INTERVENTIONELLE ONKOLOGIE:
EXTRAHEPATISCHE ABLATION
Mikrowellenablation –
Fallvorstellung & Diskussion
Björn H. Gemein · SAINT 2011 · 3.-4. Oktober 2011
Zentralinstitut für Radiologie und Neuroradiologie
Krankenhaus Nordwest GmbH · Frankfurt am Main
Chefarzt: Prof. Dr. med. Markus Düx
Technische Grundlagen der
Mikrowellenablation
ZIRN.KHNW.FFM · SAINT 2011 · 3.-4. Oktober 2011
E x t r a h e p a t i s c h e M i k r o w e l l e n a b l a t i o n
ZIRN.KHNW.FFM · SAINT 2011 · 3.-4. Oktober 2011
E x t r a h e p a t i s c h e M i k r o w e l l e n a b l a t i o n
© Covidien
Ablationsnadel (Antenne)
und Generator
Wirkvolumen einer 3,7 cm
Ablationsnadel (Antenne)
45 Watt, 10 Minuten
A = 2,8 cm, B = 4,0 cm, M = 0,7 cm, Volumen = 16 cm³
(2 Antennen: 36 cm³, 3 Antennen: 56 cm³)
ZIRN.KHNW.FFM · SAINT 2011 · 3.-4. Oktober 2011
E x t r a h e p a t i s c h e M i k r o w e l l e n a b l a t i o n
© Covidien
ZIRN.KHNW.FFM · SAINT 2011 · 3.-4. Oktober 2011
E x t r a h e p a t i s c h e M i k r o w e l l e n a b l a t i o n
Bewegung der Wassermoleküle
© Covidien
ZIRN.KHNW.FFM · SAINT 2011 · 3.-4. Oktober 2011
E x t r a h e p a t i s c h e M i k r o w e l l e n a b l a t i o n
Frequenz 915 – 2450 MHz versetzt Wassermoleküle in
Rotation und Vibration, dies führt zu Reibung, die hieraus
resultierende Hitzeentwicklung führt zur Zerstörung des im
Wirkungsbereich liegenden Gewebes.
Vorteile
ZIRN.KHNW.FFM · SAINT 2011 · 3.-4. Oktober 2011
E x t r a h e p a t i s c h e M i k r o w e l l e n a b l a t i o n
ZIRN.KHNW.FFM · SAINT 2011 · 3.-4. Oktober 2011
E x t r a h e p a t i s c h e M i k r o w e l l e n a b l a t i o n
● Hohe Temperatur
● Kurze Ablationsdauer
● Hohe Eindringtiefe
● Geringer „heat sink“-Effekt
● Parallele Verwendung mehrerer
Nadeln (Antennen)
● Geringe Patientenbelastung
● Kurzer Krankenhausaufenthalt
Indikationen
ZIRN.KHNW.FFM · SAINT 2011 · 3.-4. Oktober 2011
E x t r a h e p a t i s c h e M i k r o w e l l e n a b l a t i o n
ZIRN.KHNW.FFM · SAINT 2011 · 3.-4. Oktober 2011
E x t r a h e p a t i s c h e M i k r o w e l l e n a b l a t i o n
● Wenn eine kurative Therapie nicht
möglich ist aufgrund des
Gesundheitszustandes
● Wenn eine Tumorreduktion einen
Benefit in der Behandlung bringt
● Wenn der Patient eine operative
Resektion ablehnt
Fallbeispiele
ZIRN.KHNW.FFM · SAINT 2011 · 3.-4. Oktober 2011
E x t r a h e p a t i s c h e M i k r o w e l l e n a b l a t i o n
Mikrowellenablation
als Therapie bei
lokal begrenzter
langfristig stabiler
Metastasierung
mit langsamem Progress einzelner
Metastasen
ZIRN.KHNW.FFM · SAINT 2011 · 3.-4. Oktober 2011
E x t r a h e p a t i s c h e M i k r o w e l l e n a b l a t i o n
Fallbeispiel #1
ZIRN.KHNW.FFM · SAINT 2011 · 3.-4. Oktober 2011
E x t r a h e p a t i s c h e M i k r o w e l l e n a b l a t i o n
Patient: Männlich, 74 Jahre
Diagnose: Malignes Melanom,
Metastasierung lokal begrenzt
(3 peritoneale Metastasen).
ZIRN.KHNW.FFM · SAINT 2011 · 3.-4. Oktober 2011
E x t r a h e p a t i s c h e M i k r o w e l l e n a b l a t i o n
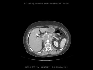
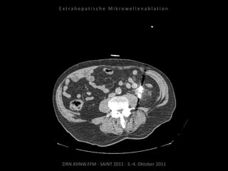
Ausgangsbildgebung:
CT vom 21.12.2009
ZIRN.KHNW.FFM · SAINT 2011 · 3.-4. Oktober 2011
E x t r a h e p a t i s c h e M i k r o w e l l e n a b l a t i o n
ZIRN.KHNW.FFM · SAINT 2011 · 3.-4. Oktober 2011
E x t r a h e p a t i s c h e M i k r o w e l l e n a b l a t i o n
ZIRN.KHNW.FFM · SAINT 2011 · 3.-4. Oktober 2011
E x t r a h e p a t i s c h e M i k r o w e l l e n a b l a t i o n
ZIRN.KHNW.FFM · SAINT 2011 · 3.-4. Oktober 2011
E x t r a h e p a t i s c h e M i k r o w e l l e n a b l a t i o n
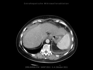
Bildgebung vor MWA:
CT vom 14.07.2010
Metastase lateral der linken Niere
nahe Colon descendens progredient.
ZIRN.KHNW.FFM · SAINT 2011 · 3.-4. Oktober 2011
E x t r a h e p a t i s c h e M i k r o w e l l e n a b l a t i o n
ZIRN.KHNW.FFM · SAINT 2011 · 3.-4. Oktober 2011
E x t r a h e p a t i s c h e M i k r o w e l l e n a b l a t i o n
ZIRN.KHNW.FFM · SAINT 2011 · 3.-4. Oktober 2011
E x t r a h e p a t i s c h e M i k r o w e l l e n a b l a t i o n
ZIRN.KHNW.FFM · SAINT 2011 · 3.-4. Oktober 2011
E x t r a h e p a t i s c h e M i k r o w e l l e n a b l a t i o n
Situation:
Metastasierung über längeren Zeitraum
lokal begrenzt,
1 Metastase progredient.
Organnahe Lage in unmittelbarer
Nachbarschaft zur linken Niere bzw. zum
Colon descendens.
ZIRN.KHNW.FFM · SAINT 2011 · 3.-4. Oktober 2011
E x t r a h e p a t i s c h e M i k r o w e l l e n a b l a t i o n
Ziel:
Destruktion der Metastasen unter
Schonung der benachbarten Organe.
ZIRN.KHNW.FFM · SAINT 2011 · 3.-4. Oktober 2011
E x t r a h e p a t i s c h e M i k r o w e l l e n a b l a t i o n
Indikation zur MWA:
Gezielte Destruktion der räumlich
limitierten Metastasen.
ZIRN.KHNW.FFM · SAINT 2011 · 3.-4. Oktober 2011
E x t r a h e p a t i s c h e M i k r o w e l l e n a b l a t i o n
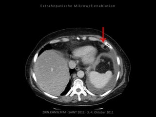
Ablation am 17.08.2010
Metastase lateral der linken Niere:
1 Nadelposition.
ZIRN.KHNW.FFM · SAINT 2011 · 3.-4. Oktober 2011
E x t r a h e p a t i s c h e M i k r o w e l l e n a b l a t i o n
ZIRN.KHNW.FFM · SAINT 2011 · 3.-4. Oktober 2011
E x t r a h e p a t i s c h e M i k r o w e l l e n a b l a t i o n
ZIRN.KHNW.FFM · SAINT 2011 · 3.-4. Oktober 2011
E x t r a h e p a t i s c h e M i k r o w e l l e n a b l a t i o n
Metastase medial des linken
Musculus iliacus:
1 Nadelposition.
ZIRN.KHNW.FFM · SAINT 2011 · 3.-4. Oktober 2011
E x t r a h e p a t i s c h e M i k r o w e l l e n a b l a t i o n
ZIRN.KHNW.FFM · SAINT 2011 · 3.-4. Oktober 2011
E x t r a h e p a t i s c h e M i k r o w e l l e n a b l a t i o n
ZIRN.KHNW.FFM · SAINT 2011 · 3.-4. Oktober 2011
E x t r a h e p a t i s c h e M i k r o w e l l e n a b l a t i o n
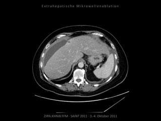
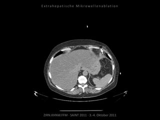
Kontrollbildgebung:
CT 18.08.2010
MRT 08.09.2010
Restvitalität von 2 Metastasen.
Nadelposition unzureichend?
ZIRN.KHNW.FFM · SAINT 2011 · 3.-4. Oktober 2011
E x t r a h e p a t i s c h e M i k r o w e l l e n a b l a t i o n
ZIRN.KHNW.FFM · SAINT 2011 · 3.-4. Oktober 2011
E x t r a h e p a t i s c h e M i k r o w e l l e n a b l a t i o n
ZIRN.KHNW.FFM · SAINT 2011 · 3.-4. Oktober 2011
E x t r a h e p a t i s c h e M i k r o w e l l e n a b l a t i o n
ZIRN.KHNW.FFM · SAINT 2011 · 3.-4. Oktober 2011
E x t r a h e p a t i s c h e M i k r o w e l l e n a b l a t i o n
ZIRN.KHNW.FFM · SAINT 2011 · 3.-4. Oktober 2011
E x t r a h e p a t i s c h e M i k r o w e l l e n a b l a t i o n
ZIRN.KHNW.FFM · SAINT 2011 · 3.-4. Oktober 2011
E x t r a h e p a t i s c h e M i k r o w e l l e n a b l a t i o n
ZIRN.KHNW.FFM · SAINT 2011 · 3.-4. Oktober 2011
E x t r a h e p a t i s c h e M i k r o w e l l e n a b l a t i o n
ZIRN.KHNW.FFM · SAINT 2011 · 3.-4. Oktober 2011
E x t r a h e p a t i s c h e M i k r o w e l l e n a b l a t i o n
ZIRN.KHNW.FFM · SAINT 2011 · 3.-4. Oktober 2011
E x t r a h e p a t i s c h e M i k r o w e l l e n a b l a t i o n
ZIRN.KHNW.FFM · SAINT 2011 · 3.-4. Oktober 2011
E x t r a h e p a t i s c h e M i k r o w e l l e n a b l a t i o n
Erneute Ablation von 2 peritonealen
Metastasen am 09.09.2010.
ZIRN.KHNW.FFM · SAINT 2011 · 3.-4. Oktober 2011
E x t r a h e p a t i s c h e M i k r o w e l l e n a b l a t i o n
Metastase kaudal der linken Niere:
Apikal 2 Nadelpositionen.
Kaudal 1 Nadelposition.
ZIRN.KHNW.FFM · SAINT 2011 · 3.-4. Oktober 2011
E x t r a h e p a t i s c h e M i k r o w e l l e n a b l a t i o n
ZIRN.KHNW.FFM · SAINT 2011 · 3.-4. Oktober 2011
E x t r a h e p a t i s c h e M i k r o w e l l e n a b l a t i o n
ZIRN.KHNW.FFM · SAINT 2011 · 3.-4. Oktober 2011
E x t r a h e p a t i s c h e M i k r o w e l l e n a b l a t i o n
ZIRN.KHNW.FFM · SAINT 2011 · 3.-4. Oktober 2011
E x t r a h e p a t i s c h e M i k r o w e l l e n a b l a t i o n
Metastase lateral der linken Niere:
1 Nadelposition.
ZIRN.KHNW.FFM · SAINT 2011 · 3.-4. Oktober 2011
E x t r a h e p a t i s c h e M i k r o w e l l e n a b l a t i o n
ZIRN.KHNW.FFM · SAINT 2011 · 3.-4. Oktober 2011
E x t r a h e p a t i s c h e M i k r o w e l l e n a b l a t i o n
ZIRN.KHNW.FFM · SAINT 2011 · 3.-4. Oktober 2011
E x t r a h e p a t i s c h e M i k r o w e l l e n a b l a t i o n
Kontrollbildgebung:
MRT 10.09.2010
ZIRN.KHNW.FFM · SAINT 2011 · 3.-4. Oktober 2011
E x t r a h e p a t i s c h e M i k r o w e l l e n a b l a t i o n
ZIRN.KHNW.FFM · SAINT 2011 · 3.-4. Oktober 2011
E x t r a h e p a t i s c h e M i k r o w e l l e n a b l a t i o n
ZIRN.KHNW.FFM · SAINT 2011 · 3.-4. Oktober 2011
E x t r a h e p a t i s c h e M i k r o w e l l e n a b l a t i o n
ZIRN.KHNW.FFM · SAINT 2011 · 3.-4. Oktober 2011
E x t r a h e p a t i s c h e M i k r o w e l l e n a b l a t i o n
Verlaufskontrolle:
CT 21.10.2010
MRT 21.01.2011
MRT 08.04.2011
Zunehmende Tumoraktivität der
Metastase kaudal der linken Niere
ohne signifikante Größenzunahme.
ZIRN.KHNW.FFM · SAINT 2011 · 3.-4. Oktober 2011
E x t r a h e p a t i s c h e M i k r o w e l l e n a b l a t i o n
ZIRN.KHNW.FFM · SAINT 2011 · 3.-4. Oktober 2011
E x t r a h e p a t i s c h e M i k r o w e l l e n a b l a t i o n
ZIRN.KHNW.FFM · SAINT 2011 · 3.-4. Oktober 2011
E x t r a h e p a t i s c h e M i k r o w e l l e n a b l a t i o n
ZIRN.KHNW.FFM · SAINT 2011 · 3.-4. Oktober 2011
E x t r a h e p a t i s c h e M i k r o w e l l e n a b l a t i o n
Erneute Ablation der Metastase
kaudal der linken Niere am
09.05.2011:
2 Nadelpositionen.
ZIRN.KHNW.FFM · SAINT 2011 · 3.-4. Oktober 2011
E x t r a h e p a t i s c h e M i k r o w e l l e n a b l a t i o n
ZIRN.KHNW.FFM · SAINT 2011 · 3.-4. Oktober 2011
E x t r a h e p a t i s c h e M i k r o w e l l e n a b l a t i o n
ZIRN.KHNW.FFM · SAINT 2011 · 3.-4. Oktober 2011
E x t r a h e p a t i s c h e M i k r o w e l l e n a b l a t i o n
Verlaufskontrolle:
MRT 09.06.2011
MRT 10.08.2011
CT 15.08.2011
Keine weitere Tumorvitalität.
ZIRN.KHNW.FFM · SAINT 2011 · 3.-4. Oktober 2011
E x t r a h e p a t i s c h e M i k r o w e l l e n a b l a t i o n
ZIRN.KHNW.FFM · SAINT 2011 · 3.-4. Oktober 2011
E x t r a h e p a t i s c h e M i k r o w e l l e n a b l a t i o n
ZIRN.KHNW.FFM · SAINT 2011 · 3.-4. Oktober 2011
E x t r a h e p a t i s c h e M i k r o w e l l e n a b l a t i o n
ZIRN.KHNW.FFM · SAINT 2011 · 3.-4. Oktober 2011
E x t r a h e p a t i s c h e M i k r o w e l l e n a b l a t i o n
Resultat:
Die abladierten peritonealen
Metastasen zeigen keine Vitalität,
kein Nachweis weiterer (neu
aufgetretener) Metastasen.
ZIRN.KHNW.FFM · SAINT 2011 · 3.-4. Oktober 2011
E x t r a h e p a t i s c h e M i k r o w e l l e n a b l a t i o n
Fallbeispiel #2
ZIRN.KHNW.FFM · SAINT 2011 · 3.-4. Oktober 2011
E x t r a h e p a t i s c h e M i k r o w e l l e n a b l a t i o n
Patient: Weiblich, 71 Jahre
Diagnose: Ovarial-Ca,
größenprogredienter Lymphknoten
zwischen Herz und Leber als einzige
Metastase.
ZIRN.KHNW.FFM · SAINT 2011 · 3.-4. Oktober 2011
E x t r a h e p a t i s c h e M i k r o w e l l e n a b l a t i o n
Ausgangsbildgebung:
CT vom 16.08.2010
ZIRN.KHNW.FFM · SAINT 2011 · 3.-4. Oktober 2011
E x t r a h e p a t i s c h e M i k r o w e l l e n a b l a t i o n
ZIRN.KHNW.FFM · SAINT 2011 · 3.-4. Oktober 2011
E x t r a h e p a t i s c h e M i k r o w e l l e n a b l a t i o n
Verlaufskontrolle:
CT 13.12.2010
ZIRN.KHNW.FFM · SAINT 2011 · 3.-4. Oktober 2011
E x t r a h e p a t i s c h e M i k r o w e l l e n a b l a t i o n
ZIRN.KHNW.FFM · SAINT 2011 · 3.-4. Oktober 2011
E x t r a h e p a t i s c h e M i k r o w e l l e n a b l a t i o n
Bildgebung vor MWA:
CT 14.03.2011
ZIRN.KHNW.FFM · SAINT 2011 · 3.-4. Oktober 2011
E x t r a h e p a t i s c h e M i k r o w e l l e n a b l a t i o n
ZIRN.KHNW.FFM · SAINT 2011 · 3.-4. Oktober 2011
E x t r a h e p a t i s c h e M i k r o w e l l e n a b l a t i o n
Situation:
Nur 1 Metastase, diese ist jedoch
progredient. Kritische Lage in
Herznähe.
ZIRN.KHNW.FFM · SAINT 2011 · 3.-4. Oktober 2011
E x t r a h e p a t i s c h e M i k r o w e l l e n a b l a t i o n
Ziel:
Destruktion der solitären Metastase
unter Schonung der Nachbar-
strukturen.
ZIRN.KHNW.FFM · SAINT 2011 · 3.-4. Oktober 2011
E x t r a h e p a t i s c h e M i k r o w e l l e n a b l a t i o n
Indikation zur MWA:
Nachweis nur einer Metastase, diese
ist progredient, in der Größe gut zur
Ablation geeignet.
ZIRN.KHNW.FFM · SAINT 2011 · 3.-4. Oktober 2011
E x t r a h e p a t i s c h e M i k r o w e l l e n a b l a t i o n
Ablation am 24.03.2010:
2 Nadelpositionen.
ZIRN.KHNW.FFM · SAINT 2011 · 3.-4. Oktober 2011
E x t r a h e p a t i s c h e M i k r o w e l l e n a b l a t i o n
ZIRN.KHNW.FFM · SAINT 2011 · 3.-4. Oktober 2011
E x t r a h e p a t i s c h e M i k r o w e l l e n a b l a t i o n
ZIRN.KHNW.FFM · SAINT 2011 · 3.-4. Oktober 2011
E x t r a h e p a t i s c h e M i k r o w e l l e n a b l a t i o n
Kontrolle:
MRT 05.04.2010
Kein weiteres Wachstum.
ZIRN.KHNW.FFM · SAINT 2011 · 3.-4. Oktober 2011
E x t r a h e p a t i s c h e M i k r o w e l l e n a b l a t i o n
ZIRN.KHNW.FFM · SAINT 2011 · 3.-4. Oktober 2011
E x t r a h e p a t i s c h e M i k r o w e l l e n a b l a t i o n
ZIRN.KHNW.FFM · SAINT 2011 · 3.-4. Oktober 2011
E x t r a h e p a t i s c h e M i k r o w e l l e n a b l a t i o n
Verlaufskontrolle:
CT 24.06.2010
Behandelte Metastase nicht progredient.
Neu ist ein subkapsuläres Biliom DD
Serom DD Hämatom der Leber.
ZIRN.KHNW.FFM · SAINT 2011 · 3.-4. Oktober 2011
E x t r a h e p a t i s c h e M i k r o w e l l e n a b l a t i o n
ZIRN.KHNW.FFM · SAINT 2011 · 3.-4. Oktober 2011
E x t r a h e p a t i s c h e M i k r o w e l l e n a b l a t i o n
Verlaufskontrollen:
MRT 23.09.2010
CT 23.09.2010
Behandelte Metastase nicht progredient,
Biliom/Serom/Hämatom regredient.
ZIRN.KHNW.FFM · SAINT 2011 · 3.-4. Oktober 2011
E x t r a h e p a t i s c h e M i k r o w e l l e n a b l a t i o n
ZIRN.KHNW.FFM · SAINT 2011 · 3.-4. Oktober 2011
E x t r a h e p a t i s c h e M i k r o w e l l e n a b l a t i o n
ZIRN.KHNW.FFM · SAINT 2011 · 3.-4. Oktober 2011
E x t r a h e p a t i s c h e M i k r o w e l l e n a b l a t i o n
ZIRN.KHNW.FFM · SAINT 2011 · 3.-4. Oktober 2011
E x t r a h e p a t i s c h e M i k r o w e l l e n a b l a t i o n
Resultat:
Erfolgreiche Behandlung mit 2
Nadelpositionen.
ZIRN.KHNW.FFM · SAINT 2011 · 3.-4. Oktober 2011
E x t r a h e p a t i s c h e M i k r o w e l l e n a b l a t i o n
Fazit:
MWA geeignet bei limitierter Zahl
und Größe und relativ kritischer
Lage.
ZIRN.KHNW.FFM · SAINT 2011 · 3.-4. Oktober 2011
E x t r a h e p a t i s c h e M i k r o w e l l e n a b l a t i o n
Fallbeispiel #3
ZIRN.KHNW.FFM · SAINT 2011 · 3.-4. Oktober 2011
E x t r a h e p a t i s c h e M i k r o w e l l e n a b l a t i o n
Patient: Weiblich, 70 Jahre
Diagnose: Ovarialkarzinom,
Metastasierung lokal begrenzt
(1 peritoneale Metastase).
ZIRN.KHNW.FFM · SAINT 2011 · 3.-4. Oktober 2011
E x t r a h e p a t i s c h e M i k r o w e l l e n a b l a t i o n
Ausgangsbildgebung:
CT vom 19.10.2010
ZIRN.KHNW.FFM · SAINT 2011 · 3.-4. Oktober 2011
E x t r a h e p a t i s c h e M i k r o w e l l e n a b l a t i o n
ZIRN.KHNW.FFM · SAINT 2011 · 3.-4. Oktober 2011
E x t r a h e p a t i s c h e M i k r o w e l l e n a b l a t i o n
Bildgebung vor MWA:
CT vom 28.02.2011
ZIRN.KHNW.FFM · SAINT 2011 · 3.-4. Oktober 2011
E x t r a h e p a t i s c h e M i k r o w e l l e n a b l a t i o n
ZIRN.KHNW.FFM · SAINT 2011 · 3.-4. Oktober 2011
E x t r a h e p a t i s c h e M i k r o w e l l e n a b l a t i o n
Situation:
Nur 1 Metastase, diese jedoch
progredient.
ZIRN.KHNW.FFM · SAINT 2011 · 3.-4. Oktober 2011
E x t r a h e p a t i s c h e M i k r o w e l l e n a b l a t i o n
Ziel:
Destruktion der solitären Metastase.
ZIRN.KHNW.FFM · SAINT 2011 · 3.-4. Oktober 2011
E x t r a h e p a t i s c h e M i k r o w e l l e n a b l a t i o n
Indikation zur MWA:
Gezielte Destruktion der räumlich
limitierten Metastasen.
ZIRN.KHNW.FFM · SAINT 2011 · 3.-4. Oktober 2011
E x t r a h e p a t i s c h e M i k r o w e l l e n a b l a t i o n
Ablation am 17.03.2011
Lateral 1 Nadelposition.
Medial 1 Nadelposition.
ZIRN.KHNW.FFM · SAINT 2011 · 3.-4. Oktober 2011
E x t r a h e p a t i s c h e M i k r o w e l l e n a b l a t i o n
ZIRN.KHNW.FFM · SAINT 2011 · 3.-4. Oktober 2011
E x t r a h e p a t i s c h e M i k r o w e l l e n a b l a t i o n
ZIRN.KHNW.FFM · SAINT 2011 · 3.-4. Oktober 2011
E x t r a h e p a t i s c h e M i k r o w e l l e n a b l a t i o n
Kontrollbildgebung:
MRT 24.03.2011
Kein weiteres Wachstum.
ZIRN.KHNW.FFM · SAINT 2011 · 3.-4. Oktober 2011
E x t r a h e p a t i s c h e M i k r o w e l l e n a b l a t i o n
ZIRN.KHNW.FFM · SAINT 2011 · 3.-4. Oktober 2011
E x t r a h e p a t i s c h e M i k r o w e l l e n a b l a t i o n
ZIRN.KHNW.FFM · SAINT 2011 · 3.-4. Oktober 2011
E x t r a h e p a t i s c h e M i k r o w e l l e n a b l a t i o n
Verlaufskontrolle:
MRT 07.06.2011
CT 15.06.2011
Behandelte Metastase nicht progredient,
jedoch im Verlauf neu aufgetretene
peritoneale Metastasierung.
ZIRN.KHNW.FFM · SAINT 2011 · 3.-4. Oktober 2011
E x t r a h e p a t i s c h e M i k r o w e l l e n a b l a t i o n
ZIRN.KHNW.FFM · SAINT 2011 · 3.-4. Oktober 2011
E x t r a h e p a t i s c h e M i k r o w e l l e n a b l a t i o n
ZIRN.KHNW.FFM · SAINT 2011 · 3.-4. Oktober 2011
E x t r a h e p a t i s c h e M i k r o w e l l e n a b l a t i o n
ZIRN.KHNW.FFM · SAINT 2011 · 3.-4. Oktober 2011
E x t r a h e p a t i s c h e M i k r o w e l l e n a b l a t i o n
Resultat:
Erfolgreiche Behandlung der
Metastase, jedoch systemischer
Progress.
ZIRN.KHNW.FFM · SAINT 2011 · 3.-4. Oktober 2011
E x t r a h e p a t i s c h e M i k r o w e l l e n a b l a t i o n
ZIRN.KHNW.FFM · SAINT 2011 · 3.-4. Oktober 2011
E x t r a h e p a t i s c h e M i k r o w e l l e n a b l a t i o n
Fazit:
Die MWA ist geeignet zur Behandlung bei
regional begrenzter Tumormanifestation
auch in kritischer Position, nicht jedoch bei
systemischem Progress.
Mikrowellenablation
als Therapie bei
nur 1 kleinen
Lungenmetastase
ZIRN.KHNW.FFM · SAINT 2011 · 3.-4. Oktober 2011
E x t r a h e p a t i s c h e M i k r o w e l l e n a b l a t i o n
Fallbeispiel #4
ZIRN.KHNW.FFM · SAINT 2011 · 3.-4. Oktober 2011
E x t r a h e p a t i s c h e M i k r o w e l l e n a b l a t i o n
Patient: Männlich, 64 Jahre
Diagnose: Bronchial-Ca rechts, Z.n.
Pneumonektomie,
neu aufgetretene, solitäre, im Verlauf
progrediente Metastase im Oberlappen
links.
ZIRN.KHNW.FFM · SAINT 2011 · 3.-4. Oktober 2011
E x t r a h e p a t i s c h e M i k r o w e l l e n a b l a t i o n
Ausgangsbildgebung:
CT vom 27.10.2010
ZIRN.KHNW.FFM · SAINT 2011 · 3.-4. Oktober 2011
E x t r a h e p a t i s c h e M i k r o w e l l e n a b l a t i o n
ZIRN.KHNW.FFM · SAINT 2011 · 3.-4. Oktober 2011
E x t r a h e p a t i s c h e M i k r o w e l l e n a b l a t i o n
ZIRN.KHNW.FFM · SAINT 2011 · 3.-4. Oktober 2011
E x t r a h e p a t i s c h e M i k r o w e l l e n a b l a t i o n
Situation:
Nur eine Lunge und in dieser eine
(kleine) Metastase.
ZIRN.KHNW.FFM · SAINT 2011 · 3.-4. Oktober 2011
E x t r a h e p a t i s c h e M i k r o w e l l e n a b l a t i o n
Ziel:
Destruktion der Metastase unter
Schonung eines möglichst großen
Lungenvolumens.
ZIRN.KHNW.FFM · SAINT 2011 · 3.-4. Oktober 2011
E x t r a h e p a t i s c h e M i k r o w e l l e n a b l a t i o n
Indikation zur MWA:
Gezielte Positionierung unter CT-
Kontrolle, definiertes Wirkvolumen.
ZIRN.KHNW.FFM · SAINT 2011 · 3.-4. Oktober 2011
E x t r a h e p a t i s c h e M i k r o w e l l e n a b l a t i o n
Ablation am 27.11.2010
1 Nadelposition.
ZIRN.KHNW.FFM · SAINT 2011 · 3.-4. Oktober 2011
E x t r a h e p a t i s c h e M i k r o w e l l e n a b l a t i o n
ZIRN.KHNW.FFM · SAINT 2011 · 3.-4. Oktober 2011
E x t r a h e p a t i s c h e M i k r o w e l l e n a b l a t i o n
ZIRN.KHNW.FFM · SAINT 2011 · 3.-4. Oktober 2011
E x t r a h e p a t i s c h e M i k r o w e l l e n a b l a t i o n
ZIRN.KHNW.FFM · SAINT 2011 · 3.-4. Oktober 2011
E x t r a h e p a t i s c h e M i k r o w e l l e n a b l a t i o n
Kontrolle nach MWA:
Parenchymeinblutung, Pneumothorax.
Noch im CT Anlage einer Pleuradrainage.
Patient am Abend beschwerdefrei.
ZIRN.KHNW.FFM · SAINT 2011 · 3.-4. Oktober 2011
E x t r a h e p a t i s c h e M i k r o w e l l e n a b l a t i o n
ZIRN.KHNW.FFM · SAINT 2011 · 3.-4. Oktober 2011
E x t r a h e p a t i s c h e M i k r o w e l l e n a b l a t i o n
ZIRN.KHNW.FFM · SAINT 2011 · 3.-4. Oktober 2011
E x t r a h e p a t i s c h e M i k r o w e l l e n a b l a t i o n
ZIRN.KHNW.FFM · SAINT 2011 · 3.-4. Oktober 2011
E x t r a h e p a t i s c h e M i k r o w e l l e n a b l a t i o n
Verlaufskontrolle:
CT 07.01.2011
Lungenmetastase gering
progredient.
ZIRN.KHNW.FFM · SAINT 2011 · 3.-4. Oktober 2011
E x t r a h e p a t i s c h e M i k r o w e l l e n a b l a t i o n
ZIRN.KHNW.FFM · SAINT 2011 · 3.-4. Oktober 2011
E x t r a h e p a t i s c h e M i k r o w e l l e n a b l a t i o n
ZIRN.KHNW.FFM · SAINT 2011 · 3.-4. Oktober 2011
E x t r a h e p a t i s c h e M i k r o w e l l e n a b l a t i o n
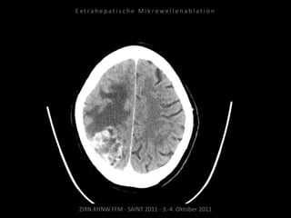
Verlaufskontrolle:
CT 04.08.2011
Lungenmetastase deutlich progredient.
Neu diagnostizierte Hirnmetastase.
ZIRN.KHNW.FFM · SAINT 2011 · 3.-4. Oktober 2011
E x t r a h e p a t i s c h e M i k r o w e l l e n a b l a t i o n
ZIRN.KHNW.FFM · SAINT 2011 · 3.-4. Oktober 2011
E x t r a h e p a t i s c h e M i k r o w e l l e n a b l a t i o n
ZIRN.KHNW.FFM · SAINT 2011 · 3.-4. Oktober 2011
E x t r a h e p a t i s c h e M i k r o w e l l e n a b l a t i o n
ZIRN.KHNW.FFM · SAINT 2011 · 3.-4. Oktober 2011
E x t r a h e p a t i s c h e M i k r o w e l l e n a b l a t i o n
Resultat:
Metastase trotz Ablation
progredient.
ZIRN.KHNW.FFM · SAINT 2011 · 3.-4. Oktober 2011
E x t r a h e p a t i s c h e M i k r o w e l l e n a b l a t i o n
Fazit:
Beschränkung auf nur eine
Nadelposition kann – insbesondere in
der Lunge – nicht den nötigen
Sicherheitssaum gewährleisten, daher
auch bei kleiner Lungenmetastase
mehrere Nadelpositionen notwendig.
ZIRN.KHNW.FFM · SAINT 2011 · 3.-4. Oktober 2011
E x t r a h e p a t i s c h e M i k r o w e l l e n a b l a t i o n
Mikrowellenablation
als Therapie bei
Tumorrezidiv in kritischer
Position
ZIRN.KHNW.FFM · SAINT 2011 · 3.-4. Oktober 2011
E x t r a h e p a t i s c h e M i k r o w e l l e n a b l a t i o n
Fallbeispiel #5
ZIRN.KHNW.FFM · SAINT 2011 · 3.-4. Oktober 2011
E x t r a h e p a t i s c h e M i k r o w e l l e n a b l a t i o n
Patient: Männlich, 60 Jahre
Diagnose: Prostatakarzinom mit
Lokalrezidiv.
ZIRN.KHNW.FFM · SAINT 2011 · 3.-4. Oktober 2011
E x t r a h e p a t i s c h e M i k r o w e l l e n a b l a t i o n
Ausgangsbildgebung:
MRT vom 19.01.2010
ZIRN.KHNW.FFM · SAINT 2011 · 3.-4. Oktober 2011
E x t r a h e p a t i s c h e M i k r o w e l l e n a b l a t i o n
ZIRN.KHNW.FFM · SAINT 2011 · 3.-4. Oktober 2011
E x t r a h e p a t i s c h e M i k r o w e l l e n a b l a t i o n
Bildgebung vor MWA:
MRT 03.02.2010
ZIRN.KHNW.FFM · SAINT 2011 · 3.-4. Oktober 2011
E x t r a h e p a t i s c h e M i k r o w e l l e n a b l a t i o n
ZIRN.KHNW.FFM · SAINT 2011 · 3.-4. Oktober 2011
E x t r a h e p a t i s c h e M i k r o w e l l e n a b l a t i o n
Situation:
Bei Z.n. Prostataresektion + Radiatio
+ Seed nun Rezidiv in kritischer
Position.
ZIRN.KHNW.FFM · SAINT 2011 · 3.-4. Oktober 2011
E x t r a h e p a t i s c h e M i k r o w e l l e n a b l a t i o n
Ziel:
Tumordestruktion unter Schonung
der Nachbarstrukturen.
ZIRN.KHNW.FFM · SAINT 2011 · 3.-4. Oktober 2011
E x t r a h e p a t i s c h e M i k r o w e l l e n a b l a t i o n
Indikation zur MWA:
Lokal begrenzte Tumor-
manifestation, Position mit MWA-
Sonde erreichbar.
ZIRN.KHNW.FFM · SAINT 2011 · 3.-4. Oktober 2011
E x t r a h e p a t i s c h e M i k r o w e l l e n a b l a t i o n
Ablation am 25.03.2010:
1 Nadelposition, 45 W, 7 Min.
Während der Ablation werden
Harnleiter, Harnblase und Rektum
zwecks Hitzeableitung gespült zur
Vermeidung thermischer Schäden.
ZIRN.KHNW.FFM · SAINT 2011 · 3.-4. Oktober 2011
E x t r a h e p a t i s c h e M i k r o w e l l e n a b l a t i o n
ZIRN.KHNW.FFM · SAINT 2011 · 3.-4. Oktober 2011
E x t r a h e p a t i s c h e M i k r o w e l l e n a b l a t i o n
ZIRN.KHNW.FFM · SAINT 2011 · 3.-4. Oktober 2011
E x t r a h e p a t i s c h e M i k r o w e l l e n a b l a t i o n
Kontrolle:
MRT 06.04.2010
ZIRN.KHNW.FFM · SAINT 2011 · 3.-4. Oktober 2011
E x t r a h e p a t i s c h e M i k r o w e l l e n a b l a t i o n
ZIRN.KHNW.FFM · SAINT 2011 · 3.-4. Oktober 2011
E x t r a h e p a t i s c h e M i k r o w e l l e n a b l a t i o n
Kontrolle:
MRT 18.05.2010
MRT 01.07.2010
Das abladierte Tumorrezidiv zeigt keine
Vitalität. Jedoch neu aufgetretene
Tumormanifestation kranial im Bereich der
angrenzenden Samenbläschen.
ZIRN.KHNW.FFM · SAINT 2011 · 3.-4. Oktober 2011
E x t r a h e p a t i s c h e M i k r o w e l l e n a b l a t i o n
ZIRN.KHNW.FFM · SAINT 2011 · 3.-4. Oktober 2011
E x t r a h e p a t i s c h e M i k r o w e l l e n a b l a t i o n
ZIRN.KHNW.FFM · SAINT 2011 · 3.-4. Oktober 2011
E x t r a h e p a t i s c h e M i k r o w e l l e n a b l a t i o n
Ablation des entsprechenden Areals
am 06.07.2010:
2 Nadelpositionen.
Erneut mit Kühlung von Harnleiter,
Harnblase und Rektum.
ZIRN.KHNW.FFM · SAINT 2011 · 3.-4. Oktober 2011
E x t r a h e p a t i s c h e M i k r o w e l l e n a b l a t i o n
ZIRN.KHNW.FFM · SAINT 2011 · 3.-4. Oktober 2011
E x t r a h e p a t i s c h e M i k r o w e l l e n a b l a t i o n
ZIRN.KHNW.FFM · SAINT 2011 · 3.-4. Oktober 2011
E x t r a h e p a t i s c h e M i k r o w e l l e n a b l a t i o n
ZIRN.KHNW.FFM · SAINT 2011 · 3.-4. Oktober 2011
E x t r a h e p a t i s c h e M i k r o w e l l e n a b l a t i o n
ZIRN.KHNW.FFM · SAINT 2011 · 3.-4. Oktober 2011
E x t r a h e p a t i s c h e M i k r o w e l l e n a b l a t i o n
Verlaufskontrolle:
MRT 17.08.2010
MRT 07.09.2010
Kein Progress.
ZIRN.KHNW.FFM · SAINT 2011 · 3.-4. Oktober 2011
E x t r a h e p a t i s c h e M i k r o w e l l e n a b l a t i o n
ZIRN.KHNW.FFM · SAINT 2011 · 3.-4. Oktober 2011
E x t r a h e p a t i s c h e M i k r o w e l l e n a b l a t i o n
ZIRN.KHNW.FFM · SAINT 2011 · 3.-4. Oktober 2011
E x t r a h e p a t i s c h e M i k r o w e l l e n a b l a t i o n
Verlaufskontrolle:
MRT 12.10.2010
Restvitalität dorsal der Harnblase.
ZIRN.KHNW.FFM · SAINT 2011 · 3.-4. Oktober 2011
E x t r a h e p a t i s c h e M i k r o w e l l e n a b l a t i o n
ZIRN.KHNW.FFM · SAINT 2011 · 3.-4. Oktober 2011
E x t r a h e p a t i s c h e M i k r o w e l l e n a b l a t i o n
Erneute Ablation am 04.11.2010:
2 Nadelpositionen.
ZIRN.KHNW.FFM · SAINT 2011 · 3.-4. Oktober 2011
E x t r a h e p a t i s c h e M i k r o w e l l e n a b l a t i o n
ZIRN.KHNW.FFM · SAINT 2011 · 3.-4. Oktober 2011
E x t r a h e p a t i s c h e M i k r o w e l l e n a b l a t i o n
ZIRN.KHNW.FFM · SAINT 2011 · 3.-4. Oktober 2011
E x t r a h e p a t i s c h e M i k r o w e l l e n a b l a t i o n
ZIRN.KHNW.FFM · SAINT 2011 · 3.-4. Oktober 2011
E x t r a h e p a t i s c h e M i k r o w e l l e n a b l a t i o n
ZIRN.KHNW.FFM · SAINT 2011 · 3.-4. Oktober 2011
E x t r a h e p a t i s c h e M i k r o w e l l e n a b l a t i o n
Verlaufskontrolle:
CTs und MRTs
CT vom 08.02.2011
Kein Vitalitätsnachweis.
ZIRN.KHNW.FFM · SAINT 2011 · 3.-4. Oktober 2011
E x t r a h e p a t i s c h e M i k r o w e l l e n a b l a t i o n
ZIRN.KHNW.FFM · SAINT 2011 · 3.-4. Oktober 2011
E x t r a h e p a t i s c h e M i k r o w e l l e n a b l a t i o n
ZIRN.KHNW.FFM · SAINT 2011 · 3.-4. Oktober 2011
E x t r a h e p a t i s c h e M i k r o w e l l e n a b l a t i o n
Resultat:
Erfolgreiche Behandlung des
Tumorrezidivs.
ZIRN.KHNW.FFM · SAINT 2011 · 3.-4. Oktober 2011
E x t r a h e p a t i s c h e M i k r o w e l l e n a b l a t i o n
Fazit:
Die MWA ist geeignet, um Tumorgewebe
an kritischer anatomischer Position zu
behandeln.
ZIRN.KHNW.FFM · SAINT 2011 · 3.-4. Oktober 2011
E x t r a h e p a t i s c h e M i k r o w e l l e n a b l a t i o n
Mikrowellenablation
als Therapie zur
Schmerzreduzierung
ZIRN.KHNW.FFM · SAINT 2011 · 3.-4. Oktober 2011
E x t r a h e p a t i s c h e M i k r o w e l l e n a b l a t i o n
Fallbeispiel #6
ZIRN.KHNW.FFM · SAINT 2011 · 3.-4. Oktober 2011
E x t r a h e p a t i s c h e M i k r o w e l l e n a b l a t i o n
Patient: Weiblich, 66 Jahre
Diagnose: Ovarial-Ca,
progrediente retroperitoneale
Lymphome, u.a. am Truncus coeliacus
und der Arteria mesenterica superior.
Zunehmende Drucksymptomatik im
Oberbauch.
ZIRN.KHNW.FFM · SAINT 2011 · 3.-4. Oktober 2011
E x t r a h e p a t i s c h e M i k r o w e l l e n a b l a t i o n
Bildgebung vor MWA:
CT 09.09.2010
ZIRN.KHNW.FFM · SAINT 2011 · 3.-4. Oktober 2011
E x t r a h e p a t i s c h e M i k r o w e l l e n a b l a t i o n
ZIRN.KHNW.FFM · SAINT 2011 · 3.-4. Oktober 2011
E x t r a h e p a t i s c h e M i k r o w e l l e n a b l a t i o n
Situation:
Tumorerkrankung mit ausgedehnter
Metastasierung. Schmerzsymptomatik
durch Metastasen am Truncus coeliacus.
ZIRN.KHNW.FFM · SAINT 2011 · 3.-4. Oktober 2011
E x t r a h e p a t i s c h e M i k r o w e l l e n a b l a t i o n
Ziel:
Druckreduzierung durch Reduzierung
der Tumorlast, thermische Reduktion
der Schmerzfasern am Truncus, dadurch
Reduzierung der hierdurch bedingten
Beschwerden. Kein kurativer Ansatz.
ZIRN.KHNW.FFM · SAINT 2011 · 3.-4. Oktober 2011
E x t r a h e p a t i s c h e M i k r o w e l l e n a b l a t i o n
Indikation zur MWA:
Aufgrund der gefäßnahen Lage stellt die
MWA mit ihrer der exakten
Positionierbarkeit und dem exakt
definierten Ablationsvolumen die
Methode der Wahl dar.
ZIRN.KHNW.FFM · SAINT 2011 · 3.-4. Oktober 2011
E x t r a h e p a t i s c h e M i k r o w e l l e n a b l a t i o n
Ablation am 07.10.2010:
Je eine Nadelposition von links und
von rechts.
ZIRN.KHNW.FFM · SAINT 2011 · 3.-4. Oktober 2011
E x t r a h e p a t i s c h e M i k r o w e l l e n a b l a t i o n
ZIRN.KHNW.FFM · SAINT 2011 · 3.-4. Oktober 2011
E x t r a h e p a t i s c h e M i k r o w e l l e n a b l a t i o n
ZIRN.KHNW.FFM · SAINT 2011 · 3.-4. Oktober 2011
E x t r a h e p a t i s c h e M i k r o w e l l e n a b l a t i o n
Kontrolle:
CT 08.10.2010
CT 05.11.2010
Kein Progress im abladierten Areal.
Erfolgreiche Schmerztherapie.
ZIRN.KHNW.FFM · SAINT 2011 · 3.-4. Oktober 2011
E x t r a h e p a t i s c h e M i k r o w e l l e n a b l a t i o n
ZIRN.KHNW.FFM · SAINT 2011 · 3.-4. Oktober 2011
E x t r a h e p a t i s c h e M i k r o w e l l e n a b l a t i o n
Kontrolle:
CT 03.12.2010
CT 03.05.2011
Kein Progress im abladierten Areal.
ZIRN.KHNW.FFM · SAINT 2011 · 3.-4. Oktober 2011
E x t r a h e p a t i s c h e M i k r o w e l l e n a b l a t i o n
ZIRN.KHNW.FFM · SAINT 2011 · 3.-4. Oktober 2011
E x t r a h e p a t i s c h e M i k r o w e l l e n a b l a t i o n
Resultat:
Kein weiteres Tumorwachstum im
abladierten Areal. Schmerzsymptomatik
deutlich gebessert.
ZIRN.KHNW.FFM · SAINT 2011 · 3.-4. Oktober 2011
E x t r a h e p a t i s c h e M i k r o w e l l e n a b l a t i o n
Fazit:
Die MWA ist außerhalb eines kurativen
Ansatzes geeignet, Tumorwachstum zu
bremsen und Symptomatik zu
vermindern.
ZIRN.KHNW.FFM · SAINT 2011 · 3.-4. Oktober 2011
E x t r a h e p a t i s c h e M i k r o w e l l e n a b l a t i o n
Mikrowellenablation
als Therapie zum
Organerhalt
ZIRN.KHNW.FFM · SAINT 2011 · 3.-4. Oktober 2011
E x t r a h e p a t i s c h e M i k r o w e l l e n a b l a t i o n
Fallbeispiel #7
ZIRN.KHNW.FFM · SAINT 2011 · 3.-4. Oktober 2011
E x t r a h e p a t i s c h e M i k r o w e l l e n a b l a t i o n
Patient: Weiblich, 82 Jahre
Diagnose: Z.n. Nieren-Ca rechts,
ausgedehnte retroperitoneale
Lymphknotenmetastasen links mit
Verdrängung der linken Niere.
ZIRN.KHNW.FFM · SAINT 2011 · 3.-4. Oktober 2011
E x t r a h e p a t i s c h e M i k r o w e l l e n a b l a t i o n
Ausgangsbildgebung:
CT vom 04.09.2009
CT vom 29.12.2009
ZIRN.KHNW.FFM · SAINT 2011 · 3.-4. Oktober 2011
E x t r a h e p a t i s c h e M i k r o w e l l e n a b l a t i o n
ZIRN.KHNW.FFM · SAINT 2011 · 3.-4. Oktober 2011
E x t r a h e p a t i s c h e M i k r o w e l l e n a b l a t i o n
Situation:
Z.n. Nephrektomie rechts, nun
Verlagerung des linken Nierenstiels
durch retroperitoneale Metastasen und
hierdurch Gefährdung der verbliebenen
Niere.
ZIRN.KHNW.FFM · SAINT 2011 · 3.-4. Oktober 2011
E x t r a h e p a t i s c h e M i k r o w e l l e n a b l a t i o n
Ziel:
Organerhalt durch Stoppen des
Tumorwachstums, idealerweise
Verminderung der Tumormasse. Kein
kurativer Ansatz.
ZIRN.KHNW.FFM · SAINT 2011 · 3.-4. Oktober 2011
E x t r a h e p a t i s c h e M i k r o w e l l e n a b l a t i o n
Indikation zur MWA:
Exakte Positionierbarkeit und definiertes
Wirkvolumen, daher Tumordestruktion
unter Schonung der Nachbarstrukturen.
ZIRN.KHNW.FFM · SAINT 2011 · 3.-4. Oktober 2011
E x t r a h e p a t i s c h e M i k r o w e l l e n a b l a t i o n
Bildgebung vor MWA:
CT 17.02.2010
ZIRN.KHNW.FFM · SAINT 2011 · 3.-4. Oktober 2011
E x t r a h e p a t i s c h e M i k r o w e l l e n a b l a t i o n
ZIRN.KHNW.FFM · SAINT 2011 · 3.-4. Oktober 2011
E x t r a h e p a t i s c h e M i k r o w e l l e n a b l a t i o n
ZIRN.KHNW.FFM · SAINT 2011 · 3.-4. Oktober 2011
E x t r a h e p a t i s c h e M i k r o w e l l e n a b l a t i o n
Ablation am 04.03.2010:
3 Nadelpositionen.
ZIRN.KHNW.FFM · SAINT 2011 · 3.-4. Oktober 2011
E x t r a h e p a t i s c h e M i k r o w e l l e n a b l a t i o n
ZIRN.KHNW.FFM · SAINT 2011 · 3.-4. Oktober 2011
E x t r a h e p a t i s c h e M i k r o w e l l e n a b l a t i o n
ZIRN.KHNW.FFM · SAINT 2011 · 3.-4. Oktober 2011
E x t r a h e p a t i s c h e M i k r o w e l l e n a b l a t i o n
ZIRN.KHNW.FFM · SAINT 2011 · 3.-4. Oktober 2011
E x t r a h e p a t i s c h e M i k r o w e l l e n a b l a t i o n
Verlaufskontrolle:
MRT 09.04.2010
ZIRN.KHNW.FFM · SAINT 2011 · 3.-4. Oktober 2011
E x t r a h e p a t i s c h e M i k r o w e l l e n a b l a t i o n
ZIRN.KHNW.FFM · SAINT 2011 · 3.-4. Oktober 2011
E x t r a h e p a t i s c h e M i k r o w e l l e n a b l a t i o n
ZIRN.KHNW.FFM · SAINT 2011 · 3.-4. Oktober 2011
E x t r a h e p a t i s c h e M i k r o w e l l e n a b l a t i o n
Verlaufskontrolle:
CT 24.06.2010
Regredienz des abladierten
Tumorgewebes.
ZIRN.KHNW.FFM · SAINT 2011 · 3.-4. Oktober 2011
E x t r a h e p a t i s c h e M i k r o w e l l e n a b l a t i o n
ZIRN.KHNW.FFM · SAINT 2011 · 3.-4. Oktober 2011
E x t r a h e p a t i s c h e M i k r o w e l l e n a b l a t i o n
Verlaufskontrolle:
CT 15.09.2010
Weitere Regredienz des abladierten
Tumorgewebes.
ZIRN.KHNW.FFM · SAINT 2011 · 3.-4. Oktober 2011
E x t r a h e p a t i s c h e M i k r o w e l l e n a b l a t i o n
ZIRN.KHNW.FFM · SAINT 2011 · 3.-4. Oktober 2011
E x t r a h e p a t i s c h e M i k r o w e l l e n a b l a t i o n
Resultat:
Abladierte Lymphknotenmetastasen
deutlich regredient, Gefahr für die
verbliebene Niere gebannt.
ZIRN.KHNW.FFM · SAINT 2011 · 3.-4. Oktober 2011
E x t r a h e p a t i s c h e M i k r o w e l l e n a b l a t i o n
Fazit:
Die Mikrowellenablation kann außerhalb
eines kurativen Ansatzes zur
Organerhaltung durch Reduzierung von
Tumormasse eingesetzt werden.
ZIRN.KHNW.FFM · SAINT 2011 · 3.-4. Oktober 2011
E x t r a h e p a t i s c h e M i k r o w e l l e n a b l a t i o n
Take-Home-Points:
Die Mikrowellenablation bietet:
● Gezielte Positionierung auch in
schwer zugänglichen Regionen
● Definiertes Ablationsvolumen,
kurze Ablationsdauer, hohe
Effizienz, Wiederholbarkeit
ZIRN.KHNW.FFM · SAINT 2011 · 3.-4. Oktober 2011
E x t r a h e p a t i s c h e M i k r o w e l l e n a b l a t i o n
Take-Home-Points:
Die Mikrowellenablation bietet:
● Verwendbarkeit zur
Schmerztherapie
● Verwendbarkeit zum
Organerhalt
ZIRN.KHNW.FFM · SAINT 2011 · 3.-4. Oktober 2011
E x t r a h e p a t i s c h e M i k r o w e l l e n a b l a t i o n
Take-Home-Points:
Die Mikrowellenablation bietet:
● Reduzierung der Tumorlast mit
vertretbarem Aufwand
● Gute Eignung bei kleinen
Herden (mit Einschränkung bei
pulmonaler Anwendung)
ZIRN.KHNW.FFM · SAINT 2011 · 3.-4. Oktober 2011
E x t r a h e p a t i s c h e M i k r o w e l l e n a b l a t i o n
Vielen Dank für Ihre
Aufmerksamkeit!
ZIRN.KHNW.FFM · SAINT 2011 · 3.-4. Oktober 2011
E x t r a h e p a t i s c h e M i k r o w e l l e n a b l a t i o n

Mikrowellenablation – Fallvorstellung & Diskussion

  • 1.
    INTERVENTIONELLE ONKOLOGIE: EXTRAHEPATISCHE ABLATION Mikrowellenablation– Fallvorstellung & Diskussion Björn H. Gemein · SAINT 2011 · 3.-4. Oktober 2011 Zentralinstitut für Radiologie und Neuroradiologie Krankenhaus Nordwest GmbH · Frankfurt am Main Chefarzt: Prof. Dr. med. Markus Düx
  • 2.
    Technische Grundlagen der Mikrowellenablation ZIRN.KHNW.FFM· SAINT 2011 · 3.-4. Oktober 2011 E x t r a h e p a t i s c h e M i k r o w e l l e n a b l a t i o n
  • 3.
    ZIRN.KHNW.FFM · SAINT2011 · 3.-4. Oktober 2011 E x t r a h e p a t i s c h e M i k r o w e l l e n a b l a t i o n © Covidien Ablationsnadel (Antenne) und Generator
  • 4.
    Wirkvolumen einer 3,7cm Ablationsnadel (Antenne) 45 Watt, 10 Minuten A = 2,8 cm, B = 4,0 cm, M = 0,7 cm, Volumen = 16 cm³ (2 Antennen: 36 cm³, 3 Antennen: 56 cm³) ZIRN.KHNW.FFM · SAINT 2011 · 3.-4. Oktober 2011 E x t r a h e p a t i s c h e M i k r o w e l l e n a b l a t i o n © Covidien
  • 5.
    ZIRN.KHNW.FFM · SAINT2011 · 3.-4. Oktober 2011 E x t r a h e p a t i s c h e M i k r o w e l l e n a b l a t i o n
  • 6.
    Bewegung der Wassermoleküle ©Covidien ZIRN.KHNW.FFM · SAINT 2011 · 3.-4. Oktober 2011 E x t r a h e p a t i s c h e M i k r o w e l l e n a b l a t i o n Frequenz 915 – 2450 MHz versetzt Wassermoleküle in Rotation und Vibration, dies führt zu Reibung, die hieraus resultierende Hitzeentwicklung führt zur Zerstörung des im Wirkungsbereich liegenden Gewebes.
  • 7.
    Vorteile ZIRN.KHNW.FFM · SAINT2011 · 3.-4. Oktober 2011 E x t r a h e p a t i s c h e M i k r o w e l l e n a b l a t i o n
  • 8.
    ZIRN.KHNW.FFM · SAINT2011 · 3.-4. Oktober 2011 E x t r a h e p a t i s c h e M i k r o w e l l e n a b l a t i o n ● Hohe Temperatur ● Kurze Ablationsdauer ● Hohe Eindringtiefe ● Geringer „heat sink“-Effekt ● Parallele Verwendung mehrerer Nadeln (Antennen) ● Geringe Patientenbelastung ● Kurzer Krankenhausaufenthalt
  • 9.
    Indikationen ZIRN.KHNW.FFM · SAINT2011 · 3.-4. Oktober 2011 E x t r a h e p a t i s c h e M i k r o w e l l e n a b l a t i o n
  • 10.
    ZIRN.KHNW.FFM · SAINT2011 · 3.-4. Oktober 2011 E x t r a h e p a t i s c h e M i k r o w e l l e n a b l a t i o n ● Wenn eine kurative Therapie nicht möglich ist aufgrund des Gesundheitszustandes ● Wenn eine Tumorreduktion einen Benefit in der Behandlung bringt ● Wenn der Patient eine operative Resektion ablehnt
  • 11.
    Fallbeispiele ZIRN.KHNW.FFM · SAINT2011 · 3.-4. Oktober 2011 E x t r a h e p a t i s c h e M i k r o w e l l e n a b l a t i o n
  • 12.
    Mikrowellenablation als Therapie bei lokalbegrenzter langfristig stabiler Metastasierung mit langsamem Progress einzelner Metastasen ZIRN.KHNW.FFM · SAINT 2011 · 3.-4. Oktober 2011 E x t r a h e p a t i s c h e M i k r o w e l l e n a b l a t i o n
  • 13.
    Fallbeispiel #1 ZIRN.KHNW.FFM ·SAINT 2011 · 3.-4. Oktober 2011 E x t r a h e p a t i s c h e M i k r o w e l l e n a b l a t i o n
  • 14.
    Patient: Männlich, 74Jahre Diagnose: Malignes Melanom, Metastasierung lokal begrenzt (3 peritoneale Metastasen). ZIRN.KHNW.FFM · SAINT 2011 · 3.-4. Oktober 2011 E x t r a h e p a t i s c h e M i k r o w e l l e n a b l a t i o n
  • 15.
    Ausgangsbildgebung: CT vom 21.12.2009 ZIRN.KHNW.FFM· SAINT 2011 · 3.-4. Oktober 2011 E x t r a h e p a t i s c h e M i k r o w e l l e n a b l a t i o n
  • 16.
    ZIRN.KHNW.FFM · SAINT2011 · 3.-4. Oktober 2011 E x t r a h e p a t i s c h e M i k r o w e l l e n a b l a t i o n
  • 17.
    ZIRN.KHNW.FFM · SAINT2011 · 3.-4. Oktober 2011 E x t r a h e p a t i s c h e M i k r o w e l l e n a b l a t i o n
  • 18.
    ZIRN.KHNW.FFM · SAINT2011 · 3.-4. Oktober 2011 E x t r a h e p a t i s c h e M i k r o w e l l e n a b l a t i o n
  • 19.
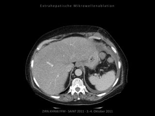
    Bildgebung vor MWA: CTvom 14.07.2010 Metastase lateral der linken Niere nahe Colon descendens progredient. ZIRN.KHNW.FFM · SAINT 2011 · 3.-4. Oktober 2011 E x t r a h e p a t i s c h e M i k r o w e l l e n a b l a t i o n
  • 20.
    ZIRN.KHNW.FFM · SAINT2011 · 3.-4. Oktober 2011 E x t r a h e p a t i s c h e M i k r o w e l l e n a b l a t i o n
  • 21.
    ZIRN.KHNW.FFM · SAINT2011 · 3.-4. Oktober 2011 E x t r a h e p a t i s c h e M i k r o w e l l e n a b l a t i o n
  • 22.
    ZIRN.KHNW.FFM · SAINT2011 · 3.-4. Oktober 2011 E x t r a h e p a t i s c h e M i k r o w e l l e n a b l a t i o n
  • 23.
    Situation: Metastasierung über längerenZeitraum lokal begrenzt, 1 Metastase progredient. Organnahe Lage in unmittelbarer Nachbarschaft zur linken Niere bzw. zum Colon descendens. ZIRN.KHNW.FFM · SAINT 2011 · 3.-4. Oktober 2011 E x t r a h e p a t i s c h e M i k r o w e l l e n a b l a t i o n
  • 24.
    Ziel: Destruktion der Metastasenunter Schonung der benachbarten Organe. ZIRN.KHNW.FFM · SAINT 2011 · 3.-4. Oktober 2011 E x t r a h e p a t i s c h e M i k r o w e l l e n a b l a t i o n
  • 25.
    Indikation zur MWA: GezielteDestruktion der räumlich limitierten Metastasen. ZIRN.KHNW.FFM · SAINT 2011 · 3.-4. Oktober 2011 E x t r a h e p a t i s c h e M i k r o w e l l e n a b l a t i o n
  • 26.
    Ablation am 17.08.2010 Metastaselateral der linken Niere: 1 Nadelposition. ZIRN.KHNW.FFM · SAINT 2011 · 3.-4. Oktober 2011 E x t r a h e p a t i s c h e M i k r o w e l l e n a b l a t i o n
  • 27.
    ZIRN.KHNW.FFM · SAINT2011 · 3.-4. Oktober 2011 E x t r a h e p a t i s c h e M i k r o w e l l e n a b l a t i o n
  • 28.
    ZIRN.KHNW.FFM · SAINT2011 · 3.-4. Oktober 2011 E x t r a h e p a t i s c h e M i k r o w e l l e n a b l a t i o n
  • 29.
    Metastase medial deslinken Musculus iliacus: 1 Nadelposition. ZIRN.KHNW.FFM · SAINT 2011 · 3.-4. Oktober 2011 E x t r a h e p a t i s c h e M i k r o w e l l e n a b l a t i o n
  • 30.
    ZIRN.KHNW.FFM · SAINT2011 · 3.-4. Oktober 2011 E x t r a h e p a t i s c h e M i k r o w e l l e n a b l a t i o n
  • 31.
    ZIRN.KHNW.FFM · SAINT2011 · 3.-4. Oktober 2011 E x t r a h e p a t i s c h e M i k r o w e l l e n a b l a t i o n
  • 32.
    Kontrollbildgebung: CT 18.08.2010 MRT 08.09.2010 Restvitalitätvon 2 Metastasen. Nadelposition unzureichend? ZIRN.KHNW.FFM · SAINT 2011 · 3.-4. Oktober 2011 E x t r a h e p a t i s c h e M i k r o w e l l e n a b l a t i o n
  • 33.
    ZIRN.KHNW.FFM · SAINT2011 · 3.-4. Oktober 2011 E x t r a h e p a t i s c h e M i k r o w e l l e n a b l a t i o n
  • 34.
    ZIRN.KHNW.FFM · SAINT2011 · 3.-4. Oktober 2011 E x t r a h e p a t i s c h e M i k r o w e l l e n a b l a t i o n
  • 35.
    ZIRN.KHNW.FFM · SAINT2011 · 3.-4. Oktober 2011 E x t r a h e p a t i s c h e M i k r o w e l l e n a b l a t i o n
  • 36.
    ZIRN.KHNW.FFM · SAINT2011 · 3.-4. Oktober 2011 E x t r a h e p a t i s c h e M i k r o w e l l e n a b l a t i o n
  • 37.
    ZIRN.KHNW.FFM · SAINT2011 · 3.-4. Oktober 2011 E x t r a h e p a t i s c h e M i k r o w e l l e n a b l a t i o n
  • 38.
    ZIRN.KHNW.FFM · SAINT2011 · 3.-4. Oktober 2011 E x t r a h e p a t i s c h e M i k r o w e l l e n a b l a t i o n
  • 39.
    ZIRN.KHNW.FFM · SAINT2011 · 3.-4. Oktober 2011 E x t r a h e p a t i s c h e M i k r o w e l l e n a b l a t i o n
  • 40.
    ZIRN.KHNW.FFM · SAINT2011 · 3.-4. Oktober 2011 E x t r a h e p a t i s c h e M i k r o w e l l e n a b l a t i o n
  • 41.
    ZIRN.KHNW.FFM · SAINT2011 · 3.-4. Oktober 2011 E x t r a h e p a t i s c h e M i k r o w e l l e n a b l a t i o n
  • 42.
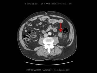
    Erneute Ablation von2 peritonealen Metastasen am 09.09.2010. ZIRN.KHNW.FFM · SAINT 2011 · 3.-4. Oktober 2011 E x t r a h e p a t i s c h e M i k r o w e l l e n a b l a t i o n
  • 43.
    Metastase kaudal derlinken Niere: Apikal 2 Nadelpositionen. Kaudal 1 Nadelposition. ZIRN.KHNW.FFM · SAINT 2011 · 3.-4. Oktober 2011 E x t r a h e p a t i s c h e M i k r o w e l l e n a b l a t i o n
  • 44.
    ZIRN.KHNW.FFM · SAINT2011 · 3.-4. Oktober 2011 E x t r a h e p a t i s c h e M i k r o w e l l e n a b l a t i o n
  • 45.
    ZIRN.KHNW.FFM · SAINT2011 · 3.-4. Oktober 2011 E x t r a h e p a t i s c h e M i k r o w e l l e n a b l a t i o n
  • 46.
    ZIRN.KHNW.FFM · SAINT2011 · 3.-4. Oktober 2011 E x t r a h e p a t i s c h e M i k r o w e l l e n a b l a t i o n
  • 47.
    Metastase lateral derlinken Niere: 1 Nadelposition. ZIRN.KHNW.FFM · SAINT 2011 · 3.-4. Oktober 2011 E x t r a h e p a t i s c h e M i k r o w e l l e n a b l a t i o n
  • 48.
    ZIRN.KHNW.FFM · SAINT2011 · 3.-4. Oktober 2011 E x t r a h e p a t i s c h e M i k r o w e l l e n a b l a t i o n
  • 49.
    ZIRN.KHNW.FFM · SAINT2011 · 3.-4. Oktober 2011 E x t r a h e p a t i s c h e M i k r o w e l l e n a b l a t i o n
  • 50.
    Kontrollbildgebung: MRT 10.09.2010 ZIRN.KHNW.FFM ·SAINT 2011 · 3.-4. Oktober 2011 E x t r a h e p a t i s c h e M i k r o w e l l e n a b l a t i o n
  • 51.
    ZIRN.KHNW.FFM · SAINT2011 · 3.-4. Oktober 2011 E x t r a h e p a t i s c h e M i k r o w e l l e n a b l a t i o n
  • 52.
    ZIRN.KHNW.FFM · SAINT2011 · 3.-4. Oktober 2011 E x t r a h e p a t i s c h e M i k r o w e l l e n a b l a t i o n
  • 53.
    ZIRN.KHNW.FFM · SAINT2011 · 3.-4. Oktober 2011 E x t r a h e p a t i s c h e M i k r o w e l l e n a b l a t i o n
  • 54.
    Verlaufskontrolle: CT 21.10.2010 MRT 21.01.2011 MRT08.04.2011 Zunehmende Tumoraktivität der Metastase kaudal der linken Niere ohne signifikante Größenzunahme. ZIRN.KHNW.FFM · SAINT 2011 · 3.-4. Oktober 2011 E x t r a h e p a t i s c h e M i k r o w e l l e n a b l a t i o n
  • 55.
    ZIRN.KHNW.FFM · SAINT2011 · 3.-4. Oktober 2011 E x t r a h e p a t i s c h e M i k r o w e l l e n a b l a t i o n
  • 56.
    ZIRN.KHNW.FFM · SAINT2011 · 3.-4. Oktober 2011 E x t r a h e p a t i s c h e M i k r o w e l l e n a b l a t i o n
  • 57.
    ZIRN.KHNW.FFM · SAINT2011 · 3.-4. Oktober 2011 E x t r a h e p a t i s c h e M i k r o w e l l e n a b l a t i o n
  • 58.
    Erneute Ablation derMetastase kaudal der linken Niere am 09.05.2011: 2 Nadelpositionen. ZIRN.KHNW.FFM · SAINT 2011 · 3.-4. Oktober 2011 E x t r a h e p a t i s c h e M i k r o w e l l e n a b l a t i o n
  • 59.
    ZIRN.KHNW.FFM · SAINT2011 · 3.-4. Oktober 2011 E x t r a h e p a t i s c h e M i k r o w e l l e n a b l a t i o n
  • 60.
    ZIRN.KHNW.FFM · SAINT2011 · 3.-4. Oktober 2011 E x t r a h e p a t i s c h e M i k r o w e l l e n a b l a t i o n
  • 61.
    Verlaufskontrolle: MRT 09.06.2011 MRT 10.08.2011 CT15.08.2011 Keine weitere Tumorvitalität. ZIRN.KHNW.FFM · SAINT 2011 · 3.-4. Oktober 2011 E x t r a h e p a t i s c h e M i k r o w e l l e n a b l a t i o n
  • 62.
    ZIRN.KHNW.FFM · SAINT2011 · 3.-4. Oktober 2011 E x t r a h e p a t i s c h e M i k r o w e l l e n a b l a t i o n
  • 63.
    ZIRN.KHNW.FFM · SAINT2011 · 3.-4. Oktober 2011 E x t r a h e p a t i s c h e M i k r o w e l l e n a b l a t i o n
  • 64.
    ZIRN.KHNW.FFM · SAINT2011 · 3.-4. Oktober 2011 E x t r a h e p a t i s c h e M i k r o w e l l e n a b l a t i o n
  • 65.
    Resultat: Die abladierten peritonealen Metastasenzeigen keine Vitalität, kein Nachweis weiterer (neu aufgetretener) Metastasen. ZIRN.KHNW.FFM · SAINT 2011 · 3.-4. Oktober 2011 E x t r a h e p a t i s c h e M i k r o w e l l e n a b l a t i o n
  • 66.
    Fallbeispiel #2 ZIRN.KHNW.FFM ·SAINT 2011 · 3.-4. Oktober 2011 E x t r a h e p a t i s c h e M i k r o w e l l e n a b l a t i o n
  • 67.
    Patient: Weiblich, 71Jahre Diagnose: Ovarial-Ca, größenprogredienter Lymphknoten zwischen Herz und Leber als einzige Metastase. ZIRN.KHNW.FFM · SAINT 2011 · 3.-4. Oktober 2011 E x t r a h e p a t i s c h e M i k r o w e l l e n a b l a t i o n
  • 68.
    Ausgangsbildgebung: CT vom 16.08.2010 ZIRN.KHNW.FFM· SAINT 2011 · 3.-4. Oktober 2011 E x t r a h e p a t i s c h e M i k r o w e l l e n a b l a t i o n
  • 69.
    ZIRN.KHNW.FFM · SAINT2011 · 3.-4. Oktober 2011 E x t r a h e p a t i s c h e M i k r o w e l l e n a b l a t i o n
  • 70.
    Verlaufskontrolle: CT 13.12.2010 ZIRN.KHNW.FFM ·SAINT 2011 · 3.-4. Oktober 2011 E x t r a h e p a t i s c h e M i k r o w e l l e n a b l a t i o n
  • 71.
    ZIRN.KHNW.FFM · SAINT2011 · 3.-4. Oktober 2011 E x t r a h e p a t i s c h e M i k r o w e l l e n a b l a t i o n
  • 72.
    Bildgebung vor MWA: CT14.03.2011 ZIRN.KHNW.FFM · SAINT 2011 · 3.-4. Oktober 2011 E x t r a h e p a t i s c h e M i k r o w e l l e n a b l a t i o n
  • 73.
    ZIRN.KHNW.FFM · SAINT2011 · 3.-4. Oktober 2011 E x t r a h e p a t i s c h e M i k r o w e l l e n a b l a t i o n
  • 74.
    Situation: Nur 1 Metastase,diese ist jedoch progredient. Kritische Lage in Herznähe. ZIRN.KHNW.FFM · SAINT 2011 · 3.-4. Oktober 2011 E x t r a h e p a t i s c h e M i k r o w e l l e n a b l a t i o n
  • 75.
    Ziel: Destruktion der solitärenMetastase unter Schonung der Nachbar- strukturen. ZIRN.KHNW.FFM · SAINT 2011 · 3.-4. Oktober 2011 E x t r a h e p a t i s c h e M i k r o w e l l e n a b l a t i o n
  • 76.
    Indikation zur MWA: Nachweisnur einer Metastase, diese ist progredient, in der Größe gut zur Ablation geeignet. ZIRN.KHNW.FFM · SAINT 2011 · 3.-4. Oktober 2011 E x t r a h e p a t i s c h e M i k r o w e l l e n a b l a t i o n
  • 77.
    Ablation am 24.03.2010: 2Nadelpositionen. ZIRN.KHNW.FFM · SAINT 2011 · 3.-4. Oktober 2011 E x t r a h e p a t i s c h e M i k r o w e l l e n a b l a t i o n
  • 78.
    ZIRN.KHNW.FFM · SAINT2011 · 3.-4. Oktober 2011 E x t r a h e p a t i s c h e M i k r o w e l l e n a b l a t i o n
  • 79.
    ZIRN.KHNW.FFM · SAINT2011 · 3.-4. Oktober 2011 E x t r a h e p a t i s c h e M i k r o w e l l e n a b l a t i o n
  • 80.
    Kontrolle: MRT 05.04.2010 Kein weiteresWachstum. ZIRN.KHNW.FFM · SAINT 2011 · 3.-4. Oktober 2011 E x t r a h e p a t i s c h e M i k r o w e l l e n a b l a t i o n
  • 81.
    ZIRN.KHNW.FFM · SAINT2011 · 3.-4. Oktober 2011 E x t r a h e p a t i s c h e M i k r o w e l l e n a b l a t i o n
  • 82.
    ZIRN.KHNW.FFM · SAINT2011 · 3.-4. Oktober 2011 E x t r a h e p a t i s c h e M i k r o w e l l e n a b l a t i o n
  • 83.
    Verlaufskontrolle: CT 24.06.2010 Behandelte Metastasenicht progredient. Neu ist ein subkapsuläres Biliom DD Serom DD Hämatom der Leber. ZIRN.KHNW.FFM · SAINT 2011 · 3.-4. Oktober 2011 E x t r a h e p a t i s c h e M i k r o w e l l e n a b l a t i o n
  • 84.
    ZIRN.KHNW.FFM · SAINT2011 · 3.-4. Oktober 2011 E x t r a h e p a t i s c h e M i k r o w e l l e n a b l a t i o n
  • 85.
    Verlaufskontrollen: MRT 23.09.2010 CT 23.09.2010 BehandelteMetastase nicht progredient, Biliom/Serom/Hämatom regredient. ZIRN.KHNW.FFM · SAINT 2011 · 3.-4. Oktober 2011 E x t r a h e p a t i s c h e M i k r o w e l l e n a b l a t i o n
  • 86.
    ZIRN.KHNW.FFM · SAINT2011 · 3.-4. Oktober 2011 E x t r a h e p a t i s c h e M i k r o w e l l e n a b l a t i o n
  • 87.
    ZIRN.KHNW.FFM · SAINT2011 · 3.-4. Oktober 2011 E x t r a h e p a t i s c h e M i k r o w e l l e n a b l a t i o n
  • 88.
    ZIRN.KHNW.FFM · SAINT2011 · 3.-4. Oktober 2011 E x t r a h e p a t i s c h e M i k r o w e l l e n a b l a t i o n
  • 89.
    Resultat: Erfolgreiche Behandlung mit2 Nadelpositionen. ZIRN.KHNW.FFM · SAINT 2011 · 3.-4. Oktober 2011 E x t r a h e p a t i s c h e M i k r o w e l l e n a b l a t i o n
  • 90.
    Fazit: MWA geeignet beilimitierter Zahl und Größe und relativ kritischer Lage. ZIRN.KHNW.FFM · SAINT 2011 · 3.-4. Oktober 2011 E x t r a h e p a t i s c h e M i k r o w e l l e n a b l a t i o n
  • 91.
    Fallbeispiel #3 ZIRN.KHNW.FFM ·SAINT 2011 · 3.-4. Oktober 2011 E x t r a h e p a t i s c h e M i k r o w e l l e n a b l a t i o n
  • 92.
    Patient: Weiblich, 70Jahre Diagnose: Ovarialkarzinom, Metastasierung lokal begrenzt (1 peritoneale Metastase). ZIRN.KHNW.FFM · SAINT 2011 · 3.-4. Oktober 2011 E x t r a h e p a t i s c h e M i k r o w e l l e n a b l a t i o n
  • 93.
    Ausgangsbildgebung: CT vom 19.10.2010 ZIRN.KHNW.FFM· SAINT 2011 · 3.-4. Oktober 2011 E x t r a h e p a t i s c h e M i k r o w e l l e n a b l a t i o n
  • 94.
    ZIRN.KHNW.FFM · SAINT2011 · 3.-4. Oktober 2011 E x t r a h e p a t i s c h e M i k r o w e l l e n a b l a t i o n
  • 95.
    Bildgebung vor MWA: CTvom 28.02.2011 ZIRN.KHNW.FFM · SAINT 2011 · 3.-4. Oktober 2011 E x t r a h e p a t i s c h e M i k r o w e l l e n a b l a t i o n
  • 96.
    ZIRN.KHNW.FFM · SAINT2011 · 3.-4. Oktober 2011 E x t r a h e p a t i s c h e M i k r o w e l l e n a b l a t i o n
  • 97.
    Situation: Nur 1 Metastase,diese jedoch progredient. ZIRN.KHNW.FFM · SAINT 2011 · 3.-4. Oktober 2011 E x t r a h e p a t i s c h e M i k r o w e l l e n a b l a t i o n
  • 98.
    Ziel: Destruktion der solitärenMetastase. ZIRN.KHNW.FFM · SAINT 2011 · 3.-4. Oktober 2011 E x t r a h e p a t i s c h e M i k r o w e l l e n a b l a t i o n
  • 99.
    Indikation zur MWA: GezielteDestruktion der räumlich limitierten Metastasen. ZIRN.KHNW.FFM · SAINT 2011 · 3.-4. Oktober 2011 E x t r a h e p a t i s c h e M i k r o w e l l e n a b l a t i o n
  • 100.
    Ablation am 17.03.2011 Lateral1 Nadelposition. Medial 1 Nadelposition. ZIRN.KHNW.FFM · SAINT 2011 · 3.-4. Oktober 2011 E x t r a h e p a t i s c h e M i k r o w e l l e n a b l a t i o n
  • 101.
    ZIRN.KHNW.FFM · SAINT2011 · 3.-4. Oktober 2011 E x t r a h e p a t i s c h e M i k r o w e l l e n a b l a t i o n
  • 102.
    ZIRN.KHNW.FFM · SAINT2011 · 3.-4. Oktober 2011 E x t r a h e p a t i s c h e M i k r o w e l l e n a b l a t i o n
  • 103.
    Kontrollbildgebung: MRT 24.03.2011 Kein weiteresWachstum. ZIRN.KHNW.FFM · SAINT 2011 · 3.-4. Oktober 2011 E x t r a h e p a t i s c h e M i k r o w e l l e n a b l a t i o n
  • 104.
    ZIRN.KHNW.FFM · SAINT2011 · 3.-4. Oktober 2011 E x t r a h e p a t i s c h e M i k r o w e l l e n a b l a t i o n
  • 105.
    ZIRN.KHNW.FFM · SAINT2011 · 3.-4. Oktober 2011 E x t r a h e p a t i s c h e M i k r o w e l l e n a b l a t i o n
  • 106.
    Verlaufskontrolle: MRT 07.06.2011 CT 15.06.2011 BehandelteMetastase nicht progredient, jedoch im Verlauf neu aufgetretene peritoneale Metastasierung. ZIRN.KHNW.FFM · SAINT 2011 · 3.-4. Oktober 2011 E x t r a h e p a t i s c h e M i k r o w e l l e n a b l a t i o n
  • 107.
    ZIRN.KHNW.FFM · SAINT2011 · 3.-4. Oktober 2011 E x t r a h e p a t i s c h e M i k r o w e l l e n a b l a t i o n
  • 108.
    ZIRN.KHNW.FFM · SAINT2011 · 3.-4. Oktober 2011 E x t r a h e p a t i s c h e M i k r o w e l l e n a b l a t i o n
  • 109.
    ZIRN.KHNW.FFM · SAINT2011 · 3.-4. Oktober 2011 E x t r a h e p a t i s c h e M i k r o w e l l e n a b l a t i o n
  • 110.
    Resultat: Erfolgreiche Behandlung der Metastase,jedoch systemischer Progress. ZIRN.KHNW.FFM · SAINT 2011 · 3.-4. Oktober 2011 E x t r a h e p a t i s c h e M i k r o w e l l e n a b l a t i o n
  • 111.
    ZIRN.KHNW.FFM · SAINT2011 · 3.-4. Oktober 2011 E x t r a h e p a t i s c h e M i k r o w e l l e n a b l a t i o n Fazit: Die MWA ist geeignet zur Behandlung bei regional begrenzter Tumormanifestation auch in kritischer Position, nicht jedoch bei systemischem Progress.
  • 112.
    Mikrowellenablation als Therapie bei nur1 kleinen Lungenmetastase ZIRN.KHNW.FFM · SAINT 2011 · 3.-4. Oktober 2011 E x t r a h e p a t i s c h e M i k r o w e l l e n a b l a t i o n
  • 113.
    Fallbeispiel #4 ZIRN.KHNW.FFM ·SAINT 2011 · 3.-4. Oktober 2011 E x t r a h e p a t i s c h e M i k r o w e l l e n a b l a t i o n
  • 114.
    Patient: Männlich, 64Jahre Diagnose: Bronchial-Ca rechts, Z.n. Pneumonektomie, neu aufgetretene, solitäre, im Verlauf progrediente Metastase im Oberlappen links. ZIRN.KHNW.FFM · SAINT 2011 · 3.-4. Oktober 2011 E x t r a h e p a t i s c h e M i k r o w e l l e n a b l a t i o n
  • 115.
    Ausgangsbildgebung: CT vom 27.10.2010 ZIRN.KHNW.FFM· SAINT 2011 · 3.-4. Oktober 2011 E x t r a h e p a t i s c h e M i k r o w e l l e n a b l a t i o n
  • 116.
    ZIRN.KHNW.FFM · SAINT2011 · 3.-4. Oktober 2011 E x t r a h e p a t i s c h e M i k r o w e l l e n a b l a t i o n
  • 117.
    ZIRN.KHNW.FFM · SAINT2011 · 3.-4. Oktober 2011 E x t r a h e p a t i s c h e M i k r o w e l l e n a b l a t i o n
  • 118.
    Situation: Nur eine Lungeund in dieser eine (kleine) Metastase. ZIRN.KHNW.FFM · SAINT 2011 · 3.-4. Oktober 2011 E x t r a h e p a t i s c h e M i k r o w e l l e n a b l a t i o n
  • 119.
    Ziel: Destruktion der Metastaseunter Schonung eines möglichst großen Lungenvolumens. ZIRN.KHNW.FFM · SAINT 2011 · 3.-4. Oktober 2011 E x t r a h e p a t i s c h e M i k r o w e l l e n a b l a t i o n
  • 120.
    Indikation zur MWA: GezieltePositionierung unter CT- Kontrolle, definiertes Wirkvolumen. ZIRN.KHNW.FFM · SAINT 2011 · 3.-4. Oktober 2011 E x t r a h e p a t i s c h e M i k r o w e l l e n a b l a t i o n
  • 121.
    Ablation am 27.11.2010 1Nadelposition. ZIRN.KHNW.FFM · SAINT 2011 · 3.-4. Oktober 2011 E x t r a h e p a t i s c h e M i k r o w e l l e n a b l a t i o n
  • 122.
    ZIRN.KHNW.FFM · SAINT2011 · 3.-4. Oktober 2011 E x t r a h e p a t i s c h e M i k r o w e l l e n a b l a t i o n
  • 123.
    ZIRN.KHNW.FFM · SAINT2011 · 3.-4. Oktober 2011 E x t r a h e p a t i s c h e M i k r o w e l l e n a b l a t i o n
  • 124.
    ZIRN.KHNW.FFM · SAINT2011 · 3.-4. Oktober 2011 E x t r a h e p a t i s c h e M i k r o w e l l e n a b l a t i o n
  • 125.
    Kontrolle nach MWA: Parenchymeinblutung,Pneumothorax. Noch im CT Anlage einer Pleuradrainage. Patient am Abend beschwerdefrei. ZIRN.KHNW.FFM · SAINT 2011 · 3.-4. Oktober 2011 E x t r a h e p a t i s c h e M i k r o w e l l e n a b l a t i o n
  • 126.
    ZIRN.KHNW.FFM · SAINT2011 · 3.-4. Oktober 2011 E x t r a h e p a t i s c h e M i k r o w e l l e n a b l a t i o n
  • 127.
    ZIRN.KHNW.FFM · SAINT2011 · 3.-4. Oktober 2011 E x t r a h e p a t i s c h e M i k r o w e l l e n a b l a t i o n
  • 128.
    ZIRN.KHNW.FFM · SAINT2011 · 3.-4. Oktober 2011 E x t r a h e p a t i s c h e M i k r o w e l l e n a b l a t i o n
  • 129.
    Verlaufskontrolle: CT 07.01.2011 Lungenmetastase gering progredient. ZIRN.KHNW.FFM· SAINT 2011 · 3.-4. Oktober 2011 E x t r a h e p a t i s c h e M i k r o w e l l e n a b l a t i o n
  • 130.
    ZIRN.KHNW.FFM · SAINT2011 · 3.-4. Oktober 2011 E x t r a h e p a t i s c h e M i k r o w e l l e n a b l a t i o n
  • 131.
    ZIRN.KHNW.FFM · SAINT2011 · 3.-4. Oktober 2011 E x t r a h e p a t i s c h e M i k r o w e l l e n a b l a t i o n
  • 132.
    Verlaufskontrolle: CT 04.08.2011 Lungenmetastase deutlichprogredient. Neu diagnostizierte Hirnmetastase. ZIRN.KHNW.FFM · SAINT 2011 · 3.-4. Oktober 2011 E x t r a h e p a t i s c h e M i k r o w e l l e n a b l a t i o n
  • 133.
    ZIRN.KHNW.FFM · SAINT2011 · 3.-4. Oktober 2011 E x t r a h e p a t i s c h e M i k r o w e l l e n a b l a t i o n
  • 134.
    ZIRN.KHNW.FFM · SAINT2011 · 3.-4. Oktober 2011 E x t r a h e p a t i s c h e M i k r o w e l l e n a b l a t i o n
  • 135.
    ZIRN.KHNW.FFM · SAINT2011 · 3.-4. Oktober 2011 E x t r a h e p a t i s c h e M i k r o w e l l e n a b l a t i o n
  • 136.
    Resultat: Metastase trotz Ablation progredient. ZIRN.KHNW.FFM· SAINT 2011 · 3.-4. Oktober 2011 E x t r a h e p a t i s c h e M i k r o w e l l e n a b l a t i o n
  • 137.
    Fazit: Beschränkung auf nureine Nadelposition kann – insbesondere in der Lunge – nicht den nötigen Sicherheitssaum gewährleisten, daher auch bei kleiner Lungenmetastase mehrere Nadelpositionen notwendig. ZIRN.KHNW.FFM · SAINT 2011 · 3.-4. Oktober 2011 E x t r a h e p a t i s c h e M i k r o w e l l e n a b l a t i o n
  • 138.
    Mikrowellenablation als Therapie bei Tumorrezidivin kritischer Position ZIRN.KHNW.FFM · SAINT 2011 · 3.-4. Oktober 2011 E x t r a h e p a t i s c h e M i k r o w e l l e n a b l a t i o n
  • 139.
    Fallbeispiel #5 ZIRN.KHNW.FFM ·SAINT 2011 · 3.-4. Oktober 2011 E x t r a h e p a t i s c h e M i k r o w e l l e n a b l a t i o n
  • 140.
    Patient: Männlich, 60Jahre Diagnose: Prostatakarzinom mit Lokalrezidiv. ZIRN.KHNW.FFM · SAINT 2011 · 3.-4. Oktober 2011 E x t r a h e p a t i s c h e M i k r o w e l l e n a b l a t i o n
  • 141.
    Ausgangsbildgebung: MRT vom 19.01.2010 ZIRN.KHNW.FFM· SAINT 2011 · 3.-4. Oktober 2011 E x t r a h e p a t i s c h e M i k r o w e l l e n a b l a t i o n
  • 142.
    ZIRN.KHNW.FFM · SAINT2011 · 3.-4. Oktober 2011 E x t r a h e p a t i s c h e M i k r o w e l l e n a b l a t i o n
  • 143.
    Bildgebung vor MWA: MRT03.02.2010 ZIRN.KHNW.FFM · SAINT 2011 · 3.-4. Oktober 2011 E x t r a h e p a t i s c h e M i k r o w e l l e n a b l a t i o n
  • 144.
    ZIRN.KHNW.FFM · SAINT2011 · 3.-4. Oktober 2011 E x t r a h e p a t i s c h e M i k r o w e l l e n a b l a t i o n
  • 145.
    Situation: Bei Z.n. Prostataresektion+ Radiatio + Seed nun Rezidiv in kritischer Position. ZIRN.KHNW.FFM · SAINT 2011 · 3.-4. Oktober 2011 E x t r a h e p a t i s c h e M i k r o w e l l e n a b l a t i o n
  • 146.
    Ziel: Tumordestruktion unter Schonung derNachbarstrukturen. ZIRN.KHNW.FFM · SAINT 2011 · 3.-4. Oktober 2011 E x t r a h e p a t i s c h e M i k r o w e l l e n a b l a t i o n
  • 147.
    Indikation zur MWA: Lokalbegrenzte Tumor- manifestation, Position mit MWA- Sonde erreichbar. ZIRN.KHNW.FFM · SAINT 2011 · 3.-4. Oktober 2011 E x t r a h e p a t i s c h e M i k r o w e l l e n a b l a t i o n
  • 148.
    Ablation am 25.03.2010: 1Nadelposition, 45 W, 7 Min. Während der Ablation werden Harnleiter, Harnblase und Rektum zwecks Hitzeableitung gespült zur Vermeidung thermischer Schäden. ZIRN.KHNW.FFM · SAINT 2011 · 3.-4. Oktober 2011 E x t r a h e p a t i s c h e M i k r o w e l l e n a b l a t i o n
  • 149.
    ZIRN.KHNW.FFM · SAINT2011 · 3.-4. Oktober 2011 E x t r a h e p a t i s c h e M i k r o w e l l e n a b l a t i o n
  • 150.
    ZIRN.KHNW.FFM · SAINT2011 · 3.-4. Oktober 2011 E x t r a h e p a t i s c h e M i k r o w e l l e n a b l a t i o n
  • 151.
    Kontrolle: MRT 06.04.2010 ZIRN.KHNW.FFM ·SAINT 2011 · 3.-4. Oktober 2011 E x t r a h e p a t i s c h e M i k r o w e l l e n a b l a t i o n
  • 152.
    ZIRN.KHNW.FFM · SAINT2011 · 3.-4. Oktober 2011 E x t r a h e p a t i s c h e M i k r o w e l l e n a b l a t i o n
  • 153.
    Kontrolle: MRT 18.05.2010 MRT 01.07.2010 Dasabladierte Tumorrezidiv zeigt keine Vitalität. Jedoch neu aufgetretene Tumormanifestation kranial im Bereich der angrenzenden Samenbläschen. ZIRN.KHNW.FFM · SAINT 2011 · 3.-4. Oktober 2011 E x t r a h e p a t i s c h e M i k r o w e l l e n a b l a t i o n
  • 154.
    ZIRN.KHNW.FFM · SAINT2011 · 3.-4. Oktober 2011 E x t r a h e p a t i s c h e M i k r o w e l l e n a b l a t i o n
  • 155.
    ZIRN.KHNW.FFM · SAINT2011 · 3.-4. Oktober 2011 E x t r a h e p a t i s c h e M i k r o w e l l e n a b l a t i o n
  • 156.
    Ablation des entsprechendenAreals am 06.07.2010: 2 Nadelpositionen. Erneut mit Kühlung von Harnleiter, Harnblase und Rektum. ZIRN.KHNW.FFM · SAINT 2011 · 3.-4. Oktober 2011 E x t r a h e p a t i s c h e M i k r o w e l l e n a b l a t i o n
  • 157.
    ZIRN.KHNW.FFM · SAINT2011 · 3.-4. Oktober 2011 E x t r a h e p a t i s c h e M i k r o w e l l e n a b l a t i o n
  • 158.
    ZIRN.KHNW.FFM · SAINT2011 · 3.-4. Oktober 2011 E x t r a h e p a t i s c h e M i k r o w e l l e n a b l a t i o n
  • 159.
    ZIRN.KHNW.FFM · SAINT2011 · 3.-4. Oktober 2011 E x t r a h e p a t i s c h e M i k r o w e l l e n a b l a t i o n
  • 160.
    ZIRN.KHNW.FFM · SAINT2011 · 3.-4. Oktober 2011 E x t r a h e p a t i s c h e M i k r o w e l l e n a b l a t i o n
  • 161.
    Verlaufskontrolle: MRT 17.08.2010 MRT 07.09.2010 KeinProgress. ZIRN.KHNW.FFM · SAINT 2011 · 3.-4. Oktober 2011 E x t r a h e p a t i s c h e M i k r o w e l l e n a b l a t i o n
  • 162.
    ZIRN.KHNW.FFM · SAINT2011 · 3.-4. Oktober 2011 E x t r a h e p a t i s c h e M i k r o w e l l e n a b l a t i o n
  • 163.
    ZIRN.KHNW.FFM · SAINT2011 · 3.-4. Oktober 2011 E x t r a h e p a t i s c h e M i k r o w e l l e n a b l a t i o n
  • 164.
    Verlaufskontrolle: MRT 12.10.2010 Restvitalität dorsalder Harnblase. ZIRN.KHNW.FFM · SAINT 2011 · 3.-4. Oktober 2011 E x t r a h e p a t i s c h e M i k r o w e l l e n a b l a t i o n
  • 165.
    ZIRN.KHNW.FFM · SAINT2011 · 3.-4. Oktober 2011 E x t r a h e p a t i s c h e M i k r o w e l l e n a b l a t i o n
  • 166.
    Erneute Ablation am04.11.2010: 2 Nadelpositionen. ZIRN.KHNW.FFM · SAINT 2011 · 3.-4. Oktober 2011 E x t r a h e p a t i s c h e M i k r o w e l l e n a b l a t i o n
  • 167.
    ZIRN.KHNW.FFM · SAINT2011 · 3.-4. Oktober 2011 E x t r a h e p a t i s c h e M i k r o w e l l e n a b l a t i o n
  • 168.
    ZIRN.KHNW.FFM · SAINT2011 · 3.-4. Oktober 2011 E x t r a h e p a t i s c h e M i k r o w e l l e n a b l a t i o n
  • 169.
    ZIRN.KHNW.FFM · SAINT2011 · 3.-4. Oktober 2011 E x t r a h e p a t i s c h e M i k r o w e l l e n a b l a t i o n
  • 170.
    ZIRN.KHNW.FFM · SAINT2011 · 3.-4. Oktober 2011 E x t r a h e p a t i s c h e M i k r o w e l l e n a b l a t i o n
  • 171.
    Verlaufskontrolle: CTs und MRTs CTvom 08.02.2011 Kein Vitalitätsnachweis. ZIRN.KHNW.FFM · SAINT 2011 · 3.-4. Oktober 2011 E x t r a h e p a t i s c h e M i k r o w e l l e n a b l a t i o n
  • 172.
    ZIRN.KHNW.FFM · SAINT2011 · 3.-4. Oktober 2011 E x t r a h e p a t i s c h e M i k r o w e l l e n a b l a t i o n
  • 173.
    ZIRN.KHNW.FFM · SAINT2011 · 3.-4. Oktober 2011 E x t r a h e p a t i s c h e M i k r o w e l l e n a b l a t i o n
  • 174.
    Resultat: Erfolgreiche Behandlung des Tumorrezidivs. ZIRN.KHNW.FFM· SAINT 2011 · 3.-4. Oktober 2011 E x t r a h e p a t i s c h e M i k r o w e l l e n a b l a t i o n
  • 175.
    Fazit: Die MWA istgeeignet, um Tumorgewebe an kritischer anatomischer Position zu behandeln. ZIRN.KHNW.FFM · SAINT 2011 · 3.-4. Oktober 2011 E x t r a h e p a t i s c h e M i k r o w e l l e n a b l a t i o n
  • 176.
    Mikrowellenablation als Therapie zur Schmerzreduzierung ZIRN.KHNW.FFM· SAINT 2011 · 3.-4. Oktober 2011 E x t r a h e p a t i s c h e M i k r o w e l l e n a b l a t i o n
  • 177.
    Fallbeispiel #6 ZIRN.KHNW.FFM ·SAINT 2011 · 3.-4. Oktober 2011 E x t r a h e p a t i s c h e M i k r o w e l l e n a b l a t i o n
  • 178.
    Patient: Weiblich, 66Jahre Diagnose: Ovarial-Ca, progrediente retroperitoneale Lymphome, u.a. am Truncus coeliacus und der Arteria mesenterica superior. Zunehmende Drucksymptomatik im Oberbauch. ZIRN.KHNW.FFM · SAINT 2011 · 3.-4. Oktober 2011 E x t r a h e p a t i s c h e M i k r o w e l l e n a b l a t i o n
  • 179.
    Bildgebung vor MWA: CT09.09.2010 ZIRN.KHNW.FFM · SAINT 2011 · 3.-4. Oktober 2011 E x t r a h e p a t i s c h e M i k r o w e l l e n a b l a t i o n
  • 180.
    ZIRN.KHNW.FFM · SAINT2011 · 3.-4. Oktober 2011 E x t r a h e p a t i s c h e M i k r o w e l l e n a b l a t i o n
  • 181.
    Situation: Tumorerkrankung mit ausgedehnter Metastasierung.Schmerzsymptomatik durch Metastasen am Truncus coeliacus. ZIRN.KHNW.FFM · SAINT 2011 · 3.-4. Oktober 2011 E x t r a h e p a t i s c h e M i k r o w e l l e n a b l a t i o n
  • 182.
    Ziel: Druckreduzierung durch Reduzierung derTumorlast, thermische Reduktion der Schmerzfasern am Truncus, dadurch Reduzierung der hierdurch bedingten Beschwerden. Kein kurativer Ansatz. ZIRN.KHNW.FFM · SAINT 2011 · 3.-4. Oktober 2011 E x t r a h e p a t i s c h e M i k r o w e l l e n a b l a t i o n
  • 183.
    Indikation zur MWA: Aufgrundder gefäßnahen Lage stellt die MWA mit ihrer der exakten Positionierbarkeit und dem exakt definierten Ablationsvolumen die Methode der Wahl dar. ZIRN.KHNW.FFM · SAINT 2011 · 3.-4. Oktober 2011 E x t r a h e p a t i s c h e M i k r o w e l l e n a b l a t i o n
  • 184.
    Ablation am 07.10.2010: Jeeine Nadelposition von links und von rechts. ZIRN.KHNW.FFM · SAINT 2011 · 3.-4. Oktober 2011 E x t r a h e p a t i s c h e M i k r o w e l l e n a b l a t i o n
  • 185.
    ZIRN.KHNW.FFM · SAINT2011 · 3.-4. Oktober 2011 E x t r a h e p a t i s c h e M i k r o w e l l e n a b l a t i o n
  • 186.
    ZIRN.KHNW.FFM · SAINT2011 · 3.-4. Oktober 2011 E x t r a h e p a t i s c h e M i k r o w e l l e n a b l a t i o n
  • 187.
    Kontrolle: CT 08.10.2010 CT 05.11.2010 KeinProgress im abladierten Areal. Erfolgreiche Schmerztherapie. ZIRN.KHNW.FFM · SAINT 2011 · 3.-4. Oktober 2011 E x t r a h e p a t i s c h e M i k r o w e l l e n a b l a t i o n
  • 188.
    ZIRN.KHNW.FFM · SAINT2011 · 3.-4. Oktober 2011 E x t r a h e p a t i s c h e M i k r o w e l l e n a b l a t i o n
  • 189.
    Kontrolle: CT 03.12.2010 CT 03.05.2011 KeinProgress im abladierten Areal. ZIRN.KHNW.FFM · SAINT 2011 · 3.-4. Oktober 2011 E x t r a h e p a t i s c h e M i k r o w e l l e n a b l a t i o n
  • 190.
    ZIRN.KHNW.FFM · SAINT2011 · 3.-4. Oktober 2011 E x t r a h e p a t i s c h e M i k r o w e l l e n a b l a t i o n
  • 191.
    Resultat: Kein weiteres Tumorwachstumim abladierten Areal. Schmerzsymptomatik deutlich gebessert. ZIRN.KHNW.FFM · SAINT 2011 · 3.-4. Oktober 2011 E x t r a h e p a t i s c h e M i k r o w e l l e n a b l a t i o n
  • 192.
    Fazit: Die MWA istaußerhalb eines kurativen Ansatzes geeignet, Tumorwachstum zu bremsen und Symptomatik zu vermindern. ZIRN.KHNW.FFM · SAINT 2011 · 3.-4. Oktober 2011 E x t r a h e p a t i s c h e M i k r o w e l l e n a b l a t i o n
  • 193.
    Mikrowellenablation als Therapie zum Organerhalt ZIRN.KHNW.FFM· SAINT 2011 · 3.-4. Oktober 2011 E x t r a h e p a t i s c h e M i k r o w e l l e n a b l a t i o n
  • 194.
    Fallbeispiel #7 ZIRN.KHNW.FFM ·SAINT 2011 · 3.-4. Oktober 2011 E x t r a h e p a t i s c h e M i k r o w e l l e n a b l a t i o n
  • 195.
    Patient: Weiblich, 82Jahre Diagnose: Z.n. Nieren-Ca rechts, ausgedehnte retroperitoneale Lymphknotenmetastasen links mit Verdrängung der linken Niere. ZIRN.KHNW.FFM · SAINT 2011 · 3.-4. Oktober 2011 E x t r a h e p a t i s c h e M i k r o w e l l e n a b l a t i o n
  • 196.
    Ausgangsbildgebung: CT vom 04.09.2009 CTvom 29.12.2009 ZIRN.KHNW.FFM · SAINT 2011 · 3.-4. Oktober 2011 E x t r a h e p a t i s c h e M i k r o w e l l e n a b l a t i o n
  • 197.
    ZIRN.KHNW.FFM · SAINT2011 · 3.-4. Oktober 2011 E x t r a h e p a t i s c h e M i k r o w e l l e n a b l a t i o n
  • 198.
    Situation: Z.n. Nephrektomie rechts,nun Verlagerung des linken Nierenstiels durch retroperitoneale Metastasen und hierdurch Gefährdung der verbliebenen Niere. ZIRN.KHNW.FFM · SAINT 2011 · 3.-4. Oktober 2011 E x t r a h e p a t i s c h e M i k r o w e l l e n a b l a t i o n
  • 199.
    Ziel: Organerhalt durch Stoppendes Tumorwachstums, idealerweise Verminderung der Tumormasse. Kein kurativer Ansatz. ZIRN.KHNW.FFM · SAINT 2011 · 3.-4. Oktober 2011 E x t r a h e p a t i s c h e M i k r o w e l l e n a b l a t i o n
  • 200.
    Indikation zur MWA: ExaktePositionierbarkeit und definiertes Wirkvolumen, daher Tumordestruktion unter Schonung der Nachbarstrukturen. ZIRN.KHNW.FFM · SAINT 2011 · 3.-4. Oktober 2011 E x t r a h e p a t i s c h e M i k r o w e l l e n a b l a t i o n
  • 201.
    Bildgebung vor MWA: CT17.02.2010 ZIRN.KHNW.FFM · SAINT 2011 · 3.-4. Oktober 2011 E x t r a h e p a t i s c h e M i k r o w e l l e n a b l a t i o n
  • 202.
    ZIRN.KHNW.FFM · SAINT2011 · 3.-4. Oktober 2011 E x t r a h e p a t i s c h e M i k r o w e l l e n a b l a t i o n
  • 203.
    ZIRN.KHNW.FFM · SAINT2011 · 3.-4. Oktober 2011 E x t r a h e p a t i s c h e M i k r o w e l l e n a b l a t i o n
  • 204.
    Ablation am 04.03.2010: 3Nadelpositionen. ZIRN.KHNW.FFM · SAINT 2011 · 3.-4. Oktober 2011 E x t r a h e p a t i s c h e M i k r o w e l l e n a b l a t i o n
  • 205.
    ZIRN.KHNW.FFM · SAINT2011 · 3.-4. Oktober 2011 E x t r a h e p a t i s c h e M i k r o w e l l e n a b l a t i o n
  • 206.
    ZIRN.KHNW.FFM · SAINT2011 · 3.-4. Oktober 2011 E x t r a h e p a t i s c h e M i k r o w e l l e n a b l a t i o n
  • 207.
    ZIRN.KHNW.FFM · SAINT2011 · 3.-4. Oktober 2011 E x t r a h e p a t i s c h e M i k r o w e l l e n a b l a t i o n
  • 208.
    Verlaufskontrolle: MRT 09.04.2010 ZIRN.KHNW.FFM ·SAINT 2011 · 3.-4. Oktober 2011 E x t r a h e p a t i s c h e M i k r o w e l l e n a b l a t i o n
  • 209.
    ZIRN.KHNW.FFM · SAINT2011 · 3.-4. Oktober 2011 E x t r a h e p a t i s c h e M i k r o w e l l e n a b l a t i o n
  • 210.
    ZIRN.KHNW.FFM · SAINT2011 · 3.-4. Oktober 2011 E x t r a h e p a t i s c h e M i k r o w e l l e n a b l a t i o n
  • 211.
    Verlaufskontrolle: CT 24.06.2010 Regredienz desabladierten Tumorgewebes. ZIRN.KHNW.FFM · SAINT 2011 · 3.-4. Oktober 2011 E x t r a h e p a t i s c h e M i k r o w e l l e n a b l a t i o n
  • 212.
    ZIRN.KHNW.FFM · SAINT2011 · 3.-4. Oktober 2011 E x t r a h e p a t i s c h e M i k r o w e l l e n a b l a t i o n
  • 213.
    Verlaufskontrolle: CT 15.09.2010 Weitere Regredienzdes abladierten Tumorgewebes. ZIRN.KHNW.FFM · SAINT 2011 · 3.-4. Oktober 2011 E x t r a h e p a t i s c h e M i k r o w e l l e n a b l a t i o n
  • 214.
    ZIRN.KHNW.FFM · SAINT2011 · 3.-4. Oktober 2011 E x t r a h e p a t i s c h e M i k r o w e l l e n a b l a t i o n
  • 215.
    Resultat: Abladierte Lymphknotenmetastasen deutlich regredient,Gefahr für die verbliebene Niere gebannt. ZIRN.KHNW.FFM · SAINT 2011 · 3.-4. Oktober 2011 E x t r a h e p a t i s c h e M i k r o w e l l e n a b l a t i o n
  • 216.
    Fazit: Die Mikrowellenablation kannaußerhalb eines kurativen Ansatzes zur Organerhaltung durch Reduzierung von Tumormasse eingesetzt werden. ZIRN.KHNW.FFM · SAINT 2011 · 3.-4. Oktober 2011 E x t r a h e p a t i s c h e M i k r o w e l l e n a b l a t i o n
  • 217.
    Take-Home-Points: Die Mikrowellenablation bietet: ●Gezielte Positionierung auch in schwer zugänglichen Regionen ● Definiertes Ablationsvolumen, kurze Ablationsdauer, hohe Effizienz, Wiederholbarkeit ZIRN.KHNW.FFM · SAINT 2011 · 3.-4. Oktober 2011 E x t r a h e p a t i s c h e M i k r o w e l l e n a b l a t i o n
  • 218.
    Take-Home-Points: Die Mikrowellenablation bietet: ●Verwendbarkeit zur Schmerztherapie ● Verwendbarkeit zum Organerhalt ZIRN.KHNW.FFM · SAINT 2011 · 3.-4. Oktober 2011 E x t r a h e p a t i s c h e M i k r o w e l l e n a b l a t i o n
  • 219.
    Take-Home-Points: Die Mikrowellenablation bietet: ●Reduzierung der Tumorlast mit vertretbarem Aufwand ● Gute Eignung bei kleinen Herden (mit Einschränkung bei pulmonaler Anwendung) ZIRN.KHNW.FFM · SAINT 2011 · 3.-4. Oktober 2011 E x t r a h e p a t i s c h e M i k r o w e l l e n a b l a t i o n
  • 220.
    Vielen Dank fürIhre Aufmerksamkeit! ZIRN.KHNW.FFM · SAINT 2011 · 3.-4. Oktober 2011 E x t r a h e p a t i s c h e M i k r o w e l l e n a b l a t i o n