Patienten TV 2009
Krank-  durch tote Zähne?
Leiden sie unter funktionellen Beschwerden im: Migräne und Kopfschmerzen
Leiden sie unter funktionellen Beschwerden im: Allergien Ekzeme &  Hauterkrankungen Konzentrationsschwäche
Dann sollten wir  Sie untersuchen! Denn oft liegt im Mund. die Ursache
Es gibt einen klaren Zusammenhang zwischen  Ihrem Körper und  Ihren Zähnen!
 
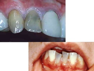
Die Ursache: Tote Zähne = Bakterien in Ihrem Körper!
 
Endodontie: Die Rettung  von toten Zähnen
Das neue   Behandlungs- Konzept Endodontie beseitigt alle Bakterien im Zahn. Neues  Behandlungs-  Konzept
Wurzelkanalbehandlung (Stand: 06/2007)
 
ZA Alexander Grieb Spezialist für Zahnerhaltung  (Endodontie)
 
Nach der  Untersuchung  beraten wir Sie  gerne über  die Behandlungs-möglichkeiten.
Sprechen Sie uns an!

Dr. Koch - Tote Zähne