Gallengangs- und Pankreaserkrankungen
Bruno Neu
II. Medizinische Klinik
Klinikum rechts der Isar
Weiterbildungskurs Facharzt Innere Medizin
23.02.2010
Übersicht
Erkrankungen der ableitenden Gallenwege
•
•
•
•
Cholezystolithiasis/Cholezystitis
Choledocholithiasis/Cholangitis
extrahepatische Cholestase
intrahepatische Cholestase (PSC, Klatskin)
Pankreaserkrankungen
• akute Pankreatitis
• chronische Pankreatitis
• Pankreaskarzinom
Cholezystolithiasis
Prävalenz Cholezystolithiasis
• Cholesterinsteine und gemischte Steine:
• Bilirubin- (Pigment-) steine
verkalkte Steine (Entzündung)
• stumme Gallensteine
• symptomatische Gallensteine
• Gallenblasen- und Gangsteine
23,5%
80%
20%
20%
75%
25%
10-15%
Choledocholithiasis
Prävalenz Choledocholithiasis
• Primäre Gangsteine (Pigmentsteine)
• Sekundäre Gangsteine
(Cholesterinsteine aus der GaBla)
• Komplikationen
(Ikterus, Cholangitis, Pankreatitis)
0,2%
50%
Klinik
Cholezystitis/Choledocholithiasis
• Koliken: Steineinklemmung/Passage D. cystikus, D.
choledochus, Papilla Vateri
• akute biliäre Pankreatitis
• unspezifische Oberbauchbeschwerden (Druck- und
Völlegefühl, Unverträglichkeit von bestimmten
Speisen
• Murphy-Zeichen (Stoppen der Inspiration bei
Palpation der druckschmerzhaften Gallenblase)
 Courvoisier-Zeichen (palpatorisch vergrerte
Gabla und schmerzloser Ikterus)
Choledocholithiasis-
Fallbeispiel
•
•
•
•
JR; männl. 63 Jahre
Klinik: seit ca. 10 Tage rezidivierend Koliken
OBS (4 Tage vor Aufnahme): Hydrops der
Gallenblase bei „Sludge“, DHC 9 mm
OBS (Tag der Aufnahme): Intra- und
extrahepatische Gallengänge nicht dilatiert
(DHC 5 mm)
Choledocholithiasis-
Fallbeispiel
Labor:
Bili 1,1mg/dl
AP 91 U/l
Gamma-GT 58 U/l
CRP 2,4 mg/dl
Procedere: nichts, MRCP, ERCP, ...??
Choledocholithiasis-
Fallbeispiel
Methode Sensitivit ät Spezifiti ät
ERCP 90-95% > 95%
MRCP 80-98% 84-95%
EUS 88-97% 96-100%
OBS 55-91%
CT 50-75%
Diagnostik der
Choledocholithiasis
MRCP: schlecht in der Darstellung kleiner Steine (< 5 mm) und papillennaher Steine!
EUS: schlecht nach EPT (Artfakte durch Luft)!
Palliative Therapie bei Tonnenkonkrement
Therapieoptionen der
Choledocholithiasis
1. Mechanische Lithotrypsie
2. Mother-Baby-Cholangioskopie mit Laserlithotrypsie
oder elektrohydraulischer Lithotrypsie
3. Extrakorporale Stoßwellenlithotrypsie (ESWL)
Operation
ERCP
Endoprothese
PTCD
ERCP - Choledocholithiasis
Indikationen zur Notfall-ERCP
1. Akute biliäre Pankreatitis
2. Akute obstruktive Cholangitis
Gallengangsstenosen
Intrahepatisch:PSC, CCC, Metastasen,
Zysten
Hilus: CCC, LK, Metastasen
Mittlerer DC: GB-Karzinom, Metastasen
iatrogen
Distal: cP, Pankreaskopfkarzinom,
distales CCC
Papillär: SOD, Papillenneoplasie
Beurteilung der Papillenregion
Papilla minor
Papilla major
•
•
•
•
•
Öffnung
Sekretion
Schwellung?
Tumor?
Schleimhaut
Papillenregion
Cholangitis Inkarzerierter Stein Papillenkarzinom
Z.n. Steinabgang V.a. IPMT
Choledocholithiasis...?
...Adenokarzinom der Papille, G2
Stenting von Choledochusstenosen bei
chronischer Pankreatitis
•
•
•
•
•
31% Stentfrei nach einem Jahr
20% permanente Stentträger nach 1 Jahr
49 % Operation notwendig
Keine Todesfälle innerhalb von 1 Jahr
Patienten mit Kalkablagerung im Pankreaskopf
profitieren stärker von Stents
Kahl, AJG 2004
ERCP - Pankreaskarzinom
Prognose > 3 Monate -> Metallstent
AC Moss et al. Cochrane Database Syst Rev CD004200 2006
S3-Leitlinie „Exokrines Pankreaskarzinom“ der DGVS 2007
Benigne , postoperative
Gallengangsstenose
ERCP - Klatskin- Tumor
• Heilbar nur durch Operation (Klatskin Bismuth I-IIIa)
• Schlechtes Ansprechen auf CTX
• Palliative Therapie
durch alleininge Stenttherapie
durch Stenttherapie und Photodynamische Therapie
-> Vermeidung von Cholangitiden
Photodynamische Therapie
• Applikation eines Photosensibilisators (z. B. Porfimer-Na+)
48 h vor Anwendung
• Lichtschutz des Patienten
• Antibiotikaprophylaxe (z.B. Ceftriaxon i.v. 3d, dann oral)
• Lokale Anwendung einer Lasersonde (Farbstofflaser)
• Entstehung von hochreaktiven Sauerstoffspezies
• Nekrose/Apoptose in 10-15 mm Tiefe
Photodynamische Therapie
Klatskin-Tumor, Bismuth III, vor PDT nach PDT
Stenttherapie
19 vs.
20
16 vs.
16
n
96
3,3 vs.
16,4
7 vs.
21
MÜLZ in
Monaten
2,5 –6,6
12
Stenting vs.
PDT+Stenting
Stenting vs.
PDT+Stenting
Ortner et. al.,
Gastroenterology
2003
Zoepf et al.
AJG 2005
Kommentar
alleinige
Stenttherapie
alleinige
Studien
in prospektiven,
randomisierten
Studien
MRI:
Photodynamische Therapie
MÜLZ
Prim är Sklerosierende Cholangitis
• ERCP Goldstandard
• Sens. der MRCP 82%
• Spez. der MRCP 98%
• ERCP erkennt
periphere
Veränderungen im
Frühstadium
• MRCP detektiert prae-
stenotische
Dilatationen
Talwalkar et al, 2004 Hepatology
bilär
Alkohol
Initiales intrazelluläres Ereignis
Akute Pancreatitis
Hyperkalzämie
genetisch
Infektion
Trauma
Hyperlipidämie
ERCP
Medikamente
idiopathisch
Ä tiologie der akuten Pankreatitis
trypsin
enzyme
trypsin
chymotrypsin
elastase
kallikrein
carboxypeptidase A
carboxypeptidase B
phospholipase A2
colipase
entero kinase
zymogen
trypsinogen
chymotrypsinogen
proelastase
kallikreinogen
procarboxypeptidase A
procarboxypeptidase B
prophospholipase A2
procolipase
H Rinderknecht, in: The Exocrine Pancreas, 1986
Akute Pankreatitis
trypsinogen
11 interstitial
28 necrotizing
hematocrit
-increase
-decrease
rehydration
presentation
0h 47,7%
24h 12
24h 16
4,2 l
18 h
46,4%
0
11
4,1 l
38 h
n.s.
p=0.009
n.s.
n.s.
p=0.005
Brown et al. Pancreatology 2002; 2: 104-107
Volumengabe verhindert schweren
Verlauf der aP
n=39; hematocrit >44%
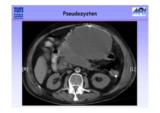
Pseudozysten
Chronic pancreatitis (CP) is a continuing
inflammatory disease of the pancreas
characterized by irreversible morphologic changes
that typically cause pain and permanent loss of
exocrine and/or endocrine function.
Sarles et al., Gastroenterology 1989
Definition der chronischen
Pankreatitis
Chronische Pankreatitis
Endoskopiebilder.de
grade of injury
time
attacks of
pancreatitis
Verlauf der chronischen
Pankreatitis
alcohol idiopathic metabolic anatomic hereditary
Ä tiologie der chronischen
Pankreatitis
70-75%
20-25%
•
•
•
•
•
•
Früher erster Schub
positive Familienanamnese
Fehlen von Risikofaktoren
autosomal dominant
Hohe Penetranz (80 %) bei Zwillingen
Erhöhtes Risko für Pancreaskarzinom
Comfort & Steinberg 1952
Heredit äre Pankreatitis
pancreas divisum
Santorini
duct fusion
Wirsungianus
normal pancreas
mod. from Soehendra et al 1997
Pankreas divisum
duct fusion
drainage via
Santorini & minor papille
mod. from Soehendra et al 1997
Inkomplettes Pankreas divisum
• Frühdiagnose des DADC ist selten
• bei Diagnosestellung: 10 - 20 % resektabel,
< 1 % heilbar
• großflächige Resekton unmöglich
• Perineural Infiltration, frühe Metastasierung in
Lymphknoten, Peritoneum und Leber
• Kaum Ansprechen auf CTX oder RTX
Pankreaskarzinom
CDKN2 (p16)
STK11 (LKB1)
APC
MSH2, MLH1
BRCA1/2
TP53 (p53)
VHL (pVHL)
FANCC, FANCG
PRSS1
• FAMMM-Syndrom
• Peutz-Jeghers Syndrom
• FAP
• HNPCC
• BRCA1/2-assoziierte Karz.
• Li-Fraumeni Syndrom
• Von Hippel-Lindau
• Fanoconi-Anämie
• Hereditäre Pankreatitis
• Familiäres Pankreaskarzinom
Pankreaskarzinom – Genetische
Disposition
• Sonographie = „Screeningmethode“
• Endosonographie = Goldstandard bei der Detektion,
T-Staging und Vorhersage der Resektabilität
• Schnittbildgebung
– qualitativ hochwertiges Mehrzeilen CT:
N-Staging, Metastasierung, Resektabilität
– MRT zur Detektion des Pankreaskarzinoms?
Pankreaskarzinom - Diagnostik
Pankreaskarzinom:
medianes Überleben
• Resektabel:
• Lokal fortgeschritten:
• Metastasiert:
• 5-Jahres ÜLR
15 - 19 Monate
6 - 10 Monate
3 - 6 Monate
< 5%
• Von 4.922 Patienten lebten nach 5 Jahre noch 26.
• Davon lag nur bei 10 ein gesichertes Pankreas-
karzinom vor.
• 9 dieser 10 Patienten starben zwischen 5,08 und 13,4
Jahren (Median 5,4 Jahre), 7 davon an einem Rezidiv.
• 1 Patient lebte noch nach 13,4 Jahren
(Stadium IB, Grading 1).
O,02 % Heilung
Ist das Pankreaskarzinom heilbar?
Carpelan-Holmström M et al, 2005, Gut, 54: 385-387
Medikament ö se Therapie des
Pankreaskarzinoms
 Standard: adjuvante Therapie mit Gemcitabine
 Gem + Erlotinib bei Patienten mit
metastasierter Erkrankung + Hautreaktion
 2nd line Therapie ist auch beim
Pankreaskarzinom Standard

15.310 Gallengangserkrankungen.