlymphome nach Musshoff)
I1 Uni- oder multilokuläres Magenlymphom, beschränkt auf Mukosa und
Submukosa ohne Lk-Beteiligung
I2 Uni- oder multilokuläres Magenlymphom mit Infiltration in M.propria,
Subserosa oder Infiltration in per contin. In Nachbarorgan, keine LK
II1 Uni- oder multilokuläres Magenlymphom einschl. regionale Lk
II2 Uni- oder multilokuläres Magenlymphom mit Lk-Befall über reg- Lk hinaus
unter Einschluss weiterer Organbefall unterhalb d. Zwerchfells
III Uni- oder multilokuläres Magenlymphom mit Lk-Befall über reg- Lk hinaus
unter Einschluss weiterer Organbefall auch oberhalb d. Zwerchfells
IV Uni- oder multilokuläres Magenlymphom mit oder ohne Befall benachbarter
Lk und diffusem oder disseminiertem Befall eines / mehreren extragstralen
Organe
Response-Kriterien nach Cheson etal, JCO 2007;25:579
New or recurrent
involvement
>50% increase from
nadir in the SPD of
any previous lesions
Appearance of a new lesion(s) >
1.5 cm in any axis, 50% increase
in SPD of more than one node, or
50% increase in longest diameter
of a previously identifed node > 1
cm in short axis
Any new lesion
or increase by
50% of
previously
involved sites
from nadir
Rezidiv
/P
(a) PET positive prior to therapy;
PET positive at prior sites of
disease and no new sites on CT or
PET(b) Variably FDG-avid or PET
negative; no change in size of
previous lesions on CT
Failure to attain
CR/PR or PD
SD
Irrelevant if
positive prior to
therapy; cell type
should be
specified
≥50% decrease in
SPD of nodules (for
single nodule in
greatest transverse
diameter); no
increase in size of
liver or spleen
>50% decrease in SPD of up to 6
largest dominant masses; no
increase in size of other nodes (a)
FDG-avid or PET positive prior to
therapy; one or more PET positive
at previously involved site (b)
Variably FDG-avid or PET
negative; regression on CT
Regression of
measuable
disease and no
new sites
PR
immunohistoche
mistry should be
negative
negative; regression to normal size
on CT
Bone Marrow
Infiltrate cleared
on repeat biopsy;
if indeterminate
by morphology,
Spleen Liver
Not palpable,
nodules disappeared
Nodal Masses
(a) FDG-avid or PET positive prior
to therapy; mass of any size
permitted if PET negative (b)
Variably FDG-avid or PET
Definition
Disappearance
of all evidence
of disease
Response
CR
LYMPHOME
ECOG-Skala: (Eastern Cooperative Oncology group)
ECOG 0 = Normale Leistungsfähigkeit
ECOG 1 = ambulante Betreuung, leichte Arbeiten möglich
ECOG 2 = < 50% bettlägerig, selbstversorgend, keine
Arbeit möglich
ECOG 3 = > 50% bettlägerig, begrenzte Selbstversorgung
ECOG 4 = ständig bettlägerig
CLL
Intensivkurs Innere Medizin 2010
RBK
M. Vöhringer
CLL
Inzidenz 3-4 / 100.000
CLL
Fallbeispiel:
30-jähriger Mann wird vom HA wegen anhaltender
Leukozytose von 15-17 G/l geschickt.
Was wollen Sie wissen ??
- Anamnese => Infekt ?, Med.?, Raucher ?
sonstige B-Symptomatik ?
Leistungsknick
- Diff.Blutbild ?
CLL
Diff.-BB des Patienten:
Wert Normwert
Neutrophile
Lymphozyten
Monozyten
Basophile
Eosinophile
61 %
30 %
8%
0,5 %
0,5 %
36-68 %
18-51 %
3-14 %
0-0,9 %
0-7 %
Patient hat dieses Diff.-BB und raucht ca. 20 Zigaretten pro
Tag. Keine B-Symptomatik
Welche Krankheit hat der Patient ??
CLL
60 Jähriger Patient:
Diff.-BB des Patienten:
Wert
Neutrophile 40 %
Lymphozyten 51 %
Monozyten 8 %
Basophile 0,5 %
Eosinophile 0,5 %
Normwert
36-68 %
18-51 %
3-14 %
0-0,9 %
0-7 %
Patient hat dieses Diff.-BB und raucht ca. 20 Zigaretten pro
Tag. Keine B-Symptomatik
Welche Krankheit hat der Patient ??
CLL
60 Jähriger Patient:
Diff.-BB des Patienten:
Wert
Neutrophile 40 %
Lymphozyten 51 %
Monozyten 8 %
Basophile 0,5 %
Eosinophile 0,5 %
Normwert
36-68 %
18-51 %
3-14 %
0-0,9 %
0-7 %
Patient hat dieses Diff.-BB und raucht ca. 20 Zigaretten pro
Tag. Keine B-Symptomatik
Welche Krankheit hat der Patient ??
CLL
Definition der CLL (WHO 2001):
- Leukämisches lymphozytisches Lymphom der B-Zell-
Reihe (die früher als T-CLL definierte Erkrankung wird
heute als T-Zell-prolymphozytische Leukämie
bezeichnet)
- Entscheidend ist die Sicherung der CLL als Abgrenzung
zu anderen lymphoproliferativen Erkrankungen, die sich
als CLL „maskieren“, wie z.B. Haarzell-Leukämie,
leukämische Variante des Marginalzonen-Lmyphoms,
Splenisches Marginalzonen-Lmyphom oder follikuläres
Lmyphom.
Müller-Hermelink etal, IARC Press 2001
Hallek etal, Blood 2008;111:5446-56
CLL
Vorgehen bei V.a. CLL:
1. Diagnosesicherung
2. Stadieneinteilung
3. Therapie(entscheidung)
4. Prognoseparameter
CLL
Vorgehen bei V.a. CLL:
1. Diagnosesicherung :
BB und Diff.-BB
FACS-Analyse
CLL
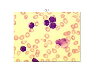
BLUT:
• Lymphozytose: ≥ 5000 Lymphozyten / µl im peripheren
Blut über mindestens 3 Monate !
• Blutausstrich: kleine, reife Lymphozyten, schmales
Zytoplasma, dichtes Kernchromatin sowie Vorkommen
von Gumprecht´schen Kernschatten.
CLL
CLL
• Klonalität der B-Lymphozyten muss durch eine FACS-
Analyse gesichert sein
CAVE: bei Klonalitätsnachweis aber fehlender Lk-
Vergrößerung, keine B-Symptomatik und Lymphozyten
<5 G/l: Monoklonale B-Lymphozytose (Übergang in eine
CLL in 1,1% / Jahr)
Rawstron etal, NEJM 2008;359:575-83
• FACS: Expression der B-Zell-Marker CD 19, CD 20, CD
23 sowie Co-Expression des T-Zell-Markers CD 5 sowie
Klonalitätsnachweis durch Expression von Leichtketten
(Kappa oder Lamda)
=> die Expression kann unterschiedlich stark ausgeprägt
sein
Antigen B-CLL LPL HCL SMZL MCL FL
CD19 + + + + + +
CD20 +w + + + + +
CD22 +w + + + + +
CD23 + - - -/+ -/w -/+
CD79b -/w + -
sIgM +w ++ + + + +
HLA-DR + + + + + +
CD10 - - - - - +
CD5 + - - - + -
CD11c -/+w -/+w ++ +/- - +
FMC7 -/w -/+ + + +
CD103 - - ++ -/+
CD25 -/+w ++
Typische CD-Konstellationen der peripheren B-Zell-Lymphome:
LPL: M. Waldenström, HCL: Haarzell-Leukämie, SMZL: splenisches
Marginalzonen-Lymphom, MCL: Mantelzell-Lymphom, FL: follikuläres L.
CLL
Vorgehen bei V.a. CLL:
1.
2.
Diagnosesicherung:
BB und Diff.-BB
FACS-Analyse
Stadieneinteilung:
Anamnese (B-Symptomatik)
Körperliche Untersuchung:
Lk-Status! (70-80%),
Splenomegalie (70-80%),
CAVE: Splenomegalie ohne Lk-Vergrößerung: an
andere NHL denken!!!
Hepatomegalie (45-75%)
Rö-Thorax
Stadium Definition Med. Überleben
A
(ca. 60%)
Hb > 10 g/dl und
Thrombozytenzahl normal und
< 3 vergrößerte Lk-Regionen
B
(ca. 30 %)
Hb > 10 g/dl und
Thrombozytenzahl normal und
≥ 3 vergrößerte Lk-Regionen
C
(ca. 10%)
Hb < 10 g/dl und / oder
Thrombozytenzahl < 100 G/l
(unabhängig von befallenen Lk-
Regionen)
CLL
Nach wie vor gelten die 2 bekannten Staging-Systeme:
RAI (1975) und Binet (1981)
LYMPHOME
CLL
CAVE: Definition der Lk-Regionen :
1. Halsbereich, einschl. Waldeyer´scher
Rachenring (gilt als eine Region! Auch
wenn beide Seiten befallen sind)
2.
3.
4.
5.
Axilla (der beidseitige Befall gilt auch nur als
1 Region)
Leisten, einschl. femoralis-Lk (auch hier gilt
bds. Befall als eine Region
Splenomegalie (tastbar)
Hepatomegalie (tastbar)
Stadium Definition Med. Überleben
A
(ca. 60%)
Hb > 10 g/dl und
Thrombozytenzahl normal und
< 3 vergrößerte Lk-Regionen
> 10 Jahre
B
(ca. 30 %)
Hb > 10 g/dl und
Thrombozytenzahl normal und
≥ 3 vergrößerte Lk-Regionen
ca. 7 Jahre
C
(ca. 10%)
Hb < 10 g/dl und / oder
Thrombozytenzahl < 100 G/l
(unabhängig von befallenen Lk-
Regionen)
1,5-2,5 Jahre
CLL
Nach wie vor gelten die 2 bekannten Staging-Systeme:
RAI (1975) und Binet (1981)
CLL
Vorgehen bei V.a. CLL:
1.
2.
3.
Diagnosesicherung:
BB und Diff.-BB
FACS-Analyse
Stadieneinteilung:
Therapie(entscheidung)
CLL
Indikation zur Behandlung einer CLL:
die Indikationen sind allgemeine Richtlinien und gelten
NICHT für Patienten, die im Rahmen einer Studie
behandelt werden (z.B. CLL-Studiengruppe Köln, Prof.
Hallek)
Stadium A: keine Behandlung , regelmäßige Kontrolle
=> Studien haben bisher keine Verbesserung der
Prognose durch frühzeitigen Einsatz von Alkylantien
zeigen können.
=> Ausnahme: symptomatische Patienten: (z.B. Fatigue,
B-Symptomatik) oder im Rahmen einer Studie
Dighiero etal, NEJM 1998;338:1506-14
Shustik etal; HematolOncol 1988;6:7-12
Montserrat etal, Leuk Lymphoma 1991;5:89-92
CLL
Stadium A:
Stadium B:
Stadium C:
keine Behandlung, regelmäßige Kontrolle
Therapie möglich, evt. watch-and-wait zur
Beurteilung der Krankheitsaktivität
Beginn bei dokumentiertem Progress oder
Symptomatik
Indikation für Behandlung
CAVE: eine Leukozytose (auch > 100 G/l) stellt per se
KEINE Behandlungsindikation dar !!
(rheologische Probleme (Hyperviskositätssyndrom) sind
i.G. zur AML selten)
CLL
Parameter für eine Krankheitsaktivität: (mind. 1)
- Knochenmarkinsuff. (Auftreten oder Verschlechterung
von Anämie / Thrombopenie)
- Massive (>6 cm unter dem RiBo) oder progrediente oder
symptomatische Splenomegalie
- Massive (>10 cm) oder progrediente oder symptomat.
Lymphadenopathie
- Progrediente Lymphozytose: >50 % in 2 Monaten oder
Lymphozytenverdopplungszeit < 6 Monate
- Autoimmun-Anämie oder –Thrombopenie, die schlecht
auf Steroide anspricht
- B-Symptomatik (einschl. Fatigue)
Binet-Stadium Fitness First-line Therapie
Asympt. A + B irrelevant Keine
Symptomat. A + B
oder C
Go go
Slow go
RF / RFC / FC / R-Benda
Chlorambucil oder F
Rezidiv Fitness First-line Therapie
Früh < 1 Jahr Go go
Slow go
Alemtuzumab / Alemt.-FC
/ Allo-TX
Alemt. (17p-), R-Benda
Spät (>1 J. bzw. 2 J.
n. Chemoimmunth.)
Go go
Slow go
Wiederholung der
Erstlinientherapie
CLL
Behandlungsschema (nach Prof. Hallek):
CLL
Vorgehen bei V.a. CLL:
1.
2.
3.
Diagnosesicherung:
BB und Diff.-BB
FACS-Analyse
Stadieneinteilung :
Therapie(entscheidung):
Sono-Abdomen, -Lk-Stationen
Infektionsstatus (HIV, CMV-Status, Hep.B+C)
Coombs-Test, Krea, Hrs, LDH, Leberwerte,
Immunglobuline, ß2-MG
Mögliche zusätzliche Test (Prognose,
Studien): Zytogenetik
IgVH-Mut., ZAP-70, CD38, Thymidinkinase,
(CT, KMP),
CLL
Therapie:
3 mögliche Therapieoptionen:
- watch and wait
- Chemo(immun)therapie
- Hochdosistherapie (als evt. kurativer Ansatz)
Die Abwägung hängt von folgenden Faktoren ab:
- Alter und Komorbiditäten
- Stadium
- Krankheitsaktivität (Progression, Prognosefaktoren)
CLL
Weitere Prognosefaktoren :
Als unabhängige, ungünstige Faktoren für das
progressionsfreie Überleben im Stadium Binet A haben
sich etabliert:
- Thymidinkinase > 10 U/l
- Lymphozytenverdopplungszeit < 12 Monate
- unmutiertes IgVH
- Aberrationen 17p- und 11q-
CLL
Bei ca. 80% der Patienten finden sich zytogenetische
Veränderungen (meist detektierbar durch FISH):
CAVE: Genetische Veränderungen können auch unter
Therapie / Erkrankung auftreten !!
Normaler Karyotyp: med. ÜZ: 15 Jahre
(i.G. zu klonalen Aberrationen: 7,7 Jahre)
Del.13q14: med. ÜZ: 133 Monate (ca. 50-60%)
Del.11q22-q23 med. ÜZ: 79 Monate (ca. 10-30%)
Trisomie 12 med. ÜZ: 114 Monate (ca. 11-20 %)
Del.17p13 med. ÜZ: 32 Monate (ca. 5-10%)
Deletion 6q med. ÜZ: 131 Monate (ca. 5%)
(größte Tumormassen)
Montserrat etal, Baillieres Clin Haematol 1993
Byrd etal, Hematology 2004
(Hallek etal, AnnOnc 2008)
CLL
17p-Deletion:
- schlechtes Ansprechen auf Fludarabin
- Alemtuzumab (2.line): Response: 33-53%,
=> möglichst Alemtuzumab als 1.line bei 17p-
Döhner etal, Blood 1995;85:1580
Grever etal, JCO 2007;25:799
Hallek etal, AnnOnc 2008;19 (S4):iv51
Stilgenbauer etal, JCO 2009;27:3994
CLL
Chlorambucil (Leukeran®):
- Bereits in den 70er eingesetzt
- Orales Chemotherapeutikum
- Dosierung: 0,4 mg/kgKG (Idealgewicht!! = Größe-100)
alle 14 Tage, Steigerung alle 14 Tage um 0,1 mg bis
maximal 0,8 mg/kgKG möglich
- Dauer: bis maximales Ansprechen (i.d. 8-12 Mo)
- Früher häufig kombiniert mit Prednisolon (“Knospe-
Schema”) => aber kein belegter Nutzen
- Ansprechen: 30-70%, allerdings nur ca. 3% CR
- Gehäuft sek. Neoplasien (v.a. AML)
Sawatzky etal, Blood 1977;50:1049
CLL
Fludarabin:
- Seit den 80er Jahren eingesetztes Purinanalogon
- Als Einzelsubstanz: 25 mg/m² d1-5, alle 4-6 Wo
- Ansprechen: 70-80% (CR in 23-37%) bei unbehandelten
und 13-67% (CR 0-37%) bei vorbehandelten Pat.
- NW: Myelosuppression, Neutropenie, Lymphopenie
=> erhöhte Gefahr für Infekte (PJP, Listeriose etc.)
=> keine generelle Empfehlung für G-CSF
- CAVE: Tumorlyse-Syndrom möglich (selten) sowie
Autoimmunzytopenie (ca. 5%)
=> klinisch wichtig: durch Fludarabin getriggerte
Autoimmunhämolyse (AIHA)
=> Coombs-Test positiv => möglichst keine Fludarabin-
Gabe
CLL
Fludarabin-Kombination :
- Fludarabin + Cyclophosphamid:
30 mg/m² d1-3 + 250 mg/m² d1-3, q28
=> Ansprechen: ca. 90-95% (CR 24%)
=> längeres PFS, bisher kein sign. OS
- Fludarabin + Cyclophosphamid + Mitoxantron
=> Ansprechen: CR 50% (2. Linie, Phase 2-Studie)
- Fludarabin + Cyclophosphamid + Rituximab
Ansprechen: > 90%, CR bis 70% !
Eichhorst etal, Blood 2006;107:885
Bosch etal, Br J Hematol 2002;119:976
Knauf etal, JCO 2009, 27:4378
CLL
Bendamustin:
- Alkylans mit Eigenschaft eines Antimetabolit
- 70-100 mg/m², d1,2, q28
- Ansprechen: 28-82%, CR: 9-42%
CLL
Alemtuzumab (MabCampath®):
- Humanisierter IgG1-Ak gegen CD52 (befindet sich zu
95% auf allen Lymphozyten / Monozyten, Funktion des
CD52 noch unklar)
- Gabe: 3 / 10 / 30 mg i.v., dann 3 x 30 mg / Woche
- NW-Rate durch s.c. Gabe deutlich vermindert
- NW: gehäufte opportunistische Infekte gehäuft virale
Infekte
=> Prophylaxe mit Cotrim und Aciclovir, Fluconazol, AB
=> wöchentliche Messung von CMV (mittels PCR)
- Ansprechen: 87 % als first line (CR 19%) und ca. 33%
bei vorbehandelten Patienten
Lozanski etal, Blood 2004;103:3278
Lundin etal, Blood 2002;100, 768
CLL
Autologe Transplantation:
- Aktuell kein gesicherter Platz im therapeutischen
Spektrum
=> nur im Rahmen von klinischen Studien
Allogene Transplantation:
- Enscheidend GvL-Effekt
- Bessere TRM (transplantationsbedingte Mortalität) durch
RIC (reduziertes Konditionierungsschema): < 20%
- Einziges potentiell kuratives Konzept
- OS nach 2 Jahren 50-75%
- Nur bei jungen fitten Patienten sinnvoll
CLL
Risiko für ein Zweitcarcinom:
• Mehr als doppelt (2,2-fach) so hohes Risiko i. Vergleich
zur Normalbevölkerung.
RF: hohes Alter, Männer, hohes ß2-MG, erhöhte LDH,
erhöhtes Krea
• V.a. Haut (30%), Melanom (8%), Prostata (13%),
Mamma-Ca (9%), Lymphome (8%)
Tsimberidou etal, JCO 2009;27:904
CLL
Zusammenfassung :
- Diagnose: BB, Diff-BB und FACS-Analyse meist
ausreichend
- Stadium A: keine Behandlungsindikation
- Stadium C: Therapie in Abhängigkeit des Zustandes des
Patienten (go go oder slow go)
- Antikörper haben inzwischen einen festen Stellenwert in
der Behandlung der CLL
- Zytogenetik erlaubt genauere Prognosestellung und
auch evt. Vorhersage des Therapieansprechens
(17p- => schlechtes Ansprechen auf Fludarabin)
- Bei jungen, fitten Patienten kann eine allogene
Transplantation (im Rezidiv !!) als möglicher kurativer
Ansatz überlegt werden
FRAGEN ??
Multiples Myelom
Intensivkurs Innere Medizin 2010
RBK
M. Vöhringer
Multiples Myelom
1.
2.
3.
4.
5.
Definition / Pathogenes (kurz)
Diagnostik
Stadieneinteilung / Prognose
Therapie
Zusammenfassung
Multiples Myelom
-
-
-
Inzidenz 3-5 / 100.000 Einwohner
> 60 Lj. 8 / 100.000 Einwohner
Männer : Frauen = 3 : 2
Risikofaktoren: nicht sicher geklärt:
ionisierende Strahlen
chronische Antigenexposition, Viren
Chemikalien
Multiples Myelom
Definition:
Lymphatische B-Zell-Neoplasie mit diffuser
oder multilokulärer Infiltration des
Knochenmarks durch
klonale Plasmazellen,
Osteolysen,
Insuffizienz der Hämatopoese
(führend: Anämie),
Nierenfunktionsbeeinträchtigung,
Hyperkalziämie.
LYMPHOME
Multiples Myelom
Pathogenese
Multiples Myelom
1.
2.
3.
4.
5.
Definition / Pathogenes (kurz)
Diagnostik
Stadieneinteilung / Prognose
Therapie
Zusammenfassung
Multiples Myelom
• Labor: BB, Diff.-BB, E´lyte, Ca2+, Kreatinin, Serum-
Elektrophorese, IgG, IgM, IgA, Leichtketten i.S.,
Albumin, ß2-MG, LDH, CrP
• Urin: auf Bence-Jones (Urin-Elektrophorese) und evt.
quantitativ Eiweiß i.24h-Urin
• KMP: mit Zytologie, Histologie (Stanze), Zytogenetik
• Röntgen: früher nach dem „Pariser Schema“, heute
besser: CT (Plasmozytom-Programm) oder MRT
=> bessere Detektion von Osteolysen und
Weichteilbefall durch das MM
• Bauchfettaspiration zum Ausschluss Amyloidose
Lütje etal Ann Hematol (2009) 88:1161–1168
Multiples Myelom
Diagnose eines (symptomatischen) Myeloms ist sicher,
wenn:
• > 10 % Plasmazellen im Knochenmark (asekretorisches
Myelom: >30%) und/oder histologischer Nachweis eines
Plasmozytoms und
• Nachweis eines monoklonales Proteins (Urin oder
Serum) und
• Endorganschaden (siehe Therapieindikation)
Davon abzugrenzen ist die Monoklonale Gammopathie
unklarer Signifikanz (MGUS) und das asymptomatische
(oder smoldering) Myelom (entspricht etwa Stadium I
nach Durie u. Salmon)
International Myeloma Working Group 2003
MGUS (55%)
Smoldering Myeloma (3%)
Lymphoprolif. Diseases (3%)
Others (5%)
Monoklonale Gammopathien
M.Waldenström (2%)
Solitary Plasmacytoma (2%)
Amyloidosis AL (12%)
Multiple Myeloma (18%)
n= 882
Adapted from Kyle RA, 1997
Multiples Myelom
MGUS
Monoklonales Paraprotein im Serum und/oder Urin aber
• Konzentration niedrig (IgG < 30 g/l, IgA < 20 g/l, Bence-
Jones-Protein < 1 g/24h)
• keine Osteolysen, keine Endorganschäden (CRAB)
• Plasmazellzahl im Knochenmark < 10%
• Kein Hinweis auf andere monoklonale Erkrankung (z.B.
M. Waldenström)
Übergang in ein MM: 1% / Jahr
=> Daher regelmäßige Kontrollen (alle 3 Monate)
erforderlich
Bladé, NEJM 2006, 355, 2765
Landgren etal, Blood 2009;113:5412
Kyle etal, Leukemia 2009;23:3
Multiples Myelom
Behandlungsindikation des Myeloms (CRAB):
(nach der International Myeloma Working Group)
C
R
A
B
= Calcium-Anstieg > 2,75 mmol/l
= Renal: Kreatinin > 2 mg/dl
= Anämie: Hb < 10 g/dl oder Abfall um 2 g/dl
= Bone lesions: Osteolysen oder Osteoporose mit
Frakturen
weitere Kriterien: Amyloidose,
Hyperviskosität,
wiederholte Infekte (> 2/Jahr)
International Myeloma working group, Br J Hem 2003;121:749
Multiples Myelom
1.
2.
3.
4.
5.
Definition / Pathogenes (kurz)
Diagnostik
Stadieneinteilung / Prognose
Therapie
Zusammenfassung
Multiples Myelom
Stadieneinteilung nach Durie und Salmon: Durie etal, Cancer 1975
- spielt nur noch untergeordnete Rolle
Stadium I :
(alle
Kriterien)
Hb > 10 g/dl
Calcium im Normbereich
max. 1 solitärer ossärer Herd
Paraproteine: IgG < 5 g/dl, IgA < 3 g/dl
Bence Jones-Proteinurie < 4 g / 24h
Stadium II : weder I noch III
Stadium III : Hb < 8,5 g/dl
(mind. 1
Kriterium)
Calcium erhöht
multiple Osteolysen
IgG > 7 g/dl, IgA > 5 g/dl
Bence-Jones-Proteinurie > 12 g / 24h
Zusatz A bei Kreatinin < 2 mg/dl
Zusatz B bei Kreatinin > 2 mg/dl
Multiples Myelom
„neuer“: ISS (International Staging System)
Albumin ß2-MG Mittl. OS
Stadium
Stadium
Stadium
I
II
III
> 3,5 g/dl < 3,5 mg/l
weder I noch III
> 5,5 mg/l
62 Mo
44 Mo
29 Mo
ABER: erstellt VOR Einsatz von Lenalidomid /
Bortezomib / Thalidomid
ß2-MG kann auch bei Niereninsuffizienz erhöht sein
Zur weiteren / besseren Risikoeinschätzung sollten
zytogenetische Untersuchungen durchgeführt werden
Greipp etal, JCO 2005;23:3412
Rajkumar etal, Leukemia 2009
Multiples Myelom
High-Risk (25%)
FISH:
• Del 17p-
• t(4;14)
• t(14;16)
Standard-Risk (75%) **
Alle anderen, inkl.:
Hyperdiploid
t(11;14)
t(6;14)
Zytogenetik:
• Deletion 13
• Hypodiploidität
PCLI >3%
Schlechtes Ansprechen auf die Primärtherapie
**Low risk mit β-2 microglobulin > 5.5 (ohne Niereninsuffizienz) oder LDH >obere Norm
haben wahrscheinlich ein höheres Risiko.
PCLI = plasma cell labeling index = Proliferationsrate monoklonaler Plasmazellen
Multiples Myelom
1.
2.
3.
4.
5.
Definition / Pathogenes (kurz)
Diagnostik
Stadieneinteilung / Prognose
Therapie
Zusammenfassung
Multiples Myelom
„State of the art“ bis Ende 2007 (Kongress ASH)
Bis 65 (-75) Jahre „transplantabel“
• Induktionschemotherapie meist mit VAD (Vincristin,
Adriamycin, Dexamethason)
Ansprechraten: 50-80%, CR ca. 8-10%
• Autologe Stammzelltransplantation
Ansprechraten: >80%, CR ca. 40-50%
Überleben: 54-72 Monate bzw. ca. 50% nach 5 Jahren,
• Wenn kein sehr gutes Ansprechen (VGPR) :
zweite autologe Stammzelltransplantation
Attal, et al N Engl J Med 1996;335:91-7,
Child et al N Engl J Med 2003;348:1875-1883
Palumbo Blood 2004;104:3052–3057
Attal et al,
N Engl J Med
2003;349:2495-2502
Multiples Myelom
Über 65 (-75) Jahre, „nicht transplantabel“
Palliative Chemotherapie:
Melphalan-Prednisolon (MP)
Dexamethason-Stoß-Therapie
evt. VAD
=> Ansprechraten: 40-60%, CR ca. 5 %
Rezidivfreies Überleben ca. 18 Monate
Gesamtüberleben: ca. 30 Monate
Alexanian et al, Journal of the American Medical Association,1969:208;1680-7
Alexanian et al, Annals of Internal Medicine,1989:105;8–11
Myeloma Trialists’ Collaborative Group, JCO,1998:16, 3832–3842
Hernandez et al, British Journal of Haematology, 2004:127,159–164
Multiples Myelom
„Neue“ Medikamente zur Behandlung des MM:
IMiDS (Immunmodulatoren)
Downregulation von Interleukin-6, nuclear factor κ-B und
aktiviert Caspase 8 in vitro
Thalidomid, Lenalidomid (Revlimid®)
Proteasominhibitor
induziert Apoptose, blockiert Zytokine, Zelladhäsion
Bortezomib (Velcade®)
Multiples Myelom
• Thalidomid:
orale Applikation, Dosis 50-400 mg tgl.
NW: ZNS (25%), Gastrointest. (16%), Neurol. (9%)
TVT bei 2-5% der Patienten => Antikoagulation
Abgabe nur auf „T-Rezept“
Teratogen (Contergan®) !!!!! Pat. müssen aufgeklärt
werden, auch Männer !!!
• Lenalidomid (Revlimid®):
Thalidomid-Analogon, ebenfalls orale Applikation
Mehr Anti-Myelom-Aktivität
Günstigeres Nebenwirkungsprofil, aber mehr
Myelosuppression
Thromboseprophylaxe!
Verordnung auf „T-Rezept“
Teratogen (siehe oben)
Multiples Myelom
• Bortezomib (Velcade®): •
•
•
•
Proteasomen : Enzymkomplexe, die markierte
intrazelluläre Proteine kontrolliert abbauen.
Bestimmte Signalproteine können damit zu
einer bestimmten Zeit an einem bestimmten Ort
wirken bzw. Inaktiviert werden.
Bortezomib
– Hemmung der Proteasomen
– Verhindert den intrazellulären
Proteinabbau
– Vielzahl von Signalkaskaden in der
Krebszelle unterbrochen
Ergebnis der Proteasom-Inhibition
– Hemmung des Tumorwachstums
– Hemmung der Angiogenese
– Hemmung der Interaktion mit
Stromazellen
– Apoptose der Krebszellen
Tox.: Thrombopenie, Neutropenie, rev.
Neuropathie, gehäuft Herpes zoster
Multiples Myelom
Was hat sich geändert:
Patienten > 65 Jahre:
MP + Thalidomid oder Bortezomib
autologe Transplantation nur bei gutem AZ oder Rezidiv
Facon etal, Lancet, 370:1209
MP vs MPT vs autologe Tx (Melphalan 100mg/m²)
Multiples Myelom
VISTA-Studie: San Miguel etal, NEJM 2008;359;906
Bortezomib + MP vs MP bei Patienten > 65 J
Multiples Myelom
Patienten < 65 Jahre:
nach wie vor ist die (Doppel)hochdosistherapie Standard
geändert hat sich die Induktionstherapie
=> bisher kein eindeutiger Standard
=> DSMM XI-Studie: 3 Zyklen Bortezomib,
Cyclophosphamid und Dexamethason
=> ORR 84%, CR 12,5%
=> auch besseres outcome nach autologer TX
aber auch Induktionsschemata mit Lenalidomid und
Thalidomid
Erhaltungstherapie (über 12 Monate) nach autologer Tx
mit Thalidomid + Prednisolon verlängert 3-Jahres OS
von 75 auf 83%
Spencer etal, JCO 2009;27: 1788
Multiples Myelom
Allogene Transplantation:
- bei jungen fitten Patienten eine Option
- durch dosisreduzierte Konditionierung vor
Transplantation konnte die transplantations-
assoziierte Mortalität unter 20 % gesenkt werden.
- Einzige potentiell kurative Option
- Als first line nach Autologer TX nur im Rahmen von
Studien
- bisher KEIN Standard aber bei Hochrisiko-Patienten
immer prüfen, ob evt. als Option möglich
- Auto-Allo ist 2 x autologer TX überlegen
Bruno etal, NEJM 2007;356:1110
Bensinger etal; JCO 2006;26:480
Kröger etal; Leukemia 2007;21:1851
Multiples Myelom
1.
2.
3.
4.
5.
Definition / Pathogenes (kurz)
Diagnostik
Stadieneinteilung / Prognose
Therapie
Zusammenfassung
Multiples Myelom
ZUSAMMENFASSUNG:
Patienten >65 Jahre bzw. ungeeignet für eine autologe TX:
MP + neue Substanz (Thalidomid / Lenalidomid /
Bortezomib) oder
Neue Substanz ± Dexamethason
multiple Applikation von hochdosiertem Dexamethason
ist mit erhöhter Mortalität verbunden
=> Lenalidomid + Dexa nur noch mit 40 mg Dexa/Woche
Rajkumar etal, Blood 2007
Multiples Myelom
Patienten <65 Jahre:
Autologe Doppelhochdosis-Transplantation ist noch
Standard (verlängert PFS und OS)
Unklar ist die optimale Induktionstherapie
=> mindestens ein neues Medikament, evt. auch
Kombination von 2
Allogene Transplantation als kurative Option
=> sollte nur im Rahmen von randomisierten Studien
erfolgen (Hochrisikopatienten)
Nach Transplantation Erhaltungstherapie über 1 Jahr mit
Thalidomid
VIELEN DANK
Remissionskriterien

44b Leukämie. Lymphome. Maligne Lymphome.Facs Analyse

  • 1.
  • 2.
    LYMPHOME 1. Epidemiologie /Ätiologie 2. Pathogenese 3. Diagnostik 4. Stadieneinteilung / Prognose 5. Therapie 6. Zusammenfassung
  • 3.
    LYMPHOME 1. Epidemiologie /Ätiologie 2. Pathogenese 3. Diagnostik 4. Stadieneinteilung / Prognose 5. Therapie 6. Zusammenfassung
  • 4.
  • 5.
  • 6.
    Lokalisation Männer Frauen Prostata58.560 Mamma 57.230 Darm 37.250 36.000 Lunge 32.850 13.190 Harnblase 21.410 7.340 Magen 11.000 7.780 Uterus 11.700 Niere / Harnwege 10.750 6.500 NHL 6.780 6.070 Lymphome (Epidemiologie) Neuerkrankungen in absoluten Zahlen für das Jahr 2004 (Quelle RKI: www.rki.de)
  • 7.
    LYMPHOME Def.: primäre Neoplasiendes lymphatischen Gewebes => Einteilung nach WHO (2001, Revision 2008), davor nach der Kiel-Klassifikation => 3 große Gruppen: B-Zell-Neoplasie, T / NK-Zell- Neoplasie und Hodgkin-Lymphom => die ersteren werden weiter unterschieden in peripher- reifzellige und die Vorläuferneoplasien (entsprechend den akuten Leukämien der Kiel-Klassifikation)
  • 8.
    B-Zell-Reihe (ca. 80-85%)T-Zell-Reihe (ca. 15-20%) Vorläufer-B-Zell-Neoplasie (Vorläufer B-lymphoblastisches Lymphom / Leukämie) Vorläufer T-Zell-Neoplasie (Vorläufer T-lymphoblastisches Lymphom / Leukämie) Reifzellige (periphere)B-Zell-Neoplasie Reifzellige (periphere) T-Zell-Neoplasie B-CLL Prolymphozytenleukämie vom T-Zell-Typ Kleinzelliges lymphozytisches Lymphom Großzellige granuläre Lymphozyten-Leukämie (LGL) Prolymphozytenleukämie vom B-Zell-Typ Aggressive NK-Zell-Leukämie Lymphoplasmozytisches Lymphom Adultes T-Zell-Lymphom (HTLV-1 pos) Mantelzell-Lymphom Extranodales T / NK-Zell-Lymphom Follikuläres Lymphom Intestinales T-Zell-Lymphom vom Enteropathie-Typ Extranoduläres Marginalzonenlymphom (MALT) Mycosis fungoides nodales Marginalzonenlymphom Sézary-Syndrom Splenisches Marginalzonenlymphom Primär kutanes anaplastisch-großzelliges T-NHL Haarzellleukämie Peripheres T-Zell-Lymphom, nicht subspezifiert diffus großzelliges B-Zell-Lymphom Angioimmunoblastisches Lymphom (AILT) primär großezelliges B-Zell-Lymphom des Mediastinums Anaplastisch-großzellliges T-Zell-Lymphom Burkitt-Lymphom Plasmozytom Multiples Myelom LYMPHOME
  • 9.
  • 10.
    LYMPHOME (Ätiologie) Hodgkin-Lymphom: aufgrund von3 unterschiedlichen Erkrankungsaltern, unterschiedlichen histologischen Subtypen und demographischen Faktoren werden unterschiedliche Ätiologien vermutet: => Typ 1: 0-14 Jahre, mischzelliger Subtyp, v.a. Entwicklungsländer, Assoziation zu EBV-Infektion => Typ 2: 15-34 Jahre, Industrieländer, nodulär- sklerosierender Subtyp, meist EBV-neg. => Typ 3: > 50 Jahre, mischzelliger Subtyp, meist EBV- pos. - nach Mononukleose 3-fach erhöhtes Risiko für Hodgkin (ebenfalls erhöht bei HIV und nach Allo-TX)
  • 11.
    LYMPHOME (Ätiologie) Non-Hodgkin-Lymphome: - Ätiologieweitestgehend unklar (diskutiert werden immunologische und infektiologische Ursachen, wie z.B. Autoimmunerkrankungen, HIV, HCV) - gesichert ist der Zusammenhang zw. EBV und dem epidemischen Burkitt-Lymphom und der HTLV-1- Infektion und dem adulten T-cell-leukemia Lymphom - ebenfalls kausaler Zusammenhang zw. MALT- Lmyphom des Magens und Helicobacter pylori-Infektion - seit Jahrzehnten weltweit ansteigende Inzidenz der Lymphomerkrankungen !
  • 12.
    LYMPHOME 1. Epidemiologie /Ätiologie 2. Pathogenese 3. Diagnostik 4. Stadieneinteilung / Prognose 5. Therapie 6. Zusammenfassung
  • 13.
  • 14.
    VDJ-Rekombination Somatische Hypermutation 66.000 Möglichkeiten unendlicheVariabilitat LYMPHOME Um gegen möglichst alle Erreger Antikörper zu besitzen baut sich jeder B-Lymphozyt einen einzigartigen Antikörper
  • 15.
  • 16.
    LYMPHOME Typische chromosomale Translokationenbei B-Zell-Lymphomen: Häufigkeit 90 % 70 % 30 % 35 % 80 % Lymphom FL MCL MALT DLBCL Burkitt (CML /ALL Translok. t(14;18) t(11;14) t(11;18) der(3)(q27) t(8;14) t(9;22) Protoonkogen BCL-2 BCL-1, Zyklin D1 API-2/MALT-1 BCL-6 c-MYC BCR-ABL) FL MCL MALT DLBCL = follikuläres Lymphom = Mantelzelllymphom = Mucosa-associated lymphoid tissue = diffus großzelliges B-Zell-Lymphom
  • 17.
    LYMPHOME B-Zell-Rezeptor(komplex): besteht aus 2identischen Leicht- und Schwerketten- Immunglobulinen (die über eine Disulfidbrücke verbunden sind) Im KM werden Schwer- und Leichtketten-Gene rearrangiert und mit einem Oberflächen-Ag-Rezeptor ausgestattet => findet dieser Schritt nicht statt => Apoptose ansonsten wird das KM als reife naive B-Zelle verlassen =>können dort durch Ag-Bindung aktiviert werden und bei Immunantwort mitwirken => durchlaufen dazu eine klonale Expansion (somatische Hypermutation und Rekombination) => dadurch evt. Aktivierung eines Protoonkogens (z.B. BCL-6, c-MYC, BCL-2)
  • 18.
    Edwards et al.Nature Reviews Immunology 2006;6:394–403 LYMPHOME
  • 19.
    LYMPHOME 1. Epidemiologie /Ätiologie 2. Pathogenese 3. Diagnostik 4. Stadieneinteilung / Prognose 5. Therapie 6. Zusammenfassung
  • 20.
    LYMPHOME Diagnostik: • Anamnese (Leistungsknick,B-Symptomatik, Lk- Schwellung, Alkoholschmerz) • Körperliche Untersuchung (aller tastbaren Lk-Regionen) • Labor: BB, Diff.-BB, BSG, CrP, Kreatinin, Harnsäure, Leberwerte, LDH, E´lyte, ß2-MG, Immunglobuline • Infektiologische Marker: HIV, Hep.B+C, CMV, EBV • Apparative Diagnostik: Sono-Abd. + Rö.-Thorax, bei gesicherter Diagnose: CT-HWT, -Thorax, -Abdomen/Becken (ausser bei CLL!) • KMP!: Zytologie, Histologie (=Stanze), FACS-Analyse, Zytogenetik
  • 21.
    LYMPHOME • Falls nochkeine gesicherte Diagnose: Lk-Exstirpation (am besten kompletten Lk, evt. Diagnosenbestätigung durch Referenz-Pathologen) • Evt. gastrointestinale Diagnostik (ÖGD, Coloskopie, Dünndarm) => v.a. MALT und Marginalzonen-Lymphom • Evt. PET • Evt. Echo (bei geplanter anthrazyklinhaltiger Chemotherapie) • Evt. Lungenfunktion
  • 22.
    Lymphome Durchflußzytometrie (flow cytometry,FACS) FACS = fluorescence activated cell sorting Ermöglicht die simultane Messung mehrerer physikalischer Charakteristika der Zellen: • Relative Zellgröße • Granularität bzw. Interne Komplexität • Relative Fluoreszenzintensität
  • 23.
    FACS-Analyse Ausnutzung von Eigenfluoreszenz(z.B. Eosinophile) und Färbung mit fluorochrom markierten Antikörpern
  • 24.
    FACS-Analyse Ausnutzung von Eigenfluoreszenz(z.B. Eosinophile) und Färbung mit fluorochrom markierten Antikörpern
  • 25.
    FACS-Analyse Ausnutzung von Eigenfluoreszenz(z.B. Eosinophile) und Färbung mit fluorochrom markierten Antikörpern
  • 26.
    FACS-Analyse Hauptkomponenten des FACS: 1. 2. 3. Flüssigkeitssystemzum Transport der Zellen Optik: einer oder mehrere Laser, Linse, Spiegel und Detektoren Elektronisches System, das Signale (Photonen) in elektronische Signale umwandelt.
  • 27.
    FACS-Analyse Die Zellen fliesseneinzeln am Laser vorbei und werden nacheinander durch den Laserstrahl getroffen.
  • 28.
    FACS-Analyse Streulicht (Scatter) entsteht, wennPartikel einfallendes Laserlicht beugen Forward-scatter (FSC)ist proportional der Zelloberfläche bzw. Zellgröße Side-scatter (SSC)entsteht an Grenzfächen in der Zelle mit einem geänderten Brechungsindex (Zellmembran, Zellkern, granuläres Material in der Zelle,.....)
  • 29.
    FACS-Analyse Prinzip: - einzelne Zellewir am Laser vorbeigeleitet - Die Elektronen des Fluoreszenzfarbstoffes werden durch monochromatischen Laserstrahl auf ein höheres Energieniveau gehoben - nach passieren des Lasers „fallen“ die Elektronen wieder auf ihr ursprüngliches Ernergieniveau zurück und geben dabei Energie in Form von Photonen ab - Die Menge der detektierten Photonen verhält sich proportional zur Menge der Antikörper / Zelle
  • 30.
  • 31.
    FACS-Analyse Die Klassifizierung weitererUntergruppen, wie z.B. die Einteilung der Lymphozyten in B-Zellen und T-Zellen erfolgt über die Analyse der Expression bestimmter Oberflächenantigene, den sogenannten CD-Antigenen (CD= cluster of differentiation) Diese Sub-Klassifizierung erfolgt über die Bindung von fluoreszenz markierten monoklonalen Antikörper an spezifische CD-Antigene = Immunphänotypisierung
  • 32.
    Antigen B-CLL LPLHCL SMZL MCL FL CD19 + + + + + + CD20 +w + + + + + CD22 +w + + + + + CD23 + - - -/+ -/w -/+ CD79b -/w + - sIgM +w ++ + + + + HLA-DR + + + + + + CD10 - - - - - + CD5 + - - - + - CD11c -/+w -/+w ++ +/- - + FMC7 -/w -/+ + + + CD103 - - ++ -/+ CD25 -/+w ++ Typische CD-Konstellationen der peripheren B-Zell-Lymphome: LPL: M. Waldenström, HCL: Haarzell-Leukämie, SMZL: splenisches Marginalzonen-Lymphom, MCL: Mantelzell-Lymphom, FL: follikuläres L.
  • 33.
    LYMPHOME 1. Epidemiologie /Ätiologie 2. Pathogenese 3. Diagnostik 4. Stadieneinteilung / Prognose 5. Therapie 6. Zusammenfassung
  • 34.
    Stadium Nodales StadiumExtranodales Stad. I Befall einer einzigen Lk-Region Befall 1 Region mit Übergriff auf extralymph. Gewebe oder lokalisierter Herd in extralymph. Organ (ausser Leber: immer Stad.IV) II Befall von 2 oder mehr Regionen auf der gleichen Seite des Zwerchfells Lokalisierter Befall eines extralymph. Gewebes + 1 oder mehre Lk- Regionen auf gleichen Zwerchfellseite III Befall von Lk-Regionen beidseits des Zwerchfells +- Milzbefall Befall von Lk-Regionen beidseits des Zwerchfells +- Milzbefall zusätzlich zu lokal. Befall extralymph. Gewebes IV Nichtlokalisierter, diffuser oder disseminierter Befall eines oder mehrerer extralymph. Organe oder Gewebe Zusatz B bei vorliegen von B-Symptomatik, ansonsten A Stadieneinteilung: Nach Ann Arbor (1971) mod. Cotswold
  • 35.
  • 36.
    LYMPHOME • Lk-Regionen: dienender Stadieneinteilung • Lk-Areale: dienen der Bestimmung der Risikofaktoren • B-Symptomatik: Gewichtsverlust : >10% des Ausgangsgewichts in 6 Monaten Fieber: persistierendes oder wiederholtes Fieber unklarer Genese > 38°C Nachtschweiß: (Frage müssen Sie Ihr Nachthemd wechseln?) NICHT als B-Symptomatik gelten Juckreiz und Alkoholschmerz (der v.a. beim Hodgkin hochspezifisch ist, z.B. in Rezidivdiagnostik nutzbar)
  • 37.
    LYMPHOME (Prognose) NHL (aggressiv):IPI (international prognostic index) - Alter (>60 Jahre), LDH (erhöht), Stadium (III oder IV), Extranodalbefall, ECOG ≥ 2 (siehe Anhang) => jeweils 1 Punkt => 4 Gruppen (Unterschied im 5-Jahres-OS) 0-1 = Niedrig => 73% 2 = Niedrig-interm.=> 50% 3 = Hoch-interm. => 43% 4-5 = Hoch => 26% => 2007 Revision: R-IPI (nur 3 Gruppen) N Engl J Med. 1993;329:987-994 Sehn etal, Blood 2007;109:1857
  • 38.
    LYMPHOME Sehr gute Prognose:kein RF Gute Prognose: 1-2 RF Schlechte Prognose: 3-5 RF A = PFS B = OS
  • 39.
    LYMPHOME NHL (Follikuläres Lymphom):FLIPI Alter >60 J, Stadium III/IV, Hb <12 g/dl, LDH erhöht, >4 befallene Lk-Regionen FLIPI 1 = low 2 = low interm. 3 = high Score 0-1 2 ≥ 3 5-yOS 90,6 % 77,6 % 52,5 % 10-yOS 70,7 % 50,9 % 32,5 % “Revision” 2009: In die Berechnung gehen ein: erhöhtes ß2-MG, Durchmesser des größten Lymphoms > 6cm, Alter >60 Jahre, KM-Befall und Hb < 12 g/dl Solal-Celegny etal, Blood 2004,104:1258 Federico etal, JCO 2009;27:4555
  • 40.
    Punkte Alter (Jahre) ECOG LDH (Norm) Leukozyten /dl 0 < 50 0-1 < 0,67 < 6,7 1 50-59 0,67-0,99 6,7 – 9,9 2 60-69 2-4 1,0 – 1,49 10 – 14,9 3 ≥ 70 ≥1,5 ≥ 15 LYMPHOME NHL (Mantelzell-Lmyphom): (s)-MIPI 3 Gruppen: low (0-3 Pnkt.), intermediate (4-5 Pnkt.), high (>5 Pnkt.) besser bzgl. prognostischem Wert als IPI, da bessere Evaluation der high-risk-Gruppe (5-JÜR 38%) Hoster etal, Blood 2008;111:558 Geisler etal, Blood 2009 epub
  • 41.
    LYMPHOME 1. Epidemiologie /Ätiologie 2. Pathogenese 3. Diagnostik 4. Stadieneinteilung / Prognose 5. Therapie 6. Zusammenfassung
  • 42.
    LYMPHOME Allgemeines: CAVE: Vor Einleitung einerTherapie muss bei jungen Patienten die Optionen der Kryokonservierung von Spermien / Eizellen besprochen werden und Zeit dafür eingeräumt werden (ausser Notfälle, Leukämien) FertiProtekt (www.fertiprotekt.de) Vor Beginn einer Rituximab-Therapie sollten die Marker für Hepatitis B + C bestimmt werden und evt. eine Hep.B-Prophylaxe mit Lamivudine (bis 6 Monate nach Rituximab-Therapie)
  • 43.
  • 44.
    LYMPHOME Rituximab (MabThera®) - chimärermonoklonaler IgG1κ-Antikörper gegen CD 20 (CD20: essentiell für die Regulation des Zellzyklus und der Zelldifferenzierung, auf mehr als 90% der normalen und malignen B-Zellen vorhanden, fehlt auf nicht- hämatologischen Zellen) - “Standarddosierung”: 375 mg/m² alle 1-3 Wochen - NW: Fieber, Schüttelfrost, allerg. Reaktion, Tumorlyse, progressive multifokale Leukencephalopathie durch JCV (sehr selten)
  • 45.
    LYMPHOME - wirkt übermehrer Mechanismen: Komplement-vermittelte Toxizität Antikörper-vermittelte Toxizität Induktion von Apoptose Blockade von Calcium-Kanälen der Zellmembran
  • 46.
  • 47.
    LYMPHOME Diffus großzelliges Lymphom(DLBCL): - häufigste Entität der B-Zell-Lymphome (ca. 1/3) - steigende Inzidenz (neben follikulärem Lymphom) - Männer etwas häufiger als Frauen - Translokation t(3;14), der(3)(q27)) - RF: Immundefekte (AIDS, Immunsuppression nach Organ-TX), vorausgegangener M. Hodgkin, Kanzerogene, - gesicherter Zus.hang zw. EBV und post-TX-Lymphom (sog. Posttransplantationslymphoproliferatives Syndrom) - Prognoseeinschätzung nach IPI - „Richter“-Syndrom: Transformation eines niedrig- malignen NHL (z.B. foll.NHL) in ein DLBCL
  • 48.
  • 49.
    LYMPHOME - Klinik: Leitsymptom:rasch progrediente, meist schmerzlose Lk-Vergrößerung nur bei ca. 20% B-Symptomatik (i.G. zu Hodgkin) - Ca. 1/3 bereits im Stadium IV, extranodaler Befall ca. 40% - Therapieentscheidung nach Risikogruppe (IPI), Alter und Begleiterscheinungen - Chirurgie: kein Stellenwert, ausser zur Lk-Entnahme Strahlentherapie : sehr empfindlich, trotzdem kein sicherer Stellenwert
  • 50.
    LYMPHOME - Zusätzliche Diagnostik:Lumbalpunktion, falls Befall von Hoden / Sinus paranasales / epidural / > 2 extranodale Manifestationen, Augenhöhle, HIV => weitere RF: LDH ↑, Albumin ↓,< 60 J., retroperitoneale Lk, > 1 extranod. Befall (bei ≥4: i.th.) => evt. intrathekale Therapie mit MTX (12,5-15 mg) - Therapie: „Standard“: 6-8 Zyklen R-CHOP-21 (Vincristin, Doxorubicin, Cyclophosphamid, Prednisolon) ± locoregionale Radiotherapie (30-40 Gy) - R-CHOP-21 vs -14: bisher „Standard“ bei Pat. > 65 J: R- CHOP-14 (mit G-CSF) => ASH 2009 (# 406): kein Unterschied bzgl. DFS,OS nach 3 Jahren Hollender etal, AnnOnc 2002;13:1099 Cheung etal, BJH 2005;131:193 NCCN-Guidelines 2010 Delarue etal, ASH 2009, #406
  • 51.
    LYMPHOME • Rezidiv /Progress: z.B. R-DHAP (Rituximab, Cisplatin, Cytarabin, Dexameth.) => Response (CR + PR): 75% R-ICE (Rituximab, Carboplatin, Etoposid, Ifosfamid) => Response: 71% • Autologe TX, allogene TX • Evt. „neue“ Medikamente: Lenalidomid => Response ca. 35% Vellenga etal, Blood 2008;111:537 Vose etal, AnnOnc 2003;14:i17 Wiernek etal, JCO 2008;26:4952
  • 52.
    LYMPHOME Follikuläre Lymphome (FL): -5-7 / 100.000 Einwohner - Medianes Erkrankungsalter 55-60 Jahre, - beide Geschlechter ungefähr gleich häufig - Charakteristisch: t(14;18)(q21;q21) => in 80-90% => Kopplung des BCL-2-Onkogens (Anti-Apoptose Gen) auf Chr.18 an Immunglobulinpromotor auf Chr.14 => Überexpression von BCL-2 - Ca. 20% transformieren im Verlauf in ein DLBCL - Klinik: Lk-Schwellung, Zytopenien (durch KM-Infiltration) und B-Symptomatik - Prognoseabschätzung mit Hilfe des FLIPI - Im Stadium (II)-IV nicht kurierbar
  • 53.
    LYMPHOME - Therapie: Stadium Iund II: Strahlentherapie (kurativer Ansatz) Stadium III und IV: bei Therapieindikation (Zytopenie, Bulk, Symptomen, Kompression, Progress) => Immunochemotherapie, evt. Radiatio Rituximab ± CHOP, COP, CVP, Bendamustin, Fludarabin => ASH 2009: Rummel etal: R-Benda besser als R- CHOP Rezidiv: Therapieoptionen analog 1.line, autologe TX Rituximab-Erhaltung! (besseres PFS und OS) vanOers etal, Blood 2006;108:3295 Forstpointer, Blood 2006;108:4003 Robinson, JCO 2008;26:4473 Marcus etal, JCO 2008;26:4579
  • 54.
    LYMPHOME MALT-Lymphome des GI-Traktes: -Ca. 50 % aller extranodal Lymphome sitzen im GI-Trakt, davon ¾ im Magen - In der Regel entstanden aus Mukosa assoziiertem lymphatischen Gewebe (MALT) - Sowohl niedrig als auch hochmaligne B- und T-NHL möglich. - Diagnostik sollte auch Untersuchung auf Helicobacter pylori, HNO-Arzt, Koloskopie und evt. Dünndarm- diagnostik beinhalten - Stadieneinteilung nach modifiziertem Ann-Arbor nach Musshoff (siehe Anhang)
  • 55.
    LYMPHOME Therapie: - Sonderstellung: H.p.positive niedrig maligne MALT- Lymphome im Stadium I => Eradikation (80% rezidivfrei) aber: funktioniert nicht bei t(11;18), nicht H.p.-abhängig - Chirurgie hat KEINEN Stellenwert ausser bei Komplikationen (Blutungen, Perforationen etc.) - Niedrig maligne Magenlymphome Stadium I und II ohne H.p. Nachweis: Bestrahlung (extended field) - Stadium III und IV: systemische Chemotherapie - Hochmaligne Magenlymphome: Chemotherapie (R- CHOP), - Falls möglich: Teilnahme an Studie
  • 56.
    LYMPHOME Hodgkin: Pathologische Einteilung: • KlassischesHodgkin Lymphom – – – – Nodulär sklerosierendes HL Mischtyp Lymphozytenreiches klassisches HL Lymphozytenarmes HL • Noduläres Lymphozytenreiches HL als Risikofaktoren sind definiert: - großer Mediastinaltumor (>1/3 d. Thoraxdurchmesser) - Extranodalbefall - hohe BSG (>50 mm/h bei A-Sympt., >30 mm/h bei B-Symptomatik) - ≥ 3 Lk-Areale
  • 57.
    LYMPHOME • • • • • • • • Inzidenz 2-3 /100.000 Einwohner Ca. 30 % aller Lymphome 2 Erkrankungsgipfel: 3. Lebensjahrzehnt und > 50 Lj. Unterschied zw. Industrie- (v.a. Erwachsene) und Entwicklungsländer (v.a. Kinder) Klinik: Lk-Schwellung, B-Symptomatik, Alkoholschmerz Auch in fortgeschrittenen Stadien grundsätzlich heilbar Heilungswahrscheinlichkeit in frühen Stadien > 90%, in fortgeschrittenen Stadien ca. 70% Meist Behandlung im Rahmen der Deutschen Hodgkin- Studiengruppe Köln (www.ghsg.org) => aktuell: Testung der Rolle des PET-CT
  • 58.
    Lymphome „Standardtherapie“ bei MorbusHodgkin in Deutschland (Studiengruppe Köln) • Stadium I/II mit günstiger Prognose: ABVD 2-4x + IFRT 30 Gy Einzelfälle: ABVD x 6 Mantelfeld RT • Stadium I/II mit intermediärer Prognose ABVD x 4 + IFRT 30 Gy • Stadium III/IV elderly BEACOPP esk x 8 ABVD 6-8 „Best response“ + 2
  • 59.
    Rezidive nach MorbusHodgkin EBMT Studie Schmitz et al, Lancet 2002;359:2065
  • 60.
    Engert, A. etal.JCO 2009;27:4548-4554 (A) Sekundärtumoren (B) Sekundär AML und MDS ABCD BEACOPP BEACOPP esk. Arm A Arm B Arm C
  • 61.
    Lymphome Haarzell-Leukämie • Selten • KlinikHepatosplenomegalie Knochenmarkinsuff. • Pos. für CD11c, CD25, CD103 • Normale Lebenserwartung • Therapie mit 2-CdA (Cladribine) Pantostatin Rituximab IFN alpha
  • 62.
    LYMPHOME 1. Epidemiologie /Ätiologie 2. Pathogenese 3. Diagnostik 4. Stadieneinteilung / Prognose 5. Therapie 6. Zusammenfassung
  • 63.
    LYMPHOME • Lymphome stelleneine sehr heterogene Krankheitsentität dar • Diagnostik: wegweisend sind Lk-Histologie und FACS • Prognosemodelle: stehen mit IPI, FLIPI und s-MIPI zur Verfügung • Therapie: Stadieneinteilung entscheidend • Rituximab stellt wichtigen Meilenstein in der Therapie der Lymphome dar (Hodgkin wird aktuell geprüft) • Häufig Kombination aus Chemotherapie und Strahlentherapie • Im Rezidiv: Autologe TX , evt. allogen
  • 64.
  • 65.
    LYMPHOME ANHANG Stadieneinteilung nach Musshoff(MALT-Lymphome) Responskritereien ECOG-Skala
  • 66.
    Anhang (Stadieneinteilung derMagenlymphome nach Musshoff) I1 Uni- oder multilokuläres Magenlymphom, beschränkt auf Mukosa und Submukosa ohne Lk-Beteiligung I2 Uni- oder multilokuläres Magenlymphom mit Infiltration in M.propria, Subserosa oder Infiltration in per contin. In Nachbarorgan, keine LK II1 Uni- oder multilokuläres Magenlymphom einschl. regionale Lk II2 Uni- oder multilokuläres Magenlymphom mit Lk-Befall über reg- Lk hinaus unter Einschluss weiterer Organbefall unterhalb d. Zwerchfells III Uni- oder multilokuläres Magenlymphom mit Lk-Befall über reg- Lk hinaus unter Einschluss weiterer Organbefall auch oberhalb d. Zwerchfells IV Uni- oder multilokuläres Magenlymphom mit oder ohne Befall benachbarter Lk und diffusem oder disseminiertem Befall eines / mehreren extragstralen Organe
  • 67.
    Response-Kriterien nach Chesonetal, JCO 2007;25:579 New or recurrent involvement >50% increase from nadir in the SPD of any previous lesions Appearance of a new lesion(s) > 1.5 cm in any axis, 50% increase in SPD of more than one node, or 50% increase in longest diameter of a previously identifed node > 1 cm in short axis Any new lesion or increase by 50% of previously involved sites from nadir Rezidiv /P (a) PET positive prior to therapy; PET positive at prior sites of disease and no new sites on CT or PET(b) Variably FDG-avid or PET negative; no change in size of previous lesions on CT Failure to attain CR/PR or PD SD Irrelevant if positive prior to therapy; cell type should be specified ≥50% decrease in SPD of nodules (for single nodule in greatest transverse diameter); no increase in size of liver or spleen >50% decrease in SPD of up to 6 largest dominant masses; no increase in size of other nodes (a) FDG-avid or PET positive prior to therapy; one or more PET positive at previously involved site (b) Variably FDG-avid or PET negative; regression on CT Regression of measuable disease and no new sites PR immunohistoche mistry should be negative negative; regression to normal size on CT Bone Marrow Infiltrate cleared on repeat biopsy; if indeterminate by morphology, Spleen Liver Not palpable, nodules disappeared Nodal Masses (a) FDG-avid or PET positive prior to therapy; mass of any size permitted if PET negative (b) Variably FDG-avid or PET Definition Disappearance of all evidence of disease Response CR
  • 68.
    LYMPHOME ECOG-Skala: (Eastern CooperativeOncology group) ECOG 0 = Normale Leistungsfähigkeit ECOG 1 = ambulante Betreuung, leichte Arbeiten möglich ECOG 2 = < 50% bettlägerig, selbstversorgend, keine Arbeit möglich ECOG 3 = > 50% bettlägerig, begrenzte Selbstversorgung ECOG 4 = ständig bettlägerig
  • 69.
    CLL Intensivkurs Innere Medizin2010 RBK M. Vöhringer
  • 70.
  • 71.
    CLL Fallbeispiel: 30-jähriger Mann wirdvom HA wegen anhaltender Leukozytose von 15-17 G/l geschickt. Was wollen Sie wissen ?? - Anamnese => Infekt ?, Med.?, Raucher ? sonstige B-Symptomatik ? Leistungsknick - Diff.Blutbild ?
  • 72.
    CLL Diff.-BB des Patienten: WertNormwert Neutrophile Lymphozyten Monozyten Basophile Eosinophile 61 % 30 % 8% 0,5 % 0,5 % 36-68 % 18-51 % 3-14 % 0-0,9 % 0-7 % Patient hat dieses Diff.-BB und raucht ca. 20 Zigaretten pro Tag. Keine B-Symptomatik Welche Krankheit hat der Patient ??
  • 73.
    CLL 60 Jähriger Patient: Diff.-BBdes Patienten: Wert Neutrophile 40 % Lymphozyten 51 % Monozyten 8 % Basophile 0,5 % Eosinophile 0,5 % Normwert 36-68 % 18-51 % 3-14 % 0-0,9 % 0-7 % Patient hat dieses Diff.-BB und raucht ca. 20 Zigaretten pro Tag. Keine B-Symptomatik Welche Krankheit hat der Patient ??
  • 74.
    CLL 60 Jähriger Patient: Diff.-BBdes Patienten: Wert Neutrophile 40 % Lymphozyten 51 % Monozyten 8 % Basophile 0,5 % Eosinophile 0,5 % Normwert 36-68 % 18-51 % 3-14 % 0-0,9 % 0-7 % Patient hat dieses Diff.-BB und raucht ca. 20 Zigaretten pro Tag. Keine B-Symptomatik Welche Krankheit hat der Patient ??
  • 75.
    CLL Definition der CLL(WHO 2001): - Leukämisches lymphozytisches Lymphom der B-Zell- Reihe (die früher als T-CLL definierte Erkrankung wird heute als T-Zell-prolymphozytische Leukämie bezeichnet) - Entscheidend ist die Sicherung der CLL als Abgrenzung zu anderen lymphoproliferativen Erkrankungen, die sich als CLL „maskieren“, wie z.B. Haarzell-Leukämie, leukämische Variante des Marginalzonen-Lmyphoms, Splenisches Marginalzonen-Lmyphom oder follikuläres Lmyphom. Müller-Hermelink etal, IARC Press 2001 Hallek etal, Blood 2008;111:5446-56
  • 76.
    CLL Vorgehen bei V.a.CLL: 1. Diagnosesicherung 2. Stadieneinteilung 3. Therapie(entscheidung) 4. Prognoseparameter
  • 77.
    CLL Vorgehen bei V.a.CLL: 1. Diagnosesicherung : BB und Diff.-BB FACS-Analyse
  • 78.
    CLL BLUT: • Lymphozytose: ≥5000 Lymphozyten / µl im peripheren Blut über mindestens 3 Monate ! • Blutausstrich: kleine, reife Lymphozyten, schmales Zytoplasma, dichtes Kernchromatin sowie Vorkommen von Gumprecht´schen Kernschatten.
  • 79.
  • 80.
    CLL • Klonalität derB-Lymphozyten muss durch eine FACS- Analyse gesichert sein CAVE: bei Klonalitätsnachweis aber fehlender Lk- Vergrößerung, keine B-Symptomatik und Lymphozyten <5 G/l: Monoklonale B-Lymphozytose (Übergang in eine CLL in 1,1% / Jahr) Rawstron etal, NEJM 2008;359:575-83 • FACS: Expression der B-Zell-Marker CD 19, CD 20, CD 23 sowie Co-Expression des T-Zell-Markers CD 5 sowie Klonalitätsnachweis durch Expression von Leichtketten (Kappa oder Lamda) => die Expression kann unterschiedlich stark ausgeprägt sein
  • 81.
    Antigen B-CLL LPLHCL SMZL MCL FL CD19 + + + + + + CD20 +w + + + + + CD22 +w + + + + + CD23 + - - -/+ -/w -/+ CD79b -/w + - sIgM +w ++ + + + + HLA-DR + + + + + + CD10 - - - - - + CD5 + - - - + - CD11c -/+w -/+w ++ +/- - + FMC7 -/w -/+ + + + CD103 - - ++ -/+ CD25 -/+w ++ Typische CD-Konstellationen der peripheren B-Zell-Lymphome: LPL: M. Waldenström, HCL: Haarzell-Leukämie, SMZL: splenisches Marginalzonen-Lymphom, MCL: Mantelzell-Lymphom, FL: follikuläres L.
  • 82.
    CLL Vorgehen bei V.a.CLL: 1. 2. Diagnosesicherung: BB und Diff.-BB FACS-Analyse Stadieneinteilung: Anamnese (B-Symptomatik) Körperliche Untersuchung: Lk-Status! (70-80%), Splenomegalie (70-80%), CAVE: Splenomegalie ohne Lk-Vergrößerung: an andere NHL denken!!! Hepatomegalie (45-75%) Rö-Thorax
  • 83.
    Stadium Definition Med.Überleben A (ca. 60%) Hb > 10 g/dl und Thrombozytenzahl normal und < 3 vergrößerte Lk-Regionen B (ca. 30 %) Hb > 10 g/dl und Thrombozytenzahl normal und ≥ 3 vergrößerte Lk-Regionen C (ca. 10%) Hb < 10 g/dl und / oder Thrombozytenzahl < 100 G/l (unabhängig von befallenen Lk- Regionen) CLL Nach wie vor gelten die 2 bekannten Staging-Systeme: RAI (1975) und Binet (1981)
  • 84.
  • 85.
    CLL CAVE: Definition derLk-Regionen : 1. Halsbereich, einschl. Waldeyer´scher Rachenring (gilt als eine Region! Auch wenn beide Seiten befallen sind) 2. 3. 4. 5. Axilla (der beidseitige Befall gilt auch nur als 1 Region) Leisten, einschl. femoralis-Lk (auch hier gilt bds. Befall als eine Region Splenomegalie (tastbar) Hepatomegalie (tastbar)
  • 86.
    Stadium Definition Med.Überleben A (ca. 60%) Hb > 10 g/dl und Thrombozytenzahl normal und < 3 vergrößerte Lk-Regionen > 10 Jahre B (ca. 30 %) Hb > 10 g/dl und Thrombozytenzahl normal und ≥ 3 vergrößerte Lk-Regionen ca. 7 Jahre C (ca. 10%) Hb < 10 g/dl und / oder Thrombozytenzahl < 100 G/l (unabhängig von befallenen Lk- Regionen) 1,5-2,5 Jahre CLL Nach wie vor gelten die 2 bekannten Staging-Systeme: RAI (1975) und Binet (1981)
  • 87.
    CLL Vorgehen bei V.a.CLL: 1. 2. 3. Diagnosesicherung: BB und Diff.-BB FACS-Analyse Stadieneinteilung: Therapie(entscheidung)
  • 88.
    CLL Indikation zur Behandlungeiner CLL: die Indikationen sind allgemeine Richtlinien und gelten NICHT für Patienten, die im Rahmen einer Studie behandelt werden (z.B. CLL-Studiengruppe Köln, Prof. Hallek) Stadium A: keine Behandlung , regelmäßige Kontrolle => Studien haben bisher keine Verbesserung der Prognose durch frühzeitigen Einsatz von Alkylantien zeigen können. => Ausnahme: symptomatische Patienten: (z.B. Fatigue, B-Symptomatik) oder im Rahmen einer Studie Dighiero etal, NEJM 1998;338:1506-14 Shustik etal; HematolOncol 1988;6:7-12 Montserrat etal, Leuk Lymphoma 1991;5:89-92
  • 89.
    CLL Stadium A: Stadium B: StadiumC: keine Behandlung, regelmäßige Kontrolle Therapie möglich, evt. watch-and-wait zur Beurteilung der Krankheitsaktivität Beginn bei dokumentiertem Progress oder Symptomatik Indikation für Behandlung CAVE: eine Leukozytose (auch > 100 G/l) stellt per se KEINE Behandlungsindikation dar !! (rheologische Probleme (Hyperviskositätssyndrom) sind i.G. zur AML selten)
  • 90.
    CLL Parameter für eineKrankheitsaktivität: (mind. 1) - Knochenmarkinsuff. (Auftreten oder Verschlechterung von Anämie / Thrombopenie) - Massive (>6 cm unter dem RiBo) oder progrediente oder symptomatische Splenomegalie - Massive (>10 cm) oder progrediente oder symptomat. Lymphadenopathie - Progrediente Lymphozytose: >50 % in 2 Monaten oder Lymphozytenverdopplungszeit < 6 Monate - Autoimmun-Anämie oder –Thrombopenie, die schlecht auf Steroide anspricht - B-Symptomatik (einschl. Fatigue)
  • 91.
    Binet-Stadium Fitness First-lineTherapie Asympt. A + B irrelevant Keine Symptomat. A + B oder C Go go Slow go RF / RFC / FC / R-Benda Chlorambucil oder F Rezidiv Fitness First-line Therapie Früh < 1 Jahr Go go Slow go Alemtuzumab / Alemt.-FC / Allo-TX Alemt. (17p-), R-Benda Spät (>1 J. bzw. 2 J. n. Chemoimmunth.) Go go Slow go Wiederholung der Erstlinientherapie CLL Behandlungsschema (nach Prof. Hallek):
  • 92.
    CLL Vorgehen bei V.a.CLL: 1. 2. 3. Diagnosesicherung: BB und Diff.-BB FACS-Analyse Stadieneinteilung : Therapie(entscheidung): Sono-Abdomen, -Lk-Stationen Infektionsstatus (HIV, CMV-Status, Hep.B+C) Coombs-Test, Krea, Hrs, LDH, Leberwerte, Immunglobuline, ß2-MG Mögliche zusätzliche Test (Prognose, Studien): Zytogenetik IgVH-Mut., ZAP-70, CD38, Thymidinkinase, (CT, KMP),
  • 93.
    CLL Therapie: 3 mögliche Therapieoptionen: -watch and wait - Chemo(immun)therapie - Hochdosistherapie (als evt. kurativer Ansatz) Die Abwägung hängt von folgenden Faktoren ab: - Alter und Komorbiditäten - Stadium - Krankheitsaktivität (Progression, Prognosefaktoren)
  • 94.
    CLL Weitere Prognosefaktoren : Alsunabhängige, ungünstige Faktoren für das progressionsfreie Überleben im Stadium Binet A haben sich etabliert: - Thymidinkinase > 10 U/l - Lymphozytenverdopplungszeit < 12 Monate - unmutiertes IgVH - Aberrationen 17p- und 11q-
  • 95.
    CLL Bei ca. 80%der Patienten finden sich zytogenetische Veränderungen (meist detektierbar durch FISH): CAVE: Genetische Veränderungen können auch unter Therapie / Erkrankung auftreten !! Normaler Karyotyp: med. ÜZ: 15 Jahre (i.G. zu klonalen Aberrationen: 7,7 Jahre) Del.13q14: med. ÜZ: 133 Monate (ca. 50-60%) Del.11q22-q23 med. ÜZ: 79 Monate (ca. 10-30%) Trisomie 12 med. ÜZ: 114 Monate (ca. 11-20 %) Del.17p13 med. ÜZ: 32 Monate (ca. 5-10%) Deletion 6q med. ÜZ: 131 Monate (ca. 5%) (größte Tumormassen) Montserrat etal, Baillieres Clin Haematol 1993 Byrd etal, Hematology 2004 (Hallek etal, AnnOnc 2008)
  • 96.
    CLL 17p-Deletion: - schlechtes Ansprechenauf Fludarabin - Alemtuzumab (2.line): Response: 33-53%, => möglichst Alemtuzumab als 1.line bei 17p- Döhner etal, Blood 1995;85:1580 Grever etal, JCO 2007;25:799 Hallek etal, AnnOnc 2008;19 (S4):iv51 Stilgenbauer etal, JCO 2009;27:3994
  • 97.
    CLL Chlorambucil (Leukeran®): - Bereitsin den 70er eingesetzt - Orales Chemotherapeutikum - Dosierung: 0,4 mg/kgKG (Idealgewicht!! = Größe-100) alle 14 Tage, Steigerung alle 14 Tage um 0,1 mg bis maximal 0,8 mg/kgKG möglich - Dauer: bis maximales Ansprechen (i.d. 8-12 Mo) - Früher häufig kombiniert mit Prednisolon (“Knospe- Schema”) => aber kein belegter Nutzen - Ansprechen: 30-70%, allerdings nur ca. 3% CR - Gehäuft sek. Neoplasien (v.a. AML) Sawatzky etal, Blood 1977;50:1049
  • 98.
    CLL Fludarabin: - Seit den80er Jahren eingesetztes Purinanalogon - Als Einzelsubstanz: 25 mg/m² d1-5, alle 4-6 Wo - Ansprechen: 70-80% (CR in 23-37%) bei unbehandelten und 13-67% (CR 0-37%) bei vorbehandelten Pat. - NW: Myelosuppression, Neutropenie, Lymphopenie => erhöhte Gefahr für Infekte (PJP, Listeriose etc.) => keine generelle Empfehlung für G-CSF - CAVE: Tumorlyse-Syndrom möglich (selten) sowie Autoimmunzytopenie (ca. 5%) => klinisch wichtig: durch Fludarabin getriggerte Autoimmunhämolyse (AIHA) => Coombs-Test positiv => möglichst keine Fludarabin- Gabe
  • 99.
    CLL Fludarabin-Kombination : - Fludarabin+ Cyclophosphamid: 30 mg/m² d1-3 + 250 mg/m² d1-3, q28 => Ansprechen: ca. 90-95% (CR 24%) => längeres PFS, bisher kein sign. OS - Fludarabin + Cyclophosphamid + Mitoxantron => Ansprechen: CR 50% (2. Linie, Phase 2-Studie) - Fludarabin + Cyclophosphamid + Rituximab Ansprechen: > 90%, CR bis 70% ! Eichhorst etal, Blood 2006;107:885 Bosch etal, Br J Hematol 2002;119:976 Knauf etal, JCO 2009, 27:4378
  • 100.
    CLL Bendamustin: - Alkylans mitEigenschaft eines Antimetabolit - 70-100 mg/m², d1,2, q28 - Ansprechen: 28-82%, CR: 9-42%
  • 101.
    CLL Alemtuzumab (MabCampath®): - HumanisierterIgG1-Ak gegen CD52 (befindet sich zu 95% auf allen Lymphozyten / Monozyten, Funktion des CD52 noch unklar) - Gabe: 3 / 10 / 30 mg i.v., dann 3 x 30 mg / Woche - NW-Rate durch s.c. Gabe deutlich vermindert - NW: gehäufte opportunistische Infekte gehäuft virale Infekte => Prophylaxe mit Cotrim und Aciclovir, Fluconazol, AB => wöchentliche Messung von CMV (mittels PCR) - Ansprechen: 87 % als first line (CR 19%) und ca. 33% bei vorbehandelten Patienten Lozanski etal, Blood 2004;103:3278 Lundin etal, Blood 2002;100, 768
  • 102.
    CLL Autologe Transplantation: - Aktuellkein gesicherter Platz im therapeutischen Spektrum => nur im Rahmen von klinischen Studien Allogene Transplantation: - Enscheidend GvL-Effekt - Bessere TRM (transplantationsbedingte Mortalität) durch RIC (reduziertes Konditionierungsschema): < 20% - Einziges potentiell kuratives Konzept - OS nach 2 Jahren 50-75% - Nur bei jungen fitten Patienten sinnvoll
  • 103.
    CLL Risiko für einZweitcarcinom: • Mehr als doppelt (2,2-fach) so hohes Risiko i. Vergleich zur Normalbevölkerung. RF: hohes Alter, Männer, hohes ß2-MG, erhöhte LDH, erhöhtes Krea • V.a. Haut (30%), Melanom (8%), Prostata (13%), Mamma-Ca (9%), Lymphome (8%) Tsimberidou etal, JCO 2009;27:904
  • 104.
    CLL Zusammenfassung : - Diagnose:BB, Diff-BB und FACS-Analyse meist ausreichend - Stadium A: keine Behandlungsindikation - Stadium C: Therapie in Abhängigkeit des Zustandes des Patienten (go go oder slow go) - Antikörper haben inzwischen einen festen Stellenwert in der Behandlung der CLL - Zytogenetik erlaubt genauere Prognosestellung und auch evt. Vorhersage des Therapieansprechens (17p- => schlechtes Ansprechen auf Fludarabin) - Bei jungen, fitten Patienten kann eine allogene Transplantation (im Rezidiv !!) als möglicher kurativer Ansatz überlegt werden
  • 105.
  • 106.
    Multiples Myelom Intensivkurs InnereMedizin 2010 RBK M. Vöhringer
  • 107.
    Multiples Myelom 1. 2. 3. 4. 5. Definition /Pathogenes (kurz) Diagnostik Stadieneinteilung / Prognose Therapie Zusammenfassung
  • 108.
    Multiples Myelom - - - Inzidenz 3-5/ 100.000 Einwohner > 60 Lj. 8 / 100.000 Einwohner Männer : Frauen = 3 : 2 Risikofaktoren: nicht sicher geklärt: ionisierende Strahlen chronische Antigenexposition, Viren Chemikalien
  • 109.
    Multiples Myelom Definition: Lymphatische B-Zell-Neoplasiemit diffuser oder multilokulärer Infiltration des Knochenmarks durch klonale Plasmazellen, Osteolysen, Insuffizienz der Hämatopoese (führend: Anämie), Nierenfunktionsbeeinträchtigung, Hyperkalziämie.
  • 110.
  • 111.
  • 112.
    Multiples Myelom 1. 2. 3. 4. 5. Definition /Pathogenes (kurz) Diagnostik Stadieneinteilung / Prognose Therapie Zusammenfassung
  • 113.
    Multiples Myelom • Labor:BB, Diff.-BB, E´lyte, Ca2+, Kreatinin, Serum- Elektrophorese, IgG, IgM, IgA, Leichtketten i.S., Albumin, ß2-MG, LDH, CrP • Urin: auf Bence-Jones (Urin-Elektrophorese) und evt. quantitativ Eiweiß i.24h-Urin • KMP: mit Zytologie, Histologie (Stanze), Zytogenetik • Röntgen: früher nach dem „Pariser Schema“, heute besser: CT (Plasmozytom-Programm) oder MRT => bessere Detektion von Osteolysen und Weichteilbefall durch das MM • Bauchfettaspiration zum Ausschluss Amyloidose Lütje etal Ann Hematol (2009) 88:1161–1168
  • 115.
    Multiples Myelom Diagnose eines(symptomatischen) Myeloms ist sicher, wenn: • > 10 % Plasmazellen im Knochenmark (asekretorisches Myelom: >30%) und/oder histologischer Nachweis eines Plasmozytoms und • Nachweis eines monoklonales Proteins (Urin oder Serum) und • Endorganschaden (siehe Therapieindikation) Davon abzugrenzen ist die Monoklonale Gammopathie unklarer Signifikanz (MGUS) und das asymptomatische (oder smoldering) Myelom (entspricht etwa Stadium I nach Durie u. Salmon) International Myeloma Working Group 2003
  • 116.
    MGUS (55%) Smoldering Myeloma(3%) Lymphoprolif. Diseases (3%) Others (5%) Monoklonale Gammopathien M.Waldenström (2%) Solitary Plasmacytoma (2%) Amyloidosis AL (12%) Multiple Myeloma (18%) n= 882 Adapted from Kyle RA, 1997
  • 117.
    Multiples Myelom MGUS Monoklonales Paraproteinim Serum und/oder Urin aber • Konzentration niedrig (IgG < 30 g/l, IgA < 20 g/l, Bence- Jones-Protein < 1 g/24h) • keine Osteolysen, keine Endorganschäden (CRAB) • Plasmazellzahl im Knochenmark < 10% • Kein Hinweis auf andere monoklonale Erkrankung (z.B. M. Waldenström) Übergang in ein MM: 1% / Jahr => Daher regelmäßige Kontrollen (alle 3 Monate) erforderlich Bladé, NEJM 2006, 355, 2765 Landgren etal, Blood 2009;113:5412 Kyle etal, Leukemia 2009;23:3
  • 118.
    Multiples Myelom Behandlungsindikation desMyeloms (CRAB): (nach der International Myeloma Working Group) C R A B = Calcium-Anstieg > 2,75 mmol/l = Renal: Kreatinin > 2 mg/dl = Anämie: Hb < 10 g/dl oder Abfall um 2 g/dl = Bone lesions: Osteolysen oder Osteoporose mit Frakturen weitere Kriterien: Amyloidose, Hyperviskosität, wiederholte Infekte (> 2/Jahr) International Myeloma working group, Br J Hem 2003;121:749
  • 119.
    Multiples Myelom 1. 2. 3. 4. 5. Definition /Pathogenes (kurz) Diagnostik Stadieneinteilung / Prognose Therapie Zusammenfassung
  • 120.
    Multiples Myelom Stadieneinteilung nachDurie und Salmon: Durie etal, Cancer 1975 - spielt nur noch untergeordnete Rolle Stadium I : (alle Kriterien) Hb > 10 g/dl Calcium im Normbereich max. 1 solitärer ossärer Herd Paraproteine: IgG < 5 g/dl, IgA < 3 g/dl Bence Jones-Proteinurie < 4 g / 24h Stadium II : weder I noch III Stadium III : Hb < 8,5 g/dl (mind. 1 Kriterium) Calcium erhöht multiple Osteolysen IgG > 7 g/dl, IgA > 5 g/dl Bence-Jones-Proteinurie > 12 g / 24h Zusatz A bei Kreatinin < 2 mg/dl Zusatz B bei Kreatinin > 2 mg/dl
  • 121.
    Multiples Myelom „neuer“: ISS(International Staging System) Albumin ß2-MG Mittl. OS Stadium Stadium Stadium I II III > 3,5 g/dl < 3,5 mg/l weder I noch III > 5,5 mg/l 62 Mo 44 Mo 29 Mo ABER: erstellt VOR Einsatz von Lenalidomid / Bortezomib / Thalidomid ß2-MG kann auch bei Niereninsuffizienz erhöht sein Zur weiteren / besseren Risikoeinschätzung sollten zytogenetische Untersuchungen durchgeführt werden Greipp etal, JCO 2005;23:3412 Rajkumar etal, Leukemia 2009
  • 122.
    Multiples Myelom High-Risk (25%) FISH: •Del 17p- • t(4;14) • t(14;16) Standard-Risk (75%) ** Alle anderen, inkl.: Hyperdiploid t(11;14) t(6;14) Zytogenetik: • Deletion 13 • Hypodiploidität PCLI >3% Schlechtes Ansprechen auf die Primärtherapie **Low risk mit β-2 microglobulin > 5.5 (ohne Niereninsuffizienz) oder LDH >obere Norm haben wahrscheinlich ein höheres Risiko. PCLI = plasma cell labeling index = Proliferationsrate monoklonaler Plasmazellen
  • 123.
    Multiples Myelom 1. 2. 3. 4. 5. Definition /Pathogenes (kurz) Diagnostik Stadieneinteilung / Prognose Therapie Zusammenfassung
  • 124.
    Multiples Myelom „State ofthe art“ bis Ende 2007 (Kongress ASH) Bis 65 (-75) Jahre „transplantabel“ • Induktionschemotherapie meist mit VAD (Vincristin, Adriamycin, Dexamethason) Ansprechraten: 50-80%, CR ca. 8-10% • Autologe Stammzelltransplantation Ansprechraten: >80%, CR ca. 40-50% Überleben: 54-72 Monate bzw. ca. 50% nach 5 Jahren, • Wenn kein sehr gutes Ansprechen (VGPR) : zweite autologe Stammzelltransplantation Attal, et al N Engl J Med 1996;335:91-7, Child et al N Engl J Med 2003;348:1875-1883 Palumbo Blood 2004;104:3052–3057
  • 125.
    Attal et al, NEngl J Med 2003;349:2495-2502
  • 126.
    Multiples Myelom Über 65(-75) Jahre, „nicht transplantabel“ Palliative Chemotherapie: Melphalan-Prednisolon (MP) Dexamethason-Stoß-Therapie evt. VAD => Ansprechraten: 40-60%, CR ca. 5 % Rezidivfreies Überleben ca. 18 Monate Gesamtüberleben: ca. 30 Monate Alexanian et al, Journal of the American Medical Association,1969:208;1680-7 Alexanian et al, Annals of Internal Medicine,1989:105;8–11 Myeloma Trialists’ Collaborative Group, JCO,1998:16, 3832–3842 Hernandez et al, British Journal of Haematology, 2004:127,159–164
  • 127.
    Multiples Myelom „Neue“ Medikamentezur Behandlung des MM: IMiDS (Immunmodulatoren) Downregulation von Interleukin-6, nuclear factor κ-B und aktiviert Caspase 8 in vitro Thalidomid, Lenalidomid (Revlimid®) Proteasominhibitor induziert Apoptose, blockiert Zytokine, Zelladhäsion Bortezomib (Velcade®)
  • 128.
    Multiples Myelom • Thalidomid: oraleApplikation, Dosis 50-400 mg tgl. NW: ZNS (25%), Gastrointest. (16%), Neurol. (9%) TVT bei 2-5% der Patienten => Antikoagulation Abgabe nur auf „T-Rezept“ Teratogen (Contergan®) !!!!! Pat. müssen aufgeklärt werden, auch Männer !!! • Lenalidomid (Revlimid®): Thalidomid-Analogon, ebenfalls orale Applikation Mehr Anti-Myelom-Aktivität Günstigeres Nebenwirkungsprofil, aber mehr Myelosuppression Thromboseprophylaxe! Verordnung auf „T-Rezept“ Teratogen (siehe oben)
  • 129.
    Multiples Myelom • Bortezomib(Velcade®): • • • • Proteasomen : Enzymkomplexe, die markierte intrazelluläre Proteine kontrolliert abbauen. Bestimmte Signalproteine können damit zu einer bestimmten Zeit an einem bestimmten Ort wirken bzw. Inaktiviert werden. Bortezomib – Hemmung der Proteasomen – Verhindert den intrazellulären Proteinabbau – Vielzahl von Signalkaskaden in der Krebszelle unterbrochen Ergebnis der Proteasom-Inhibition – Hemmung des Tumorwachstums – Hemmung der Angiogenese – Hemmung der Interaktion mit Stromazellen – Apoptose der Krebszellen Tox.: Thrombopenie, Neutropenie, rev. Neuropathie, gehäuft Herpes zoster
  • 130.
    Multiples Myelom Was hatsich geändert: Patienten > 65 Jahre: MP + Thalidomid oder Bortezomib autologe Transplantation nur bei gutem AZ oder Rezidiv Facon etal, Lancet, 370:1209 MP vs MPT vs autologe Tx (Melphalan 100mg/m²)
  • 131.
    Multiples Myelom VISTA-Studie: SanMiguel etal, NEJM 2008;359;906 Bortezomib + MP vs MP bei Patienten > 65 J
  • 132.
    Multiples Myelom Patienten <65 Jahre: nach wie vor ist die (Doppel)hochdosistherapie Standard geändert hat sich die Induktionstherapie => bisher kein eindeutiger Standard => DSMM XI-Studie: 3 Zyklen Bortezomib, Cyclophosphamid und Dexamethason => ORR 84%, CR 12,5% => auch besseres outcome nach autologer TX aber auch Induktionsschemata mit Lenalidomid und Thalidomid Erhaltungstherapie (über 12 Monate) nach autologer Tx mit Thalidomid + Prednisolon verlängert 3-Jahres OS von 75 auf 83% Spencer etal, JCO 2009;27: 1788
  • 133.
    Multiples Myelom Allogene Transplantation: -bei jungen fitten Patienten eine Option - durch dosisreduzierte Konditionierung vor Transplantation konnte die transplantations- assoziierte Mortalität unter 20 % gesenkt werden. - Einzige potentiell kurative Option - Als first line nach Autologer TX nur im Rahmen von Studien - bisher KEIN Standard aber bei Hochrisiko-Patienten immer prüfen, ob evt. als Option möglich - Auto-Allo ist 2 x autologer TX überlegen Bruno etal, NEJM 2007;356:1110 Bensinger etal; JCO 2006;26:480 Kröger etal; Leukemia 2007;21:1851
  • 134.
    Multiples Myelom 1. 2. 3. 4. 5. Definition /Pathogenes (kurz) Diagnostik Stadieneinteilung / Prognose Therapie Zusammenfassung
  • 135.
    Multiples Myelom ZUSAMMENFASSUNG: Patienten >65Jahre bzw. ungeeignet für eine autologe TX: MP + neue Substanz (Thalidomid / Lenalidomid / Bortezomib) oder Neue Substanz ± Dexamethason multiple Applikation von hochdosiertem Dexamethason ist mit erhöhter Mortalität verbunden => Lenalidomid + Dexa nur noch mit 40 mg Dexa/Woche Rajkumar etal, Blood 2007
  • 136.
    Multiples Myelom Patienten <65Jahre: Autologe Doppelhochdosis-Transplantation ist noch Standard (verlängert PFS und OS) Unklar ist die optimale Induktionstherapie => mindestens ein neues Medikament, evt. auch Kombination von 2 Allogene Transplantation als kurative Option => sollte nur im Rahmen von randomisierten Studien erfolgen (Hochrisikopatienten) Nach Transplantation Erhaltungstherapie über 1 Jahr mit Thalidomid
  • 137.
  • 138.