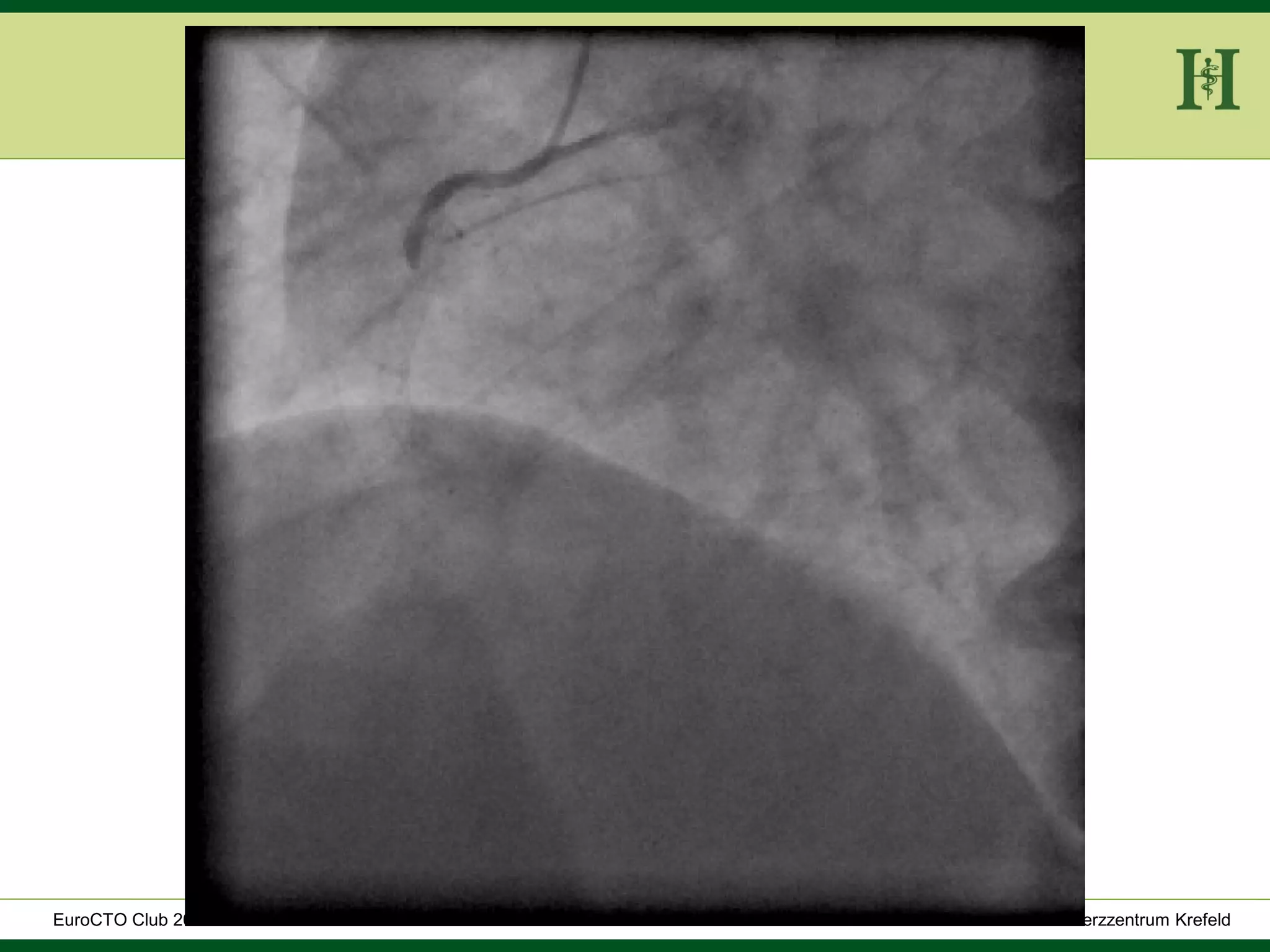
HELIOS Klinikum Wuppertal - HerzzentrumHELIOS Klinikum Wuppertal - Herzzentru
A. Bufe - HELIOS Herzzentrum KrefeldEuroCTO Club 2016
A. Bufe
HELIOS Clinic Krefeld, Heart Center
Med. Clinik I – Cardiology and Intensive Care
LIVE in the box CTO
HELIOS Klinikum Wuppertal - HerzzentrumHELIOS Klinikum Wuppertal - Herzzentru
A. Bufe - HELIOS Herzzentrum KrefeldEuroCTO Club 2016
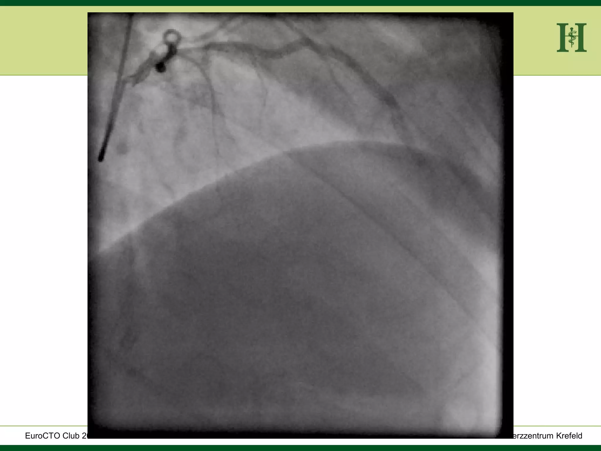
Male Patient, 55 years old
History:
 PCI 2015 with DES in LAD and in proximal RCA and
in PLD
 Angina pectoris CCS III for 7 months
 170cm, 75Kg
 RF: HLP, hypertension, smoking, HLP, familiy history
 Echo: Normal LV-Function, EF 65%
 Ischaemia inferior (MRI)
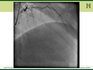
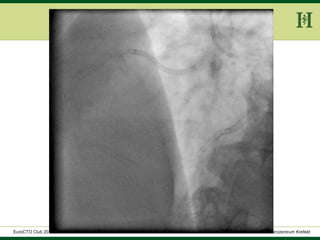
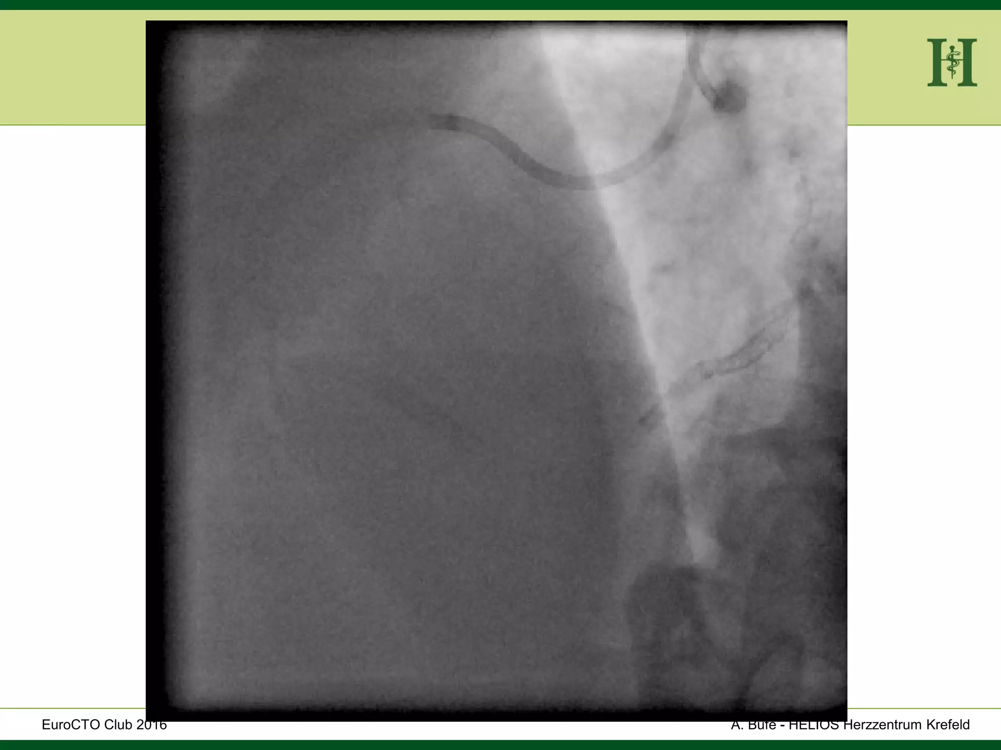
HELIOS Klinikum Wuppertal - HerzzentrumHELIOS Klinikum Wuppertal - Herzzentru
A. Bufe - HELIOS Herzzentrum KrefeldEuroCTO Club 2016
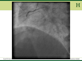
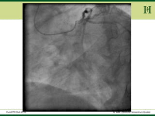
HELIOS Klinikum Wuppertal - HerzzentrumHELIOS Klinikum Wuppertal - Herzzentru
A. Bufe - HELIOS Herzzentrum KrefeldEuroCTO Club 2016
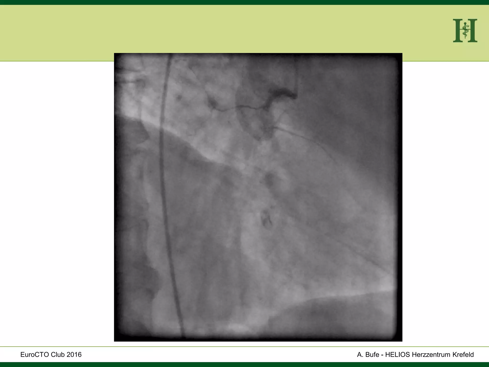
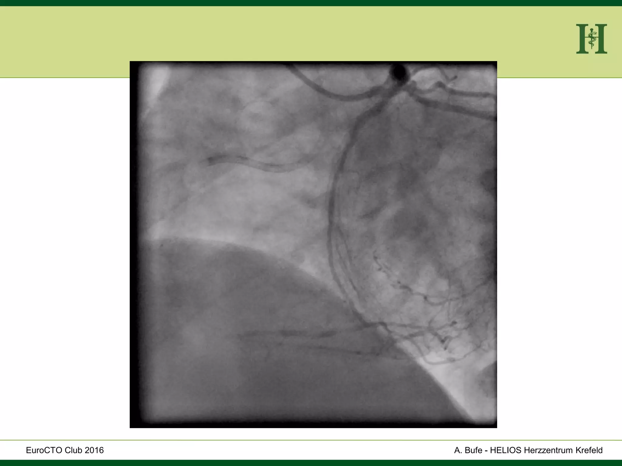
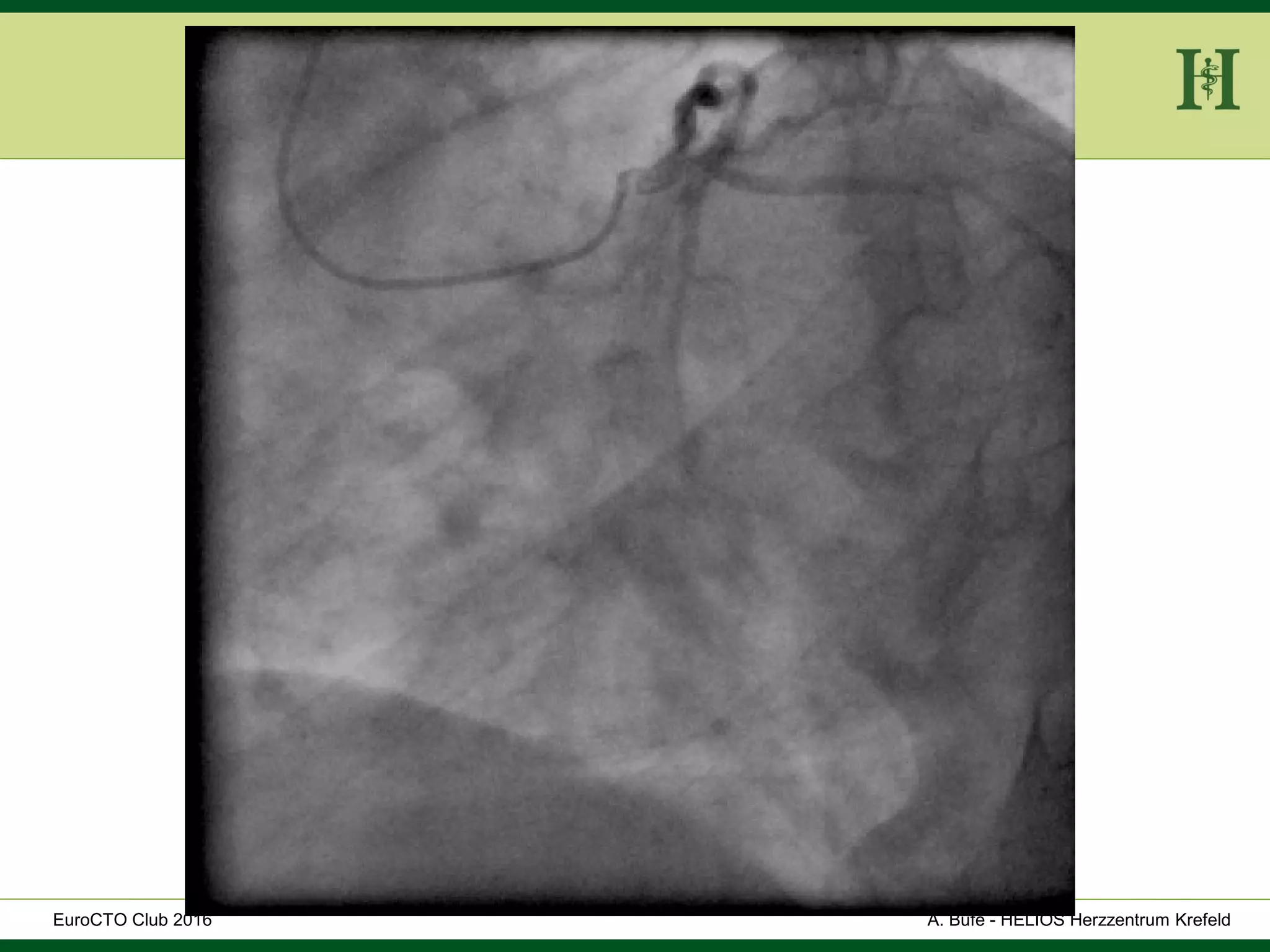
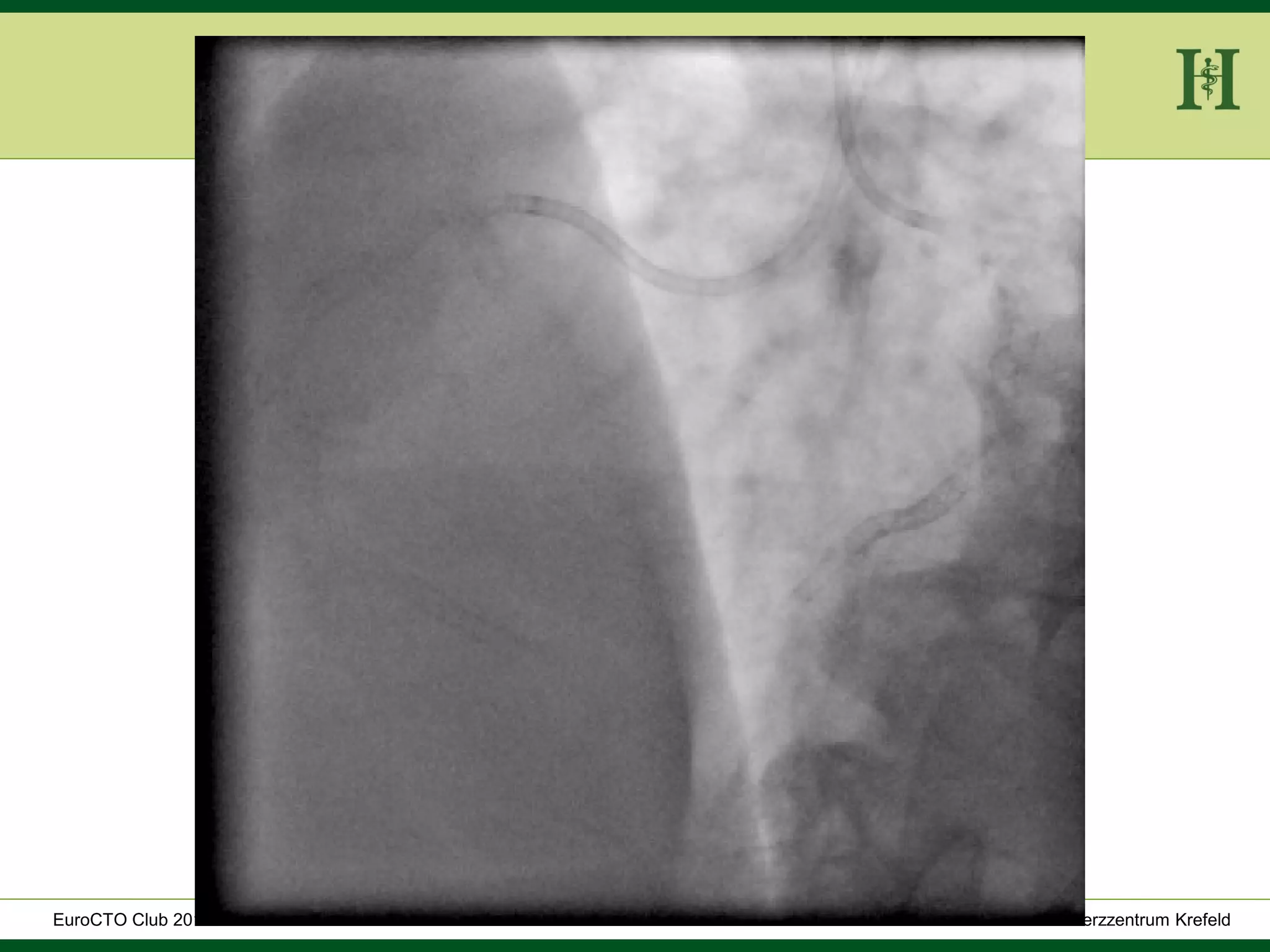
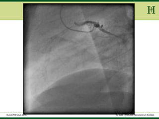
Proximal
Stent
Stent in
PLD
HELIOS Klinikum Wuppertal - HerzzentrumHELIOS Klinikum Wuppertal - Herzzentru
A. Bufe - HELIOS Herzzentrum KrefeldEuroCTO Club 2016
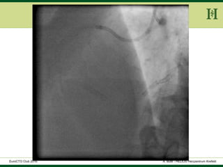
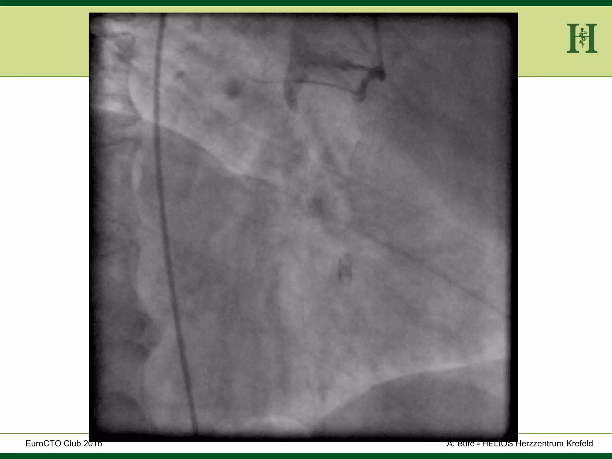
HELIOS Klinikum Wuppertal - HerzzentrumHELIOS Klinikum Wuppertal - Herzzentru
A. Bufe - HELIOS Herzzentrum KrefeldEuroCTO Club 2016
HELIOS Klinikum Wuppertal - HerzzentrumHELIOS Klinikum Wuppertal - Herzzentru
A. Bufe - HELIOS Herzzentrum KrefeldEuroCTO Club 2016
Morino J et al, JACC Cardiovasc Interv 2011;4:213-21
J-CTO score
= 3
HELIOS Klinikum Wuppertal - HerzzentrumHELIOS Klinikum Wuppertal - Herzzentru
A. Bufe - HELIOS Herzzentrum KrefeldEuroCTO Club 2016
HELIOS Klinikum Wuppertal - HerzzentrumHELIOS Klinikum Wuppertal - Herzzentru
A. Bufe - HELIOS Herzzentrum KrefeldEuroCTO Club 2016
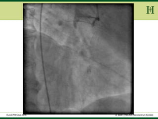
HELIOS Klinikum Wuppertal - HerzzentrumHELIOS Klinikum Wuppertal - Herzzentru
A. Bufe - HELIOS Herzzentrum KrefeldEuroCTO Club 2016
Hard
occlusion
HELIOS Klinikum Wuppertal - HerzzentrumHELIOS Klinikum Wuppertal - Herzzentru
A. Bufe - HELIOS Herzzentrum KrefeldEuroCTO Club 2016
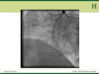
HELIOS Klinikum Wuppertal - HerzzentrumHELIOS Klinikum Wuppertal - Herzzentru
A. Bufe - HELIOS Herzzentrum KrefeldEuroCTO Club 2016
HELIOS Klinikum Wuppertal - HerzzentrumHELIOS Klinikum Wuppertal - Herzzentru
A. Bufe - HELIOS Herzzentrum KrefeldEuroCTO Club 2016
HELIOS Klinikum Wuppertal - HerzzentrumHELIOS Klinikum Wuppertal - Herzzentru
A. Bufe - HELIOS Herzzentrum KrefeldEuroCTO Club 2016
HELIOS Klinikum Wuppertal - HerzzentrumHELIOS Klinikum Wuppertal - Herzzentru
A. Bufe - HELIOS Herzzentrum KrefeldEuroCTO Club 2016
HELIOS Klinikum Wuppertal - HerzzentrumHELIOS Klinikum Wuppertal - Herzzentru
A. Bufe - HELIOS Herzzentrum KrefeldEuroCTO Club 2016
HELIOS Klinikum Wuppertal - HerzzentrumHELIOS Klinikum Wuppertal - Herzzentru
A. Bufe - HELIOS Herzzentrum KrefeldEuroCTO Club 2016
HELIOS Klinikum Wuppertal - HerzzentrumHELIOS Klinikum Wuppertal - Herzzentru
A. Bufe - HELIOS Herzzentrum KrefeldEuroCTO Club 2016
HELIOS Klinikum Wuppertal - HerzzentrumHELIOS Klinikum Wuppertal - Herzzentru
A. Bufe - HELIOS Herzzentrum KrefeldEuroCTO Club 2016

A. Bufe - LIVE in thebox CTO

  • 1.
    HELIOS Klinikum Wuppertal- HerzzentrumHELIOS Klinikum Wuppertal - Herzzentru A. Bufe - HELIOS Herzzentrum KrefeldEuroCTO Club 2016 A. Bufe HELIOS Clinic Krefeld, Heart Center Med. Clinik I – Cardiology and Intensive Care LIVE in the box CTO
  • 2.
    HELIOS Klinikum Wuppertal- HerzzentrumHELIOS Klinikum Wuppertal - Herzzentru A. Bufe - HELIOS Herzzentrum KrefeldEuroCTO Club 2016 Male Patient, 55 years old History:  PCI 2015 with DES in LAD and in proximal RCA and in PLD  Angina pectoris CCS III for 7 months  170cm, 75Kg  RF: HLP, hypertension, smoking, HLP, familiy history  Echo: Normal LV-Function, EF 65%  Ischaemia inferior (MRI)
  • 3.
    HELIOS Klinikum Wuppertal- HerzzentrumHELIOS Klinikum Wuppertal - Herzzentru A. Bufe - HELIOS Herzzentrum KrefeldEuroCTO Club 2016
  • 4.
    HELIOS Klinikum Wuppertal- HerzzentrumHELIOS Klinikum Wuppertal - Herzzentru A. Bufe - HELIOS Herzzentrum KrefeldEuroCTO Club 2016 Proximal Stent Stent in PLD
  • 5.
    HELIOS Klinikum Wuppertal- HerzzentrumHELIOS Klinikum Wuppertal - Herzzentru A. Bufe - HELIOS Herzzentrum KrefeldEuroCTO Club 2016
  • 6.
    HELIOS Klinikum Wuppertal- HerzzentrumHELIOS Klinikum Wuppertal - Herzzentru A. Bufe - HELIOS Herzzentrum KrefeldEuroCTO Club 2016
  • 7.
    HELIOS Klinikum Wuppertal- HerzzentrumHELIOS Klinikum Wuppertal - Herzzentru A. Bufe - HELIOS Herzzentrum KrefeldEuroCTO Club 2016 Morino J et al, JACC Cardiovasc Interv 2011;4:213-21 J-CTO score = 3
  • 8.
    HELIOS Klinikum Wuppertal- HerzzentrumHELIOS Klinikum Wuppertal - Herzzentru A. Bufe - HELIOS Herzzentrum KrefeldEuroCTO Club 2016
  • 9.
    HELIOS Klinikum Wuppertal- HerzzentrumHELIOS Klinikum Wuppertal - Herzzentru A. Bufe - HELIOS Herzzentrum KrefeldEuroCTO Club 2016
  • 10.
    HELIOS Klinikum Wuppertal- HerzzentrumHELIOS Klinikum Wuppertal - Herzzentru A. Bufe - HELIOS Herzzentrum KrefeldEuroCTO Club 2016 Hard occlusion
  • 11.
    HELIOS Klinikum Wuppertal- HerzzentrumHELIOS Klinikum Wuppertal - Herzzentru A. Bufe - HELIOS Herzzentrum KrefeldEuroCTO Club 2016
  • 12.
    HELIOS Klinikum Wuppertal- HerzzentrumHELIOS Klinikum Wuppertal - Herzzentru A. Bufe - HELIOS Herzzentrum KrefeldEuroCTO Club 2016
  • 13.
    HELIOS Klinikum Wuppertal- HerzzentrumHELIOS Klinikum Wuppertal - Herzzentru A. Bufe - HELIOS Herzzentrum KrefeldEuroCTO Club 2016
  • 14.
    HELIOS Klinikum Wuppertal- HerzzentrumHELIOS Klinikum Wuppertal - Herzzentru A. Bufe - HELIOS Herzzentrum KrefeldEuroCTO Club 2016
  • 15.
    HELIOS Klinikum Wuppertal- HerzzentrumHELIOS Klinikum Wuppertal - Herzzentru A. Bufe - HELIOS Herzzentrum KrefeldEuroCTO Club 2016
  • 16.
    HELIOS Klinikum Wuppertal- HerzzentrumHELIOS Klinikum Wuppertal - Herzzentru A. Bufe - HELIOS Herzzentrum KrefeldEuroCTO Club 2016
  • 17.
    HELIOS Klinikum Wuppertal- HerzzentrumHELIOS Klinikum Wuppertal - Herzzentru A. Bufe - HELIOS Herzzentrum KrefeldEuroCTO Club 2016
  • 18.
    HELIOS Klinikum Wuppertal- HerzzentrumHELIOS Klinikum Wuppertal - Herzzentru A. Bufe - HELIOS Herzzentrum KrefeldEuroCTO Club 2016
  • 19.
    HELIOS Klinikum Wuppertal- HerzzentrumHELIOS Klinikum Wuppertal - Herzzentru A. Bufe - HELIOS Herzzentrum KrefeldEuroCTO Club 2016